Theo đó, người bệnh D.V.H. (45 tuổi) trú tại huyện Sông Lô, Vĩnh Phúc nhập viện tại Bệnh viện Đa khoa tỉnh Phú Thọ trong tình trạng hôn mê.
Gia đình cho biết, người bệnh đang trèo thang (3 mét) lắp bóng đèn thì bị ngã đập đầu xuống nền cứng. Sau khi đứng dậy thấy người bình thường nên nghĩ không bị sao nên không đi khám. Đến tối cùng ngày người thân nhận thấy ý thức bệnh nhân chậm chạp, khó tiếp xúc nên đã đưa người bệnh đến Bệnh viện Đa khoa tỉnh Phú Thọ.
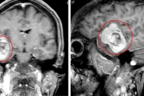
![]() |
| Hình ảnh phim chụp trước và sau khi phẫu thuật lấy máu tụ. Ảnh BVCC |
Lúc vào bệnh viện trong tình trạng bệnh nhân hôn mê, Glassgow 10 điểm. Sau khi thăm khám, chụp cắt lớp vi tính sọ não, người bệnh được chẩn đoán chấn thương sọ não: chảy máu ngoài màng cứng thái dương trái. Người bệnh được phẫu thuật lấy máu tụ nội sọ, sau phẫu thuật được duy trì hồi sức sau mổ.
Trong những ngày sau mổ, người bệnh vẫn hôn mê sâu, thở máy, sốt cao liên tục, không đáp ứng các thuốc hạ sốt thông thường.
TS.BS Nguyễn Thị Thanh Mai, Trưởng khoa Hồi sức cấp cứu yêu cầu, đã chỉ định thực hiện sớm hạ thân nhiệt chỉ huy để bảo vệ não, kết hợp các kỹ thuật hiện đại, chuyên sâu trong lĩnh vực hồi sức để điều trị cho người bệnh.
![]() |
| Người bệnh sốt cao 39,3 độ và bắt đầu hạ thân nhiệt chỉ huy. |
Sau 3 ngày điều trị tích cực, người bệnh rút được ống nội khí quản, cắt sốt hoàn toàn, hiện tại người bệnh tỉnh táo, giao tiếp tốt, hoạt động nhẹ nhàng và được ra viện.
Theo TS.BS Nguyễn Thị Thanh Mai – Trưởng khoa Hồi sức cấp cứu yêu cầu cho biết: Trước đây khi chưa áp dụng kỹ thuật hạ thân nhiệt chỉ huy cho người bệnh tổn thương não, hôn mê sâu, quá trình hồi sức tiên lượng thường xấu, để lại di chứng nặng nề. Trường hợp được cứu sống, người bệnh cũng thường rơi vào tình trạng hôn mê kéo dài, sống đời sống thực vật, để lại gánh nặng về chăm sóc y tế cho gia đình và xã hội.
Hạ thân nhiệt chỉ huy là một kỹ thuật tiên tiến được nghiên cứu và đưa vào phác đồ cấp cứu ở nhiều nước trên thế giới giúp hạn chế các tổn thương tế bào não và cải thiện kết cục thần kinh đã được chứng minh bằng nhiều thử nghiệm, nghiên cứu lớn qua nhiều năm.
Tại khoa Hồi sức cấp cứu yêu cầu, Bệnh viện Đa khoa tỉnh Phú Thọ, kỹ thuật hạ thân nhiệt chỉ huy đã được áp dụng thành công, không chỉ giúp cứu sống nhiều người bệnh ngừng tuần hoàn ngoại viện, cũng như áp dụng nhiều trong các bệnh lý khác như kiểm soát thân nhiệt trong hồi sức thần kinh sọ não.
Qua trường hợp người bệnh trên, TS.BS Nguyễn Thị Thanh Mai khuyến cáo người dân không nên chủ quan với những tai nạn gây chấn thương ở vùng đầu.
Những trường hợp té ngã gây máu tụ dưới màng cứng thường có các triệu chứng tăng dần như: Đau đầu, nôn ói, yếu nửa người, yếu hai chi dưới, rối loạn vận động, rối loạn thị giác, thính giác, nói khó, ý thức chậm dần, lơ mơ, không tỉnh táo, phản xạ kém…
Trường hợp nặng, người bệnh có thể rơi vào hôn mê, nguy cơ tử vong cao. Vì vậy, nếu không may bị chấn thương do té ngã hoặc tai nạn, người dân cần đến bệnh viện càng sớm càng tốt để được kiểm tra, chẩn đoán, can thiệp kịp thời, tránh nguy hiểm đến tính mạng, hạn chế di chứng sau điều trị.

