Một bác sĩ người Mỹ đã phát minh ra bài kiểm tra, chỉ cần động tác đơn giản là gập ngón tay cái lại... từ đó có thể biết được nguy cơ sưng, phình động mạch chủ.
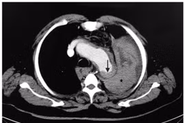
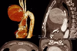
Tách thành động mạch chủ cấp là bệnh lý cực kỳ nguy hiểm, có tỷ lệ tử vong rất cao 1-2% mỗi giờ trong 24 giờ đầu nếu không được phát hiện sớm và xử trí kịp thời.
Tiểu Mã, 19 tuổi, cao 1,9 mét ở Ninh Ba, Chiết Giang (Trung Quốc), vốn có đôi chân dài, vóc dáng hoàn toàn được thừa hưởng từ cha. Thế nhưng, cả Tiểu Mã và cha cậu đều mắc phải một căn bệnh hiếm gặp, đó là hội chứng Marfan.
(khoahocdoisong.vn) - Phình động mạch chủ bụng thường liên quan đến những bệnh nhân có tiền sử hút thuốc lá, tăng huyết áp, tiểu đường... Bệnh không có triệu chứng nhưng vỡ sẽ gây tử vong nhanh chóng nên cần nhận biết và điều trị sớm.
(khoahocdoisong.vn) - Bệnh viện quận Thủ Đức TPHCM vừa tiến hành can thiệp đặt stent-graft cho một bệnh nhân cao tuổi bị phình động mạch chủ bụng. Đây đã là ca thứ 4 thành công trong thời gian ngắn triển khai kỹ thuật cao cấp tại một bệnh viện tuyến quận.
Nếu sờ thấy bụng có khối u đập theo nhịp tim ở vùng giữa bụng trên rốn thì đây chính là dấu hiệu của chứng phình động mạch chủ, cho thấy sức khỏe của bạn đang nguy kịch.