Gắp viên bi sắt trong mũi bé gái 3 tuổi

Gắp viên bi sắt trong mũi bé gái 3 tuổi

Trẻ bị dị vật mũi có thể để lại vấn đề nhiễm trùng, khiến trẻ ốm sốt cũng như có thể gây các bệnh viêm nhiễm đường hô hấp trên như viêm mũi, viêm amidan, viêm họng,…
Viêm amidan mạn tính khi nào phẫu thuật?

Viêm amidan mạn tính khi nào phẫu thuật?

Người bệnh bị viêm amidan tái phát nhiều lần thì amidan không còn tác dụng bảo vệ mà lại trở thành ổ viêm gây hại cho cơ thể, khi đó sẽ có chỉ định cắt amidan.
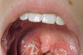
Trẻ ngủ ngáy cẩn thận viêm amidan quá phát

Trẻ ngủ ngáy cẩn thận viêm amidan quá phát

(khoahocdoisong.vn) - Từ đầu năm đến nay Bệnh viện Nhi T.Ư đã phẫu thuật cho hơn 400 trẻ bị viêm amidan, trong đó phần lớn do amidan quá phát. Bệnh gây nhiều biến chứng nguy hiểm, làm ảnh hưởng nhiều đến kết quả học tập, sức khỏe và chất lượng cuộc sống của trẻ... nên cần nhận biết chữa trị sớm.
Thực phẩm giúp đẩy lùi viêm amidan

Thực phẩm giúp đẩy lùi viêm amidan

(khoahocdoisong.vn) - Viêm amidan dễ tái phát lúc giao mùa, thay đổi thời tiết, khi ra ngoài trời lạnh quá lâu mà không bảo vệ giữ ấm cơ thể, đặc biệt vùng cổ họng.
Khàn tiếng kéo dài - Cảnh giác các bệnh lý nguy hiểm!

Khàn tiếng kéo dài - Cảnh giác các bệnh lý nguy hiểm!

(khoahocdoisong.vn) - Khàn tiếng kéo dài không chỉ tác động tiêu cực tới công việc, cuộc sống của người mắc, mà còn cảnh báo những vấn đề sức khỏe nghiêm trọng tại dây thanh. Dưới đây là các bệnh lý nguy hiểm gây ra tình trạng này.
Viêm amidan ở người lớn và những điều bạn cần biết

Viêm amidan ở người lớn và những điều bạn cần biết

Viêm amidan là bệnh lý về đường hô hấp trên phổ biến ở cả người lớn và trẻ nhỏ. Vậy nguyên nhân nào gây ra viêm amidan ở người lớn và làm sao để cải thiện tình trạng này hiệu quả? Mời bạn tìm hiểu thông tin trong bài viết sau!
Viêm thanh quản mạn tính là gì? Có nguy hiểm không?

Viêm thanh quản mạn tính là gì? Có nguy hiểm không?

Viêm thanh quản mạn tính đặc trưng bởi tình trạng khản tiếng kéo dài, ảnh hưởng nhiều tới chất lượng cuộc sống. Vậy viêm thanh quản mạn tính là gì? Làm sao để cải thiện tình trạng này hiệu quả tại nhà? Mời bạn tìm hiểu thông tin trong bài viết sau.
Mách bạn 5 bài thuốc dân gian giúp trị khàn tiếng tại nhà

Mách bạn 5 bài thuốc dân gian giúp trị khàn tiếng tại nhà

Khàn tiếng là tình trạng khá phổ biến, gây ảnh hưởng không nhỏ tới sức khoẻ và chất lượng cuộc sống của người mắc. Nếu cũng đang bị khàn tiếng và mong muốn cải thiện tình trạng này nhanh chóng thì bạn đừng bỏ qua 5 bài thuốc dưới đây.
Đông y điều trị viêm amiđan

Đông y điều trị viêm amiđan

(khoahocdoisong.vn) - Trong Đông y, viêm amiđan, thường gọi là bệnh nhũ nga. Viêm amiđan cấp tính thường gọi phong nhiệt nhũ nga, còn viêm amiđan mạn tính thường gọi hư hỏa nhũ nga. Viêm amidan là một bệnh thường gặp trong các bệnh đường hô hấp, nhất là ở trẻ em.
Khàn tiếng là biểu hiện của bệnh gì?

Khàn tiếng là biểu hiện của bệnh gì?

Khàn tiếng không chỉ ảnh hưởng tới khả năng giao tiếp, làm giảm hiệu quả công việc mà nó còn là biểu hiện của một số bệnh lý tiềm ẩn trong cơ thể. Vậy khàn tiếng là biểu hiện của bệnh gì và làm sao để cải thiện hiệu quả? Mời bạn tìm hiểu thông tin chi tiết trong bài viết sau.
Viêm amidan có gây hôi miệng?

Viêm amidan có gây hôi miệng?

Trong họng tôi có xuất hiện hạt trắng có mùi hôi và một thời gian sau hạt trắng đó lại rụng đi. Xin hỏi đấy là bệnh gì và có phải là nguyên nhân gây hôi miệng?
Amiđan không thể thấy viêm là muốn đi cắt

Amiđan không thể thấy viêm là muốn đi cắt

(Khoahocdoisong.vn) - Nhiều người cứ nghĩ amiđan là bộ phận không cần thiết nên khi bị sưng viêm, đến bệnh viện yêu cầu cắt bỏ. Tuy nhiên thực tế không phải ai bị viêm amiđan cũng có chỉ định phẫu thuật.