![]() |
Dự án mở rộng đường Nguyễn Tuân khẩn trương về đích
Dự án mở rộng phố Nguyễn Tuân(Hà Nội) bị chậm tiến độ, ảnh hưởng đến đời sống dân sinh. Lãnh đạo phường Thanh Xuân đang chỉ đạo quyết liệt để dự án về đích.
![]() |
Dự án mở rộng phố Nguyễn Tuân(Hà Nội) bị chậm tiến độ, ảnh hưởng đến đời sống dân sinh. Lãnh đạo phường Thanh Xuân đang chỉ đạo quyết liệt để dự án về đích.
Với cáo buộc tội “Vi phạm quy định về tham gia giao thông đường bộ”, bị cáo Hồ Văn Hải bị Tòa án nhân dân khu vực 1 - TP. Huế tuyên phạt 3 năm 2 tháng tù.
Trước mắt, đơn vị chức năng xác định vị trí, khoanh vùng bảo vệ, sau đó xây dựng phương án trục vớt an toàn, giải phóng mặt nước khu vực bãi biển du lịch.
Bị đề nghị chia tay, Trương Quốc Đạt (19 tuổi, phường Châu Đốc, tỉnh An Giang) đã dùng dao chém bạn gái và người yêu của bạn gái tử vong tại chỗ.
Cựu thiếu tá Nguyễn Quang Hoàng (cán bộ Trạm CSGT Krông Búk) bị khởi tố về tội "Không cứu giúp người đang ở trong tình trạng nguy hiểm đến tính mạng"
Thời gian hoàn thành dự kiến đến ngày 30/04/2026 nhưng hiện tuyến đường vẫn còn trong tình trạng thi công dang dở, ngập trong rác thải sinh hoạt và công trình.
Ngày 23/4, UBND xã Chư Prông, tỉnh Gia Lai cho biết địa phương đang kiểm tra hiện tượng giếng khoan một hộ dân bất ngờ phun cột khí và nước cao hơn 10 mét
Sáng 23/4 (tức 7/3 âm lịch), tại Khu di tích lịch sử Đền Hùng, lễ rước kiệu của các xã, phường khu vực Đền Hùng thu hút đông đảo người dân và du khách tham gia.
Cả 4 học sinh Việt Nam tham dự Kỳ thi Olympic Hóa học Quốc tế Mendeleev 2026 đều đoạt giải, trong đó em Ngô Hoàng Minh xếp thứ 2 toàn kỳ thi.
Dự báo thời tiết 23/4/2026, miền Bắc và Bắc Trung Bộ hứng chịu ảnh hưởng của không khí lạnh mạnh, gây mưa giông kèm nguy cơ lũ quét, lốc xoáy.
Mưa giông rạng sáng 23/4 làm đổ gần 20 gian hàng tại Hội chợ Hùng Vương 2026, lực lượng chức năng khẩn trương khắc phục để kịp phục vụ du khách trong ngày.
Hà Nội dự kiến hỗ trợ tối đa 5 triệu đồng đổi xe xăng sang xe điện, áp dụng cho người cư trú từ 2 năm, kèm ưu đãi tín dụng và vé công cộng.
Bị đề nghị chia tay, Trương Quốc Đạt (19 tuổi, phường Châu Đốc, tỉnh An Giang) đã dùng dao chém bạn gái và người yêu của bạn gái tử vong tại chỗ.
Ngày 23/4, UBND xã Chư Prông, tỉnh Gia Lai cho biết địa phương đang kiểm tra hiện tượng giếng khoan một hộ dân bất ngờ phun cột khí và nước cao hơn 10 mét
Công an TPHCM đã bắt TikToker Nguyễn Văn Dũng, người đã sử dụng tài khoản "Master Dũng Văn" để trục lợi
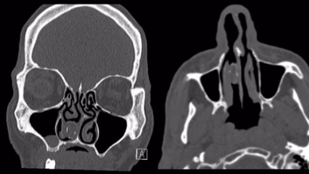
Bệnh Whitmore do vi khuẩn từ đất, nước gây ra, dễ nhầm lẫn, nặng nếu không phát hiện sớm. Người dân cần phòng tránh tiếp xúc đất bẩn...
Nhóm thanh thiếu niên điều khiển xe máy với tốc độ cao, mang theo hung khí, liên tục rượt đuổi nhau, gây náo loạn dọc tuyến đường Hùng Vương, tỉnh Quảng Trị.
Với cáo buộc tội “Vi phạm quy định về tham gia giao thông đường bộ”, bị cáo Hồ Văn Hải bị Tòa án nhân dân khu vực 1 - TP. Huế tuyên phạt 3 năm 2 tháng tù.
Hà Nội dự kiến tổ chức 250 điểm thi với trên 5.400 phòng thi để đáp ứng quy mô kỳ thi vào lớp 10 công lập năm học 2026-2027.
Các bước từ rà soát dữ liệu, đăng ký, xét tuyển, đến xác nhận nhập học được ngành giáo dục TP HCM hướng dẫn rõ ràng từ tháng 4 đến tháng 7.
Sáng 23/4 (tức 7/3 âm lịch), tại Khu di tích lịch sử Đền Hùng, lễ rước kiệu của các xã, phường khu vực Đền Hùng thu hút đông đảo người dân và du khách tham gia.
Dự án mở rộng phố Nguyễn Tuân(Hà Nội) bị chậm tiến độ, ảnh hưởng đến đời sống dân sinh. Lãnh đạo phường Thanh Xuân đang chỉ đạo quyết liệt để dự án về đích.
Trước mắt, đơn vị chức năng xác định vị trí, khoanh vùng bảo vệ, sau đó xây dựng phương án trục vớt an toàn, giải phóng mặt nước khu vực bãi biển du lịch.
11 tuyến phố ở phường Hoàn Kiếm, Hà Nội được đề xuất thí điểm vùng phát thải thấp và cấm xe máy xăng từ 18h đến 24h thứ sáu và từ 6h đến 24h thứ bảy, chủ nhật.
Cựu thiếu tá Nguyễn Quang Hoàng (cán bộ Trạm CSGT Krông Búk) bị khởi tố về tội "Không cứu giúp người đang ở trong tình trạng nguy hiểm đến tính mạng"
Danh tính nạn nhân nhanh chóng được xác định là một bé gái có biểu hiện tinh thần bất định, hoàn cảnh gia đình khó khăn.
Vụ tai nạn liên hoàn trên cầu dây văng Phú Mỹ giữa 6 ôtô khiến giao thông bị ùn tắc nghiêm trọng kéo dài từ đêm đến rạng sáng...
Dự báo thời tiết 23/4/2026, miền Bắc và Bắc Trung Bộ hứng chịu ảnh hưởng của không khí lạnh mạnh, gây mưa giông kèm nguy cơ lũ quét, lốc xoáy.
Cả 4 học sinh Việt Nam tham dự Kỳ thi Olympic Hóa học Quốc tế Mendeleev 2026 đều đoạt giải, trong đó em Ngô Hoàng Minh xếp thứ 2 toàn kỳ thi.
Thời gian hoàn thành dự kiến đến ngày 30/04/2026 nhưng hiện tuyến đường vẫn còn trong tình trạng thi công dang dở, ngập trong rác thải sinh hoạt và công trình.