Bệnh viện K đã phẫu thuật thành công loại bỏ khối u xương kích thước lớn tại cung sai xương sườn số 1 vùng hõm đỉnh, chiếm toàn bộ xương sườn số 1. Mỗi người nên chú ý đến thay đổi của cơ thể.
Đau cổ vai gáy và cánh tay đi khám phát hiện u hố thượng đòn nhưng không ngờ sau khi chụp cắt lớp vi tính thì nguyên nhân gây bệnh của cô gái lại là do xương sườn phụ quá phát mọc ra ở đốt sống cổ 7.
Một sản phụ đến BV ĐH Y dược Buôn Ma Thuột sinh mổ, người nhà tố bệnh viện có liên quan đến vụ gãy xương sườn của sản phụ. Lãnh đạo Sở Y tế Đắk Lắk đã yêu cầu thanh tra y tế vào cuộc.
(khoahocdoisong.vn) - Viêm khớp ức sườn thường xảy ra ở người trung niên – những người từ 50 tuổi trở đi bởi những đối tượng này thường đã qua giai đoạn lao động vất vả, các khớp xương cũng có dấu hiệu bắt đầu thoái hóa và yếu đi. Bệnh viêm khớp ức sườn không mang tới quá nhiều nguy hại cho sức khỏe bệnh nhân, tuy nhiên những triệu chứng của bệnh lại ảnh hưởng tới cuộc sống và các sinh hoạt hằng ngày.
Khi bị tấn công, những chiếc xương sườn sắc nhọn của loài vật này sẽ di chuyển hướng về phía trước và thọc đầu nhọn xuyên qua những nốt màu vàng trên lớp da...
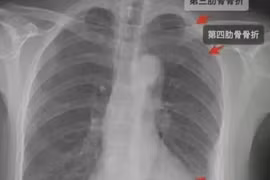
(Kiến Thức) - Một khi tế bào ung thư đã di căn trên diện rộng thì bệnh nhân khó có thể qua khỏi. Chính vì vậy, việc phát hiện những dấu hiệu bất thường là vô cùng quan trọng.