5 loại xét nghiệm cấp thiết để phát hiện sớm ung thư

5 loại xét nghiệm cấp thiết để phát hiện sớm ung thư

(Kiến Thức) - Nếu bạn muốn đẩy lùi căn bệnh ung thư quái ác khi nó mới nhú mầm, cần có những những xét nghiệm phát hiện ung thư sau.

 Hàng năm trên thế giới, hàng triệu người mắc bệnh ung thư. Tuy nhiên, con số đi thăm khám rất ít. Bệnh nhân ung thư thường chỉ phát hiện khi mầm ung thư đã phát triển và có dấu hiệu đau đớn. Bạn không hề biết rằng, y học hiện đại đã có những bài xét nghiệm để phát hiện ung thư ngay khi nó nhú mầm.
Hàng năm trên thế giới, hàng triệu người mắc bệnh ung thư. Tuy nhiên, con số đi thăm khám rất ít. Bệnh nhân ung thư thường chỉ phát hiện khi mầm ung thư đã phát triển và có dấu hiệu đau đớn. Bạn không hề biết rằng, y học hiện đại đã có những bài xét nghiệm để phát hiện ung thư ngay khi nó nhú mầm.
1. Xét nghiệm PAP và chủng HPV. Đối với phụ nữ, xét nghiệm PAP sẽ phát hiện sớm ung thư cổ tử cung. Đây là một cách để kiểm tra các tế bào thu được từ cổ tử cung. Mục đích chính của việc xét nghiệm PAP là phát hiện ung thư hoặc tế bào bất thường có thể dẫn đến ung thư. Phụ nữ nên có xét nghiệm Pap ít nhất 3 năm 1 lần.
1. Xét nghiệm PAP và chủng HPV. Đối với phụ nữ, xét nghiệm PAP sẽ phát hiện sớm ung thư cổ tử cung. Đây là một cách để kiểm tra các tế bào thu được từ cổ tử cung. Mục đích chính của việc xét nghiệm PAP là phát hiện ung thư hoặc tế bào bất thường có thể dẫn đến ung thư. Phụ nữ nên có xét nghiệm Pap ít nhất 3 năm 1 lần.
HPV là virus lây qua đường tình dục phổ biến nhất, ảnh hưởng đến cả nam giới và nữ giới. Khoảng 79 triệu người bị nhiễm virus này nhưng không hay biết do không có những triệu chứng rõ ràng. Xét nghiệm HPV đòi hỏi bác lấy tế bào như xét nghiệm Pap nhưng kết quả cuối cùng là không chỉ có phát hiện tế bào bất thường hay không mà còn phát hiện có virus HPV không.
HPV là virus lây qua đường tình dục phổ biến nhất, ảnh hưởng đến cả nam giới và nữ giới. Khoảng 79 triệu người bị nhiễm virus này nhưng không hay biết do không có những triệu chứng rõ ràng. Xét nghiệm HPV đòi hỏi bác lấy tế bào như xét nghiệm Pap nhưng kết quả cuối cùng là không chỉ có phát hiện tế bào bất thường hay không mà còn phát hiện có virus HPV không.
2. Chụp quang tuyến vú. Chụp X quang tuyến vú (mamography) là phương pháp chụp X quang đặc biệt, dùng lượng tia X rất nhỏ để ghi hình ảnh chi tiết của tuyến vú nhằm phát hiện đặc điểm những khối u vú ngay cả khi chưa sờ thấy khi thăm khám.
2. Chụp quang tuyến vú. Chụp X quang tuyến vú (mamography) là phương pháp chụp X quang đặc biệt, dùng lượng tia X rất nhỏ để ghi hình ảnh chi tiết của tuyến vú nhằm phát hiện đặc điểm những khối u vú ngay cả khi chưa sờ thấy khi thăm khám.
Mục đích của việc chụp phim nhằm phát hiện ung thư ở giai đoạn sớm. Nhiều nghiên cứu cho thấy sàng lọc bằng kỹ thuật chụp vú giúp giảm tỷ lệ tử vong của ung thư vú khoảng 30%. Chụp vú đã trở thành một thăm khám định kỳ không thể thiếu trong việc bảo vệ sức khỏe phụ nữ ở những nước phát triển.
Mục đích của việc chụp phim nhằm phát hiện ung thư ở giai đoạn sớm. Nhiều nghiên cứu cho thấy sàng lọc bằng kỹ thuật chụp vú giúp giảm tỷ lệ tử vong của ung thư vú khoảng 30%. Chụp vú đã trở thành một thăm khám định kỳ không thể thiếu trong việc bảo vệ sức khỏe phụ nữ ở những nước phát triển.
3. Xét nghiệm dấu vết của máu trong phân (FOBT). Như tên gọi của nó, nhằm mục đích phát hiện mất máu tiềm ẩn trong đường tiêu hóa, ở bất cứ nơi nào từ miệng cho đến đại tràng. Xét nghiệm dương tính ("phân dương tính") có thể liên quan đến hoặc xuất huyết đường tiêu hóa trên hoặc xuất huyết đường tiêu hóa dưới và cần phải tiếp tục điều tra thêm nguyên nhân như ung thư đại trực tràng hoặc ung thư dạ dày.
3. Xét nghiệm dấu vết của máu trong phân (FOBT). Như tên gọi của nó, nhằm mục đích phát hiện mất máu tiềm ẩn trong đường tiêu hóa, ở bất cứ nơi nào từ miệng cho đến đại tràng. Xét nghiệm dương tính ("phân dương tính") có thể liên quan đến hoặc xuất huyết đường tiêu hóa trên hoặc xuất huyết đường tiêu hóa dưới và cần phải tiếp tục điều tra thêm nguyên nhân như ung thư đại trực tràng hoặc ung thư dạ dày.
Ung thư ruột già thường bị bỏ qua và do đó được chẩn đoán ở giai đoạn muộn. Đừng tránh làm xét nghiệm này vì sợ hãi. Nó là một phần quan trọng trong phòng chống ung thư và cần được thực hiện tại 50 tuổi trở lên
Ung thư ruột già thường bị bỏ qua và do đó được chẩn đoán ở giai đoạn muộn. Đừng tránh làm xét nghiệm này vì sợ hãi. Nó là một phần quan trọng trong phòng chống ung thư và cần được thực hiện tại 50 tuổi trở lên
4. Sàng lọc da. Đây không phải là kỹ thuật xét nghiệm, song một chuyên gia bác sỹ có thể kiểm tra được những dấu hiệu bất thường trên da chẳng hạn như sau tai, kẽ hở móng tay, giữa xương bả vai hoặc trên da đầu để có thể ngăn chặn mầm ung thư da.
4. Sàng lọc da. Đây không phải là kỹ thuật xét nghiệm, song một chuyên gia bác sỹ có thể kiểm tra được những dấu hiệu bất thường trên da chẳng hạn như sau tai, kẽ hở móng tay, giữa xương bả vai hoặc trên da đầu để có thể ngăn chặn mầm ung thư da.
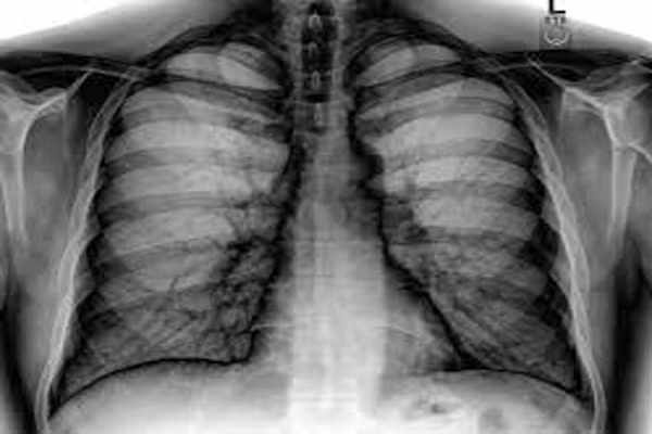
5. Chụp X-quang phổi. Chụp X-quang có thể phát hiện ung thư hoặc nhiễm trùng ở phổi. Cũng có thể hiển thị các vấn đề phổi mãn tính, chẳng hạn như khí phế thủng hoặc xơ nang, cũng như các biến chứng liên quan đến những điều kiện này. Nếu bạn 55 tuổi trở lên, có tiền sử hút thuốc hoặc đang hút thuốc, hãy nói chuyện với bác sỹ để tầm soát ung thư phổi phù hợp
5. Chụp X-quang phổi. Chụp X-quang có thể phát hiện ung thư hoặc nhiễm trùng ở phổi. Cũng có thể hiển thị các vấn đề phổi mãn tính, chẳng hạn như khí phế thủng hoặc xơ nang, cũng như các biến chứng liên quan đến những điều kiện này. Nếu bạn 55 tuổi trở lên, có tiền sử hút thuốc hoặc đang hút thuốc, hãy nói chuyện với bác sỹ để tầm soát ung thư phổi phù hợp
http://www.empowher.com/cancer/content/5-ways-raise-awareness-world-cancer-day

GALLERY MỚI NHẤT