Cuối cùng, chàng trai 21 tuổi đến từ Lục Phong (Quảng Đông, Trung Quốc) quyết định cắt bỏ những ngón dư thừa để có đôi chân bình thường. Ca phẫu thuật kéo dài 9 giờ đã thành công, theo Fox News.
![]() |
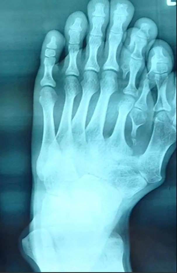
| Bàn chân 9 ngón của Ajun trước khi phẫu thuật. Ảnh: Fox News. |
Trước khi phẫu thuật, Ajun phải trải qua nhiều năm sống trong tự ti vì bàn chân khác thường. Thậm chí, nam thanh niên không dám làm quen bạn gái vì sợ bị chê cười.
Năm 10 tuổi, Ajun ý thức được ngón chân kỳ lạ của mình nên đã bỏ thói quen đi dép. Từ đó đến nay, cậu trung thành với đôi giày nhằm che giấu bàn chân 9 ngón. Tổng cộng, hai bàn chân của Ajun có 14 ngón.
"Đây là trường hợp phẫu thuật dị tật đặc biệt, chưa từng có tiền lệ, bởi đa số bệnh nhân cắt bỏ những ngón chân thừa từ khi còn nhỏ", bác sĩ Wu Xiang - Bệnh viện phẫu thuật Shunde Heping - nói với AsiaWire.
![]() |
| Các bác sĩ cắt bỏ những ngón thừa và ghép thêm ngón chân cái cho Ajun. Ảnh: Fox News. |
Sau cuộc phẫu thuật, Ajun không giấu nổi niềm vui khi cởi bỏ được nỗi mặc cảm đeo bám hơn hai thập kỷ. Chàng trai 21 tuổi đã tìm được bạn gái và đang hạnh phúc với mối quan hệ này.
Trước đây, cậu không phẫu thuật vì cha mẹ tin rằng 9 là con số may mắn. 9 ngón chân của Ajun là “do trời ban”. Khi con sinh ra với đôi chân khác thường, cha mẹ đã đến gặp thầy bói thay vì bác sĩ để xin lời khuyên.
![]() |
| Các bác sĩ đánh giá đây là ca phẫu thuật hiếm gặp. Ảnh: Australscope. |
Theo ông Wu, các bác sĩ đã loại bỏ những ngón chân ở ngoài cùng. Đó là giải pháp tốt nhất trong trường hợp này. Tiếp theo, nhóm bác sĩ ghép một ngón chân mới thay cho những ngón chân được cắt bỏ.
Bác sĩ Wu cũng đưa ra lời khuyên với những trường hợp như Ajun, cha mẹ nên can thiệp y tế cho con từ khi 1 tuổi, chậm nhất là 6 tuổi.
Không nên để đến khi trưởng thành mới phẫu thuật, bởi nó ảnh hưởng tâm lý, cũng như quá trình phục hồi của trẻ.
Đồng thời, cha mẹ nên siêu âm thai và kiểm tra khi con được 3 tháng tuổi để phát hiện dị tật.
Hiện, Ajun phục hồi tích cực và sẽ xuất viện trong vài tuần tới.


