Cụ ông bị tắc ruột do chủ quan sỏi túi mật nhiều năm

Sỏi mật không chỉ gây biến chứng như viêm túi mật, tắc mật do sỏi, viêm tụy cấp... , mà còn có thể gây tắc ruột nên cần phòng ngừa và chữa trị sớm.

Vừa qua, Khoa Cấp cứu tiêu hóa, Bệnh viện Trung ương Quân đội 108 đã tiếp nhận bệnh nhân nam 97 tuổi, tiền sử sỏi túi mật nhiều năm, nhập viện trong tình trạng buồn nôn, nôn liên tục ra dịch tiêu hóa lẫn thức ăn cũ trong vòng 1 tuần.
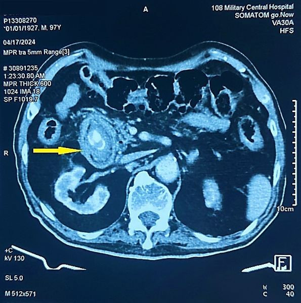
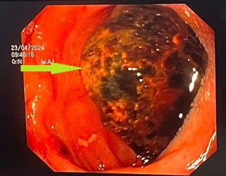
Thông qua hình ảnh chụp cắt lớp vi tính ổ bụng và nội soi tiêu hóa, các bác sĩ chẩn đoán bệnh nhân bị tắc tá tràng do sỏi mật (Hội chứng BOUVERET) kích thước rất lớn 3x5cm rò từ túi mật vào trong lòng tá tràng.
Bệnh nhân đã được nội soi tán nhỏ sỏi bằng laser, sau đó phẫu thuật mở ống tiêu hóa lấy viên sỏi ra ngoài, phục hồi lưu thông ống tiêu hóa. Sau 3 tuần điều trị, tình trạng bệnh nhân ổn định, ăn uống tốt và được xuất viện.
Cu ong bi tac ruot do chu quan soi tui mat nhieu nam
Tắc ruột do sỏi - Ảnh minh họa
Tắc ruột do sỏi mật rất hiếm gặp, chiếm dưới 0.5% ở nhóm nguyên nhân cơ học gây tắc ruột. Tỉ lệ tăng lên cao hơn ở nhóm bệnh nhân cao tuổi. Cơ chế của bệnh lý này là do tình trạng viêm túi mật mạn tính, tạo thành đường rò giữa túi mật và ống tiêu hóa (thường ở tá tràng hoặc ruột non), khi đó sỏi mật kích thước lớn rơi qua đường rò vào ống tiêu hóa gây tắc ruột.
Đây là một bệnh lý rất nguy hiểm, tỉ lệ tử vong ở người cao tuổi có thể từ 12-30%. Phương pháp điều trị cho các bệnh nhân tắc ruột do sỏi mật là phẫu thuật mở ống tiêu hóa lấy bỏ sỏi, cắt túi mật và phục hồi ống tiêu hóa.
Cu ong bi tac ruot do chu quan soi tui mat nhieu nam-Hinh-2
Hình ảnh sỏi trên phim chụp - Ảnh BVCC
Bác sĩ CKI Nguyễn Văn Hóa – Khoa Cấp cứu tiêu hóa, Bệnh viện Trung ương Quân đội 108 khuyến cáo: Sỏi mật là một bệnh lý diễn biến thầm lặng với các triệu chứng không điển hình, và thường được người bệnh phát hiện qua siêu âm ổ bụng.
Các bệnh nhân có tiền sử sỏi mật cần được thăm khám định kỳ để theo dõi tiến triển của sỏi, đánh giá các biến chứng như viêm túi mật, tắc mật do sỏi, viêm tụy cấp để kịp thời phát hiện và đưa ra các phương pháp điều trị phù hợp: phẫu thuật nội soi cắt túi mật, nội soi mật tụy ngược dòng hoặc phẫu thuật lấy sỏi đường mật.
Cu ong bi tac ruot do chu quan soi tui mat nhieu nam-Hinh-3
Để phòng ngừa sỏi mật, các bệnh nhân cần quan tâm đến chế độ ăn và lối sống như:
- Duy trì chế độ ăn cân bằng, đều đặn và đúng giờ, hạn chế chất béo bão hòa và cholesterol, tăng cường chất xơ, không nhịn đói kéo dài;
- Duy trì cân nặng lý tưởng và thường xuyên luyện tập thể dục thể thao phù hợp theo lứa tuổi, không giảm cân quá nhanh ở người thừa cân hoặc béo phì (tốt nhất là giảm từ từ < 1,5kg mỗi tháng).
BS Vũ Thị Thanh Thủy (Khoa Nam học, Bệnh viện Trung ương Quân đội 108)

5 thói quen tưởng vô hại nhưng dễ gây sỏi mật

Sỏi mật hình thành âm thầm, không có triệu chứng hoặc triệu chứng không rõ ràng nếu sỏi không làm tắc túi mật gây nhiều biến chứng, thậm chí sốc tử vong do nhiễm khuẩn.

Túi mật có nhiệm vụ cô đặc và lưu trữ dịch mật do gan tiết ra. Khi ăn thức ăn nhiều dầu mỡ, túi mật sẽ co bóp đẩy dịch mật vào đường mật để tiêu hóa chất béo.

Nguyên nhân bé 9 tuổi đã bị sỏi mật khiến bố mẹ hết hồn

(Kiến Thức) - Theo các chuyên gia BV Việt Đức, bệnh sỏi mật hay gặp ở tuổi trung niên nhưng đang có xu hướng trẻ hóa, thậm chí có bé 9 tuổi đã mắc. Nguyên nhân mắc bệnh ở trẻ thường do thói quen vệ sinh không đảm bảo.

Bệnh viện Việt Đức đang điều trị cho bệnh nhi 13 tuổi, đã mắc sỏi mật từ 4 năm nay. Những bệnh nhi mắc sỏi mật chủ yếu do liên quan đến bệnh rối loạn chuyển hóa hoặc trẻ ở nông thôn, do vệ sinh không bảo đảm nên nhiễm giun chui lên đường mật gây nhiễm trùng, tạo thành sỏi trong mật.
Bé gái đến khám tại Bệnh viện Việt Đức ngày 28/9, da xanh xao. Mẹ bé cho biết bé vẫn uống thuốc điều trị sỏi mật thường xuyên và theo dõi định kỳ. Hiện bệnh nhi đã dùng thuốc trị sỏi mật suốt 4 năm nay từ khi 9 tuổi.

Bé bị dây rốn thắt nút chào đời bình an bằng sinh thường

Khi đã phát hiện dây rốn thắt nút, không có cách nào có thể tháo nút thắt này ra, công tác điều trị lúc này chỉ tập trung cho sự an toàn của thai nhi.

Bé mắc dây rốn thắt nút chào đời bình an

Đọc nhiều nhất

Tin mới