Bé 21 tháng tuổi mắc bệnh lạ có não trong mũi

Bé 21 tháng tuổi mắc bệnh lạ có não trong mũi

(Kiến Thức) - Cậu bé Ollie Trezise, 21 tháng tuổi sinh ra đã mắc dị tật hiếm khiến mũi của bé to lên trông giống hệt như nhận vật hoạt hình Pinochio của Disney.

Được biết, khi mẹ cậu bé mang thai 20 tuần tuổi, siêu âm đã phát hiện điểm bất thường. Dù đã chuẩn bị tinh thần nhưng người mẹ 22 tuổi Amy Poole vẫn rất sốc khi lần đầu nhìn thấy con tại Bệnh viện Đại học Cardiff vào tháng 2/2014.
Được biết, khi mẹ cậu bé mang thai 20 tuần tuổi, siêu âm đã phát hiện điểm bất thường. Dù đã chuẩn bị tinh thần nhưng người mẹ 22 tuổi Amy Poole vẫn rất sốc khi lần đầu nhìn thấy con tại Bệnh viện Đại học Cardiff vào tháng 2/2014.
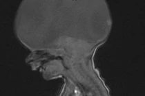
Kết quả MRI sau đó xác nhận bé bị mắc dị tật hiếm, khối u là một thoát vị não. Đây là khiếm khuyết khiến não phát triển thông qua một vết nứt trên hộp sọ, tạo ra một túi lồi. Trong trường hợp của Ollie, túi lồi phát triển trên mũi.
Kết quả MRI sau đó xác nhận bé bị mắc dị tật hiếm, khối u là một thoát vị não. Đây là khiếm khuyết khiến não phát triển thông qua một vết nứt trên hộp sọ, tạo ra một túi lồi. Trong trường hợp của Ollie, túi lồi phát triển trên mũi.
Tuy nhiên, những lời bình luận khiếm nhã của một số người, như cậu bé thật "xấu xí" và "lẽ ra không nên được sinh ra" mới là điều khiến Amy Poole, mẹ của Trezise, buồn hơn cả.
Tuy nhiên, những lời bình luận khiếm nhã của một số người, như cậu bé thật "xấu xí" và "lẽ ra không nên được sinh ra" mới là điều khiến Amy Poole, mẹ của Trezise, buồn hơn cả.
Mẹ cậu bé chia sẻ: "Đối với tôi, Ollie là đứa trẻ hoàn hảo. Đó là cậu bé Pinocchio giữa đời thực và tôi thật tự hào về con mình".
Mẹ cậu bé chia sẻ: "Đối với tôi, Ollie là đứa trẻ hoàn hảo. Đó là cậu bé Pinocchio giữa đời thực và tôi thật tự hào về con mình".
Cậu bé lớn lên được người mẹ tự hào xem như "cuộc sống thật của Pinocchio".
Cậu bé lớn lên được người mẹ tự hào xem như "cuộc sống thật của Pinocchio".
Các bác sĩ cho rằng cần thiết phải phẫu thuật cho Ollie có thể thở và thu hẹp khoảng cách trong hộp sọ.
Các bác sĩ cho rằng cần thiết phải phẫu thuật cho Ollie có thể thở và thu hẹp khoảng cách trong hộp sọ.
Tháng 11/2014, Ollie Trezise đã trải qua cuộc phẫu thuật kéo dài 2 giờ tại Viện nhi Birmingham nhằm loại bỏ các túi dịch não thừa và chỉnh hình mũi. Nhưng trong tương lai, cậu bé vẫn còn phải trải qua những ca phẫu thuật khác nữa.
Tháng 11/2014, Ollie Trezise đã trải qua cuộc phẫu thuật kéo dài 2 giờ tại Viện nhi Birmingham nhằm loại bỏ các túi dịch não thừa và chỉnh hình mũi. Nhưng trong tương lai, cậu bé vẫn còn phải trải qua những ca phẫu thuật khác nữa.
Dù phải chịu nhiều đau đớn nhưng Ollie luôn mỉm cười. Hiện Ollie hồi phục khỏe mạnh, thích chơi đùa cùng chị gái Annabelle và là một cậu bé thông minh, vui nhộn.
Dù phải chịu nhiều đau đớn nhưng Ollie luôn mỉm cười. Hiện Ollie hồi phục khỏe mạnh, thích chơi đùa cùng chị gái Annabelle và là một cậu bé thông minh, vui nhộn.

GALLERY MỚI NHẤT

Công nghệ Wi-Fi xuyên tường gây lo ngại

Công nghệ Wi-Fi xuyên tường gây lo ngại

Dự án Wifi-densepose của Trung Quốc có thể lập bản đồ tư thế cơ thể người xuyên tường bằng tín hiệu Wi-Fi, mở ra ứng dụng mới nhưng dấy lên lo ngại riêng tư.