Sốc nặng em bé không có não vẫn sống khỏe, biết gọi mẹ

Sốc nặng em bé không có não vẫn sống khỏe, biết gọi mẹ

(Kiến Thức) - Aaron, em bé không có não do một dị tật bẩm sinh, chẳng những vẫn sống khỏe mạnh như phép lạ mà còn có thể gọi mẹ.

Cô Emma Murray đến từ Airdrie, Lanarkshire, Scotland, mẹ của em bé không có não này, chia sẻ, cô dường như đã đứng hình mất vài phút khi nghe thấy bé cất tiếng nói đầu tiên là gọi mẹ. Bởi cô chưa bao giờ tưởng tượng ra điều kỳ diệu này có thể đến với mình.
Cô Emma Murray đến từ Airdrie, Lanarkshire, Scotland, mẹ của em bé không có não này, chia sẻ, cô dường như đã đứng hình mất vài phút khi nghe thấy bé cất tiếng nói đầu tiên là gọi mẹ. Bởi cô chưa bao giờ tưởng tượng ra điều kỳ diệu này có thể đến với mình.
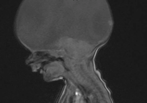
Cô Emma cho hay, kể từ khi được sinh ra, bé Aaron đã mắc dị tật hiếm khiến bé chỉ có phần cuống não. Các bác sĩ cho rằng bé chỉ có thể sống được 3 giờ cho đến 3 ngày sau khi chào đời bởi một dị tật hiếm có tên là holoprosencephaly .
Cô Emma cho hay, kể từ khi được sinh ra, bé Aaron đã mắc dị tật hiếm khiến bé chỉ có phần cuống não. Các bác sĩ cho rằng bé chỉ có thể sống được 3 giờ cho đến 3 ngày sau khi chào đời bởi một dị tật hiếm có tên là holoprosencephaly .
Đây dị tật bẩm sinh ảnh hưởng đến não, xảy ra ở 1/10.000 ca sinh nở. Hầu hết các trường hợp mắc dị tật này đều tử vong trong bụng mẹ hoặc sau khi chào đời.
Đây dị tật bẩm sinh ảnh hưởng đến não, xảy ra ở 1/10.000 ca sinh nở. Hầu hết các trường hợp mắc dị tật này đều tử vong trong bụng mẹ hoặc sau khi chào đời.
Tuy nhiên, điều kỳ diệu đã xảy ra, hiện tại bé đã được 2 năm tuổi và có thể gọi mẹ "mummy".
Tuy nhiên, điều kỳ diệu đã xảy ra, hiện tại bé đã được 2 năm tuổi và có thể gọi mẹ "mummy".
Chuyên gia Jill Yaz đến từ Hiệp hội chứng nứt đốt sống và Não úng thủy (SHINE) cho biết đây là trường hợp vô cùng hiếm có và kỳ diệu, bởi cuống não chỉ có thể thực hiện chức năng cơ bản như giữ cho tim đập, kiểm soát nhịp thở và hoạt động của các cơ quan nội tạng.
Chuyên gia Jill Yaz đến từ Hiệp hội chứng nứt đốt sống và Não úng thủy (SHINE) cho biết đây là trường hợp vô cùng hiếm có và kỳ diệu, bởi cuống não chỉ có thể thực hiện chức năng cơ bản như giữ cho tim đập, kiểm soát nhịp thở và hoạt động của các cơ quan nội tạng.
Tuy nhiên, theo chuyên gia Jill Yaz, phần não này không thể kiểm soát được suy nghĩ hay ý thức của con người, và thực tế bé Aaron đã có thể mỉm cười và gọi mẹ là điều "không tưởng". Từ câu chuyện của gia đình mình, cô Emma hy vọng rằng đây là động lực cũng như hy vọng cho những trường hợp có hoàn cảnh tương tự.
Tuy nhiên, theo chuyên gia Jill Yaz, phần não này không thể kiểm soát được suy nghĩ hay ý thức của con người, và thực tế bé Aaron đã có thể mỉm cười và gọi mẹ là điều "không tưởng". Từ câu chuyện của gia đình mình, cô Emma hy vọng rằng đây là động lực cũng như hy vọng cho những trường hợp có hoàn cảnh tương tự.

GALLERY MỚI NHẤT

Android cũng có sandbox như iPhone

Android cũng có sandbox như iPhone

Nhiều người nghĩ iPhone an toàn hơn nhờ sandbox, nhưng thực tế Android cũng có cơ chế này từ rất sớm, chỉ khác triết lý bảo mật và cách vận hành.

Fallout 3 Remastered lộ diện bất ngờ

Fallout 3 Remastered lộ diện bất ngờ

Danh sách đồ chơi McFarlane bất ngờ hé lộ Fallout 3 Remastered, khiến cộng đồng game thủ tin rằng ngày ra mắt chính thức của siêu phẩm này không còn xa.

Apple tính biến Siri thành chatbot AI

Apple tính biến Siri thành chatbot AI

Apple được cho là sẽ nâng cấp Siri thành chatbot thông minh, mở ra cơ hội định hình lại cách người dùng tương tác với iPhone trong tương lai.