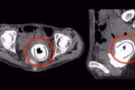
(khoahocdoisong.vn) - Nhiều trường hợp bệnh nhân nam sử dụng các dụng cụ hỗ trợ tình dục để tự sướng đường hậu môn, một số dị vật trôi vào trong trực tràng.
Sextoy hay còn gọi là đồ chơi, dụng cụ tình dục, phục vụ cho hoạt động tình dục của con người với mong muốn các dụng cụ này giúp người ta thỏa mãn hơn hoặc thậm chí có lúc chúng còn là đồ thay thế cho “đồ thật”.
(Kiến Thức) - Nhiều nghiên cứu khoa học cho thấy, chồng có của quý khủng hoặc việc phụ nữ thành đạt... là nguyên nhân ít ai ngờ khiến nữ phái yếu ngoại tình.