Chó tấn công, thận vỡ làm 2 mảnh
Bé trai H.M.K (3 tuổi, trú tại Vĩnh Phúc) được gia đình đưa đến Bệnh viện Sản Nhi tỉnh Phú Thọ cấp cứu ngày 29/3/2024 sau khi bị 2 con chó béc-giê to (khoảng 25kg/con) của nhà hàng xóm tấn công.
Thời điểm vào viện sau khi bị chó cắn, bé K. hoảng loạn, quấy khóc, vùng đầu, mặt, bẹn, lưng, chân có nhiều vết thương kèm theo tình trạng tiểu máu toàn bãi.
Trẻ ngay lập tức được sơ cứu, vệ sinh vết thương, dùng giảm đau và tiêm phòng uốn ván, tiêm phòng dại. Sau khi cho trẻ thực hiện siêu âm, chụp X-quang để đánh giá mức độ tổn thương các cơ quan, các bác sĩ phát hiện trẻ có tình trạng chấn thương vỡ thận phải.
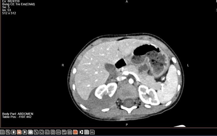
Trẻ được chỉ định thực hiện chụp cắt lớp vi tính ổ bụng có tiêm thuốc cản quang để đánh giá mức độ tổn thương thận. Kết quả cho thấy thận phải vỡ làm 2 mảnh, có thoát thuốc ra khoang quanh thận. Bác sĩ kết luận trẻ bị chấn thương thận phải độ IV theo ASST (bảng phân loại chấn thương thận của Hiệp hội Phẫu thuật Chấn thương Mỹ).
Hình ảnh vỡ thận trên phim chụp - Ảnh BVCC
Bệnh nhi được điều trị theo phác đồ tích cực: truyền dịch, đặt sonde tiểu theo dõi màu sắc số lượng nước tiểu, sử dụng 3 loại kháng sinh phối hợp, dùng giảm đau, thay băng, vệ sinh vết thương hàng ngày, đồng thời theo dõi huyết động, theo dõi bão hoà oxy trong máu 1h/lần trong ngày đầu.
Ngày thứ 2 vào viện, trẻ được truyền 150ml khối hồng cầu cùng nhóm, tiếp tục xét nghiệm kiểm tra tình trạng chảy máu theo thời gian. Sau 4 ngày điều trị, hiện tại trẻ tỉnh, không sốt, ăn được, các vết thương phần mềm còn ít dịch thấm băng chảy, bụng không chướng, ấn đau vùng mạn sườn phải, nước tiểu qua sonde trong.
ThS.BS Nguyễn Đức Lân, Trưởng khoa Ngoại nhi tổng hợp đánh giá đây là một trường hợp phức tạp, mặc dù các vết thương phần mềm ngoài da không quá nặng nhưng có chấn thương bụng kín nghiêm trọng (vỡ thận độ IV) cần được theo dõi sát sao và xử trí cấp cứu ngoại khoa nếu điều trị bảo tồn không hiệu quả.
Bé 4 tuổi bị chó cắn đầu và tay
Trước đó 1 tuần, ngày 23/3/2024, Khoa Ngoại nhi tổng hợp tiếp nhận bệnh nhi N.Q.C (4 tuổi, cũng trú tại Vĩnh Phúc) bị chó nhà ông nội tấn công, cắn vào vùng đầu và tay phải khi tới nhà ông nội chơi. Khi vào viện, trẻ xây sát nhiều vị trí trên người, trong đó có 02 vết thương rách da vùng đầu kích thước 3x2cm, 02 vết thương vùng khuỷu và cánh tay phải kích thước 3x8cm, chảy máu nhiều.
Bé 4 tuổi bị chó cắn mặt và tay.
Trẻ được chăm sóc vết thương, thay băng, vệ sinh, chiếu tia plasma vết thương hàng ngày, đồng thời dùng kháng sinh, giảm đau. Trẻ được khâu vết thương sau 5 ngày điều trị.
Hiện tại sau 1 tuần điều trị, tình trạng trẻ ổn định, vết thương khô, trẻ ăn uống tốt và chuẩn bị được xuất viện.
Từ hai trường hợp này, các bác sĩ khuyến cáo các bậc phụ huynh, người chăm sóc trẻ cần sát sao, không nên cho trẻ đùa nghịch, chơi với chó, mèo, đặc biệt là chó lạ, hoặc chó, mèo có kích thước lớn. Khi trẻ bị chó, mèo hoặc động vật hoang dại cắn hoặc gây tổn thương cần nhanh chóng đưa trẻ tới các cơ sở y tế để được thăm khám và tư vấn, hướng dẫn điều trị.
Người nuôi chó mèo cũng cần tiêm phòng cho vật nuôi đầy đủ và tiêm nhắc lại hàng năm theo khuyến cáo của ngành thú y; không được thả rông chó, vật nuôi ra đường. Nếu chó, vật nuôi được dắt ra đường phải được đeo rọ mõm, tránh để tấn công người khác.
