Ngày 31/7, bác sĩ Võ Bá Thạch, Trưởng khoa Liên chuyên khoa Bệnh viện đa khoa Xuyên Á Long An, cho biết qua thăm khám, nội soi mũi cho nữ bệnh nhân đã phát hiện khối u hố Rossemuler bên trái lan lên ngách sàng bướm trái, nghĩ nhiều đến ung thư vòm họng nên được chụp MRI để đối chiếu.
Kết quả ghi nhận khối u bất thường. Tiến hành sinh thiết, bác sĩ chẩn đoán bệnh nhân bị ung thư vòm họng.
Sau 5 ngày điều trị tích cực, tình trạng lâm sàng của bệnh nhân ổn định, các triệu chứng đau đầu, chóng mặt đã chấm dứt, bệnh nhân có thể sinh hoạt trở lại bình thường như trước.
Tuy nhiên bệnh nhân cần tiếp tục điều trị theo phác đồ của bệnh ung thư vòm họng.
Theo bác sĩ Thạch, ung thư vòm họng là một loại ung thư phổ biến hàng đầu trong nhóm ung thư đầu mặt cổ và thứ 5 trong các loại ung thư nói chung. Dù tính chất nguy hiểm nhưng triệu chứng mơ hồ nên bệnh nhân thường đi khám và phát hiện bệnh ở giai đoạn muộn. Đa phần ở giai đoạn đầu, người bệnh chỉ cảm thấy ù tai, đau đầu, nghẹt mũi, chảy máu mũi...

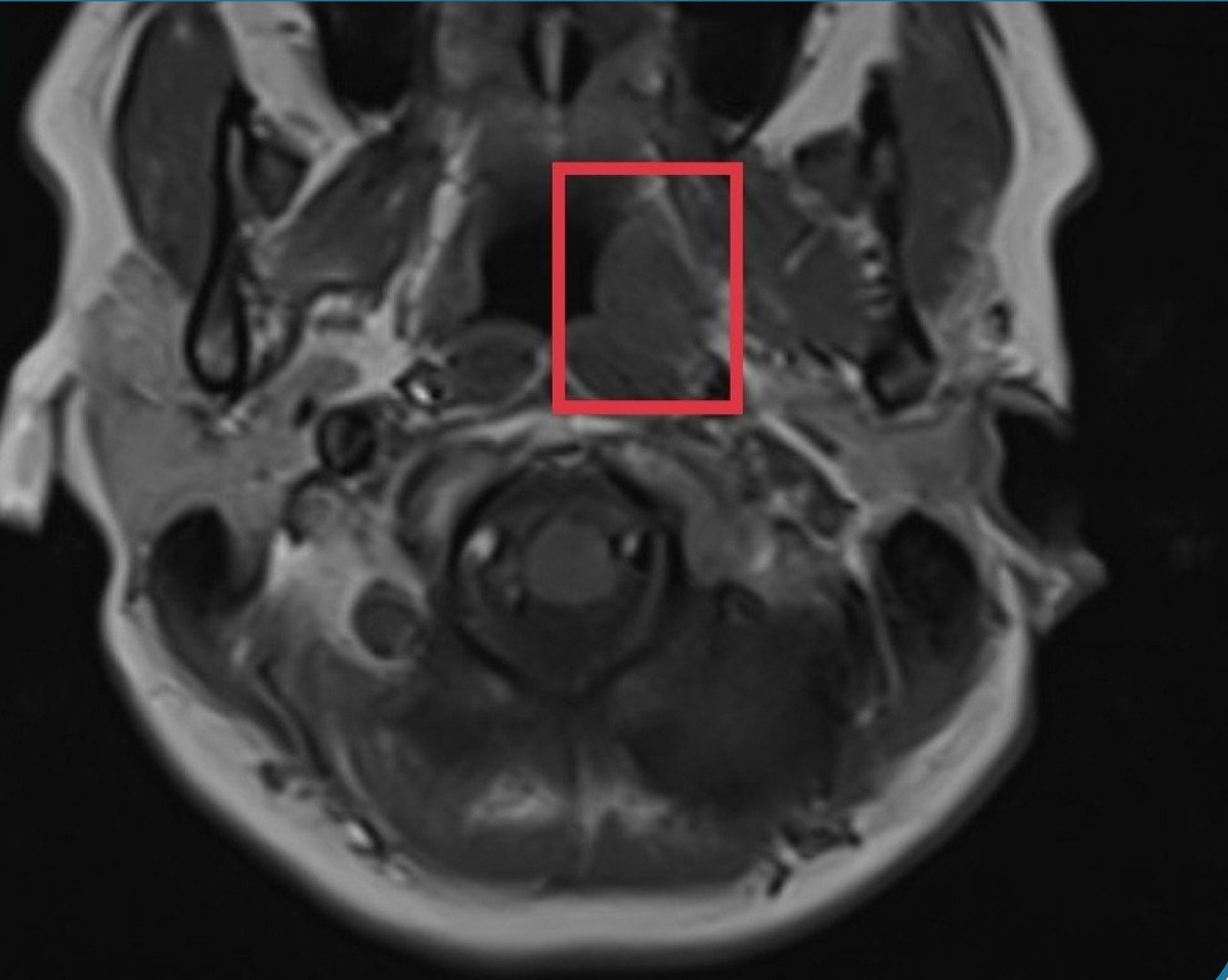
Vị trí khối u trên hình ảnh chụp MRI sọ não. Ảnh: BVCC
Nguyên nhân gây bệnh chưa được biết chính xác nhưng nhiều yếu tố nguy cơ đã được ghi nhận như nhiễm vi-rút EBV, HPV, sử dụng thuốc lá, rượu, đồ ăn lên men… Điều đáng mừng là ung thư vòm họng đáp ứng rất tốt với xạ trị nếu phát hiện ở giai đoạn sớm.
Bác sĩ Thạch khuyến cáo người dân nên đi khám tầm soát ung thư mỗi 6 tháng/lần để được phát hiện sớm ung thư. Nếu có biểu hiện đau đầu âm ỉ kéo dài, nghẹt mũi, ù tai, chảy máu cam, nổi hạch cổ bất thường..., cần đi khám để điều trị kịp thời.