Bé trai 1 tuổi viêm phổi, suy hô hấp vì... uống nhầm dầu hương liệu
Vừa qua, Bệnh viện Nhi đồng Thành Phố thông tin, tiếp nhận một trường hợp nam bệnh nhi N.G.B 12,5 tháng tuổi, (Tây Ninh) trong tình trạng khó thở tím tái.
Qua khai thác bệnh sử, vào khoảng 17h cùng ngày nhập viện, bé G.B. đang ở trong nhà và chơi với một bình dầu hương liệu dùng để thắp đèn. Bình này chứa khoảng 100ml dầu và nắp đã được mở sẵn do người nhà quên đóng. Bé đã đưa bình dầu vào miệng uống, sau đó ho sặc sụa, tím tái, trên áo vẫn dính đầy dầu hương liệu.
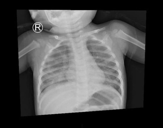
![]() |
| Hình ảnh X quang ngực lúc nhập viện cho thấy tình tổn thương phổi lan tỏa 2 phế trường bên phải nhiều hơn bên trái, gây suy hô hấp nặng. |
Ngay khi phát hiện, người nhà lập tức đưa trẻ đến bệnh viện địa phương để sơ cứu, sau đó chuyển đến Bệnh viện Nhi đồng Thành phố.
Tại bệnh viện, bệnh nhi G.B. được đặt nội khí quản hỗ trợ thở, sử dụng kháng sinh, dịch truyền, điều chỉnh điện giải, điều trị toan kiềm, an thần, giãn cơ và đặt ống thông dạ dày để dẫn lưu hóa chất còn sót lại trong đường tiêu hóa ra ngoài.
BS.CKII Nguyễn Minh Tiến - Phó giám đốc Bệnh viện Nhi đồng Thành phố cho biết, kết quả sau 1 tuần điều trị, tình trạng bệnh nhi cải thiện dần, được cai máy thở, thở khí trời, tỉnh táo, bú khá.
Xử trí nhanh khi trẻ nuốt nhầm hóa chất
Trẻ uống nhầm hóa chất thường có các biểu hiện như: Ho sặc sụa, cơ thể tím tái, hơi thở có mùi hóa chất… Khi trẻ bị ngộ độc do nuốt nhầm dầu hỏa, phụ huynh không nên gây nôn cho trẻ. Nguyên nhân là vì nếu gây nôn, khi hóa chất được đưa ra ngoài, hơi của hóa chất có thể tràn vào khí quản, làm tăng mức độ ngộ độc và gây bỏng thực quản. Trẻ dễ bị viêm phổi do hơi của hóa chất này xâm nhập vào đường hô hấp.
Cách xử trí ban đầu khi trẻ uống nhầm dầu hỏa là cho trẻ dùng nước muối loãng súc miệng, hoặc lau rửa miệng nếu trẻ còn nhỏ. Lau rửa nhiều lần giúp giảm nồng độ axit tại chỗ, tránh tổn thương lan rộng. Sau sơ cứu, phụ huynh cần đưa trẻ đến cơ sở y tế để tiếp tục cấp cứu và giải độc. Nhiều trường hợp trẻ uống phải xăng, dầu hỏa nặng phải nhập viện với các triệu chứng đau đầu, buồn nôn, nôn và ho.
Hóa chất có thể được tống ra ngoài theo đường tiêu hóa nếu trẻ uống lượng nhỏ. Tuy nhiên, phần lớn các trường hợp uống nhầm xăng, dầu hỏa có nguy cơ gây viêm phổi, do trẻ dễ dàng hít phải hơi độc của hóa chất. Hơi độc vào phổi gây tổn thương phế nang, và nếu thêm tình trạng sặc hóa chất vào phổi, tổn thương phổi sẽ càng nghiêm trọng hơn.
Để phòng tránh các nguy cơ, trẻ nhỏ cần có sự giám sát liên tục của người lớn, bên cạnh đó các phụ huynh phải có các biện pháp để phòng tránh nguy hiểm cho trẻ như:
- Để xa tầm tay trẻ những vật dụng nguy hiểm như: đồ sắc nhọn, thuốc, hóa chất…
- Không dùng các chai đựng thực phẩm để chứa hóa chất tránh gây nhầm lẫn.
- Bọc các góc cạnh bàn, ghế, giường tủ để tránh va đập; sắp xếp nhà cửa gọn gàng.
- Không cho trẻ chơi những đồ chơi có kích thước nhỏ, phòng tránh trẻ vô thức nhét vào các hốc tự nhiên hoặc nuốt gây nguy hiểm.
- Cho trẻ chơi ở khu vực bằng phẳng, cần có thanh chắn ở các lối ra vào, đặc biệt giữa các bề mặt có sự chênh lệch độ cao.
