U xơ tử cung là bệnh lý lành tính thường gặp ở phụ nữ tuổi sinh đẻ, có thể gây rong kinh, thiếu máu, đau bụng, thậm chí ảnh hưởng đến khả năng sinh sản nếu không được phát hiện sớm.
Các bác sĩ Khoa Sản, Bệnh viện Bãi Cháy vừa phẫu thuật điều trị cho bệnh nhân vừa có u xơ tử cung kích thước lớn biến chứng cường kinh, thiếu máu nặng và u nang buồng trứng.
Bị u tuyến giáp lành tính to không mổ, đến khi nuốt vướng mới đến lại bệnh viện thì u vỡ, chèn ép khí quản, thần kinh thanh quản và thực quản gây nguy hiểm tới tính mạng.
Tôi và hai con trai có rất nhiều nốt ruồi, nhất là ở vùng mặt cổ và ngực. Hầu hết các nốt ruồi nhỏ và không tăng kích thước trong nhiều năm nhưng tôi vẫn lo lắng về nguy cơ bị ung thư. Xin được bác sĩ tư vấn.
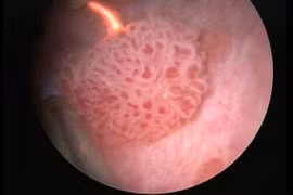
Có một số đặc điểm hình ảnh trên nội soi có thể gợi ý phần nào polyp đại trực tràng lành tính hay ác tính nhưng câu trả lời mang tính chất quyết định vẫn là kết quả giải phẫu bệnh khi sinh thiết các polyp đó.
Cũng giống như bất kỳ cơ quan nào khác, da phản ánh tình trạng sức khỏe của cơ thể. Nốt ruồi khá phổ biến ở trên da, theo dõi các đặc điểm của nốt ruồi giúp bạn giải thích 'thông điệp' mà làn da gửi tới.
(khoahocdoisong.vn) - Bướu giáp nhân là tổn thương dạng khối nằm trong tuyến giáp, được phân loại thành nhân lành tính và ác tính, trong đó đa số trường hợp là nhân lành tính.
(khoahocdoisong.vn) - U bàng quang mới phát hiện, cần được mổ nội soi để ngăn chặn nguy cơ chảy máu và làm giải phẫu bệnh để xác định xem lành tính hay ác tính.
(Kiến Thức) - Nghiên cứu gần đây phát hiện, các mô vú bất thường (tổn thương) hay còn gọi là “u vú lành tính" (không phải ung thư) hiếm khi tiến triển thành ung thư.