Báo Tri thức và Cuộc sống - TIN TỨC PHỔ BIẾN KIẾN THỨC 24H
Hà Nội

KHDS VNDAILY DoiSong TamNhin
  • Trang chủ
  • Trending
  • Vusta - Tri thức KH&CN
  • Nhà khoa học
  • Kiến thức cần biết
  • Thời sự 24h
    Chính trị Xã hội Thế giới Kinh doanh Bất động sản Sống xanh Bạn đọc Doanh nghiệp
  • Khoa học & Công nghệ
    Nhà khoa học Kho tri thức Giải mã Quân sự Số hóa Xe Sống đạo
  • Đời sống & Giải trí
    Sống Khỏe Đời sống Giải trí Thể thao Du lịch Cộng đồng trẻ Sốt mạng
  • Spotlight
    Gallery Video Podcast e-Magazine
  • Xem thêm
Trending Vusta & Trí thức KH&CN Nhìn thẳng - Nói thật Kiến thức cần biết Cải chính Đọc Báo in KH&ĐS
Thời sự 24h Chính trị Xã hội Thế giới Kinh doanh Bất động sản Sống xanh Bạn đọc Doanh nghiệp
Khoa học & Công nghệ Nhà khoa học Kho tri thức Giải mã Quân sự Số hóa Xe Sống đạo
Đời sống & Giải trí Sống Khỏe Đời sống Giải trí Thể thao Du lịch Cộng đồng trẻ Sốt mạng
Spotlight Gallery Video Podcast e-Magazine

Từ khóa: thích ăn đồ vật

Người đàn ông 35 tuổi nuốt hàng chục đinh vít vào dạ dày phải cấp cứu

Người đàn ông 35 tuổi nuốt hàng chục đinh vít vào dạ dày phải cấp cứu

Bệnh nhân 35 tuổi nuốt hàng chục đinh vít, được cấp cứu kịp thời, cảnh báo nguy hiểm của dị vật kim loại trong dạ dày và đường tiêu hóa.

Thủng ruột vì hội chứng thích ăn đồ vật

Thủng ruột vì hội chứng thích ăn đồ vật

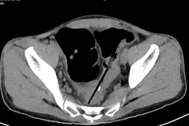
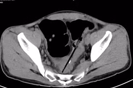
Nguyên nhân trong ổ bụng bệnh nhân có nhiều dị vật là do người bệnh được chẩn đoán mắc hội chứng Pica, hay còn gọi là hội chứng thích ăn các đồ vật không phải thức ăn.
Người đàn ông bị thủng ruột vì hội chứng thích ăn đồ vật

Người đàn ông bị thủng ruột vì hội chứng thích ăn đồ vật

Các bác sĩ Bệnh viện Bạch Mai vừa phẫu thuật cho người đàn ông nuốt nhiều dị vật gây biến chứng thủng đại tràng. Người bệnh được chẩn đoán mắc hội chứng Pica - thích ăn các đồ vật.
hủng ruột vì hội chứng thích ăn đồ vật

Thủng ruột vì thích ăn đồ vật: nuốt 3 bật nửa và 2 thanh kim loại

Trung tâm Phẫu thuật tiêu hóa - Bệnh viện Bạch Mai vừa phẫu thuật một trường hợp người bệnh nuốt nhiều dị vật gây biến chứng thủng đại tràng. Người bệnh được chẩn đoán mắc hội chứng Pica (hội chứng thích ăn các đồ vật không phải thức ăn).
Báo Tri thức và Cuộc sống - TIN TỨC PHỔ BIẾN KIẾN THỨC 24H

Hotline: 096 523 77 56/091 181 1111 (Toà soạn Hà Nội)
/ 091 122 12 22 (VPĐD TPHCM)

baotrithuccuocsong@kienthuc.net.vn
tkts@kienthuc.net.vn

Facebook Rss
Trending Vusta - Trí thức KH&CN Nhà khoa học Kiến thức cần biết Thời sự 24h Khoa học & Công nghệ Đời sống & Giải trí Spotlight

CƠ QUAN CHỦ QUẢN: LIÊN HIỆP CÁC HỘI KHOA HỌC VÀ KỸ THUẬT VIỆT NAM

Giấy phép: Số 536/GP-BTTTT ngày 19/11/2020 do Bộ Thông tin và Truyền thông cấp.

Tổng Biên tập: Nhà báo Nguyễn Thị Mai Hương

Phó Tổng Biên tập: Nhà báo Nguyễn Danh Châu

Tòa soạn: Số 70 Trần Hưng Đạo, phường Cửa Nam, Hà Nội.

VPĐD tại TP.HCM: Số 54 Phạm Huy Thông, phường Hạnh Thông, Thành phố Hồ Chí Minh.

DMCA.com Protection Status