Cứu bé trai gần 3 tuổi nuốt pin cúc áo loét thực quản
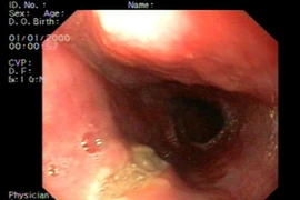
Một bé trai gần 3 tuổi nuốt phải pin cúc áo gây loét thực quản, các bác sĩ cảnh báo tổn thương nguy hiểm khi nuốt phải pin.
Một bé trai gần 3 tuổi nuốt phải pin cúc áo gây loét thực quản, các bác sĩ cảnh báo tổn thương nguy hiểm khi nuốt phải pin.
Cha mẹ cần lưu ý khi thấy trẻ nuốt nghẹn, đau, nôn, khạc ra máu... cần đưa đi khám. Dị vật có thể gây viêm loét, xuất huyết, thủng thực quản, tử vong.