Người bệnh mắc dị tật đảo ngược phủ tạng nên toàn bộ dạ dày, tá tràng, gan, đường mật, túi mật… đều có sự biến đổi về giải phẫu, gây khó khăn trong phẫu thuật.
Các khối thoát vị nếu không được phát hiện sớm thì khi hoạt động hay làm việc khối thoát vị có thể tăng kích thước, gây ra chèn ép lên các cơ quan khác trong ổ bụng, dẫn đến nguy cơ nghẹt và hoại tử ruột...
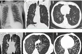
2 bệnh nhân mắc hội chứng Kartagener, đảo ngược phủ tạng hiếm gặp được phát hiện từ các triệu chứng viêm đường hô hấp tái diễn nhiều lần. Xét nghiệm gene hội chứng Kartagener thường khó thực hiện và tốn kém, chủ yếu dựa vào biểu hiện của tam chứng.
Hội chứng Kartagener là một rối loạn di truyền lặn trên nhiễm sắc thể thường hiếm gặp, gây khiếm khuyết trong hoạt động của lông mao ở phổi và nhiều cơ quan khác.
(khoahocdoisong.vn) - Các bác sĩ Bệnh viện Hoàn Mỹ Sài Gòn đã đặt máy tạo nhịp tim cứu sống bệnh nhân suýt tử vong vì nhịp tim chậm. Đặc biệt, người bệnh lại có tim nằm bên phải (đảo ngược phủ tạng) hiếm gặp.
Một nam thanh niên 25 tuổi ở Hải Phòng khi khám bệnh định kỳ mới ngỡ ngàng biết mình bị đảo ngược phủ tạng, tim ở ngực bên phải, gan nằm bên trái trong nội tạng.