Bệnh nhân 46 tuổi, xơ gan do rượu, nhiều lần xuất huyết tiêu hóa do giãn tĩnh mạch thực quản và phình vị vừa được các bác sĩ can thiệp TIPS thành công.
Phình mạch não được gọi là "kẻ giết người thầm lặng" vì thường không có triệu chứng rõ ràng. Khi túi phình vỡ, nguy cơ tử vong hoặc để lại di chứng rất cao.
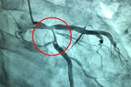
Cơn đau thắt ngực không ổn định xuất hiện do sự giảm đột ngột của dòng máu mạch vành nuôi cơ tim, có thể dẫn đến nhồi máu cơ tim và đe dọa tính mạng bệnh nhân nếu không được cấp cứu kịp thời.
Chấn thương tạng đặc chiếm tỷ lệ khá cao trong chấn thương bụng, đặc biệt là chấn thương tạng đặc có chảy máu hoạt động. Can thiệp mạch cấp cứu đạt hiệu quả điều trị cao, giúp giảm tỉ lệ tử vong cho người bệnh.
Với sự hỗ trợ của máy chụp mạch máu số hóa xóa nền, các kỹ thuật khai thông mạch máu trong nhồi máu não, nút phình mạch trong vỡ túi phình, điều trị dị dạng mạch não…được tiến hành để cứu sống người bệnh đột quỵ.
Các bác sĩ khoa Chẩn đoán hình ảnh Bệnh viện Đa khoa Hùng Vương đã can thiệp nút mạch thành công cho nữ bệnh nhân bị dị dạng thông động tĩnh mạch thận phải. Bệnh dễ biến chứng gây tử vong nhanh nên cần phát hiện sớm.
Người đàn ông 47 tuổi ở Quảng Nam đã ngưng tim, ngừng tuần hoàn, tím tái toàn thân được gia đình đưa từ TP. HCM về quê để lo hậu sự đã được cứu sống tại bệnh viện tuyến tỉnh.
Đa hồng cầu dễ tắc mạch và nhồi máu cơ tim cấp. Bệnh nếu không được điều trị kịp thời có thể gây biến chứng suy tim, rối loạn nhịp tim, thậm chí tử vong.
Ở nhà chỉ nghĩ là đau bụng thông thường vậy mà khi đến bệnh viện bệnh nhân mới biết mình mắc phải căn bệnh nguy hiểm. 21% các trường hợp lóc tách động mạch chủ tử vong trước khi nhập viện.
(khoahocdoisong.vn) - Nhờ cấp cứu và can thiệp mạch kịp thời, Bệnh viện Đa khoa tỉnh Tuyên Quang đã cứu sống bệnh nhân 36 tuổi bị ngừng tuần hoàn, mất ý thức...
(khoahocdoisong.vn) - Bệnh viện Đa khoa Trà Vinh vừa tổ chức lễ khai trương Phòng Can thiệp mạch với sự hỗ trợ của chuyên khoa Tim mạch Can thiệp, Bệnh viện Chợ Rẫy TPHCM.
(khoahocdoisong.vn) - Kỹ thuật dùng một loại ống thông nhỏ (catheter) để đưa một bóng nhỏ vào lòng động mạch vành bị tắc rồi nong và đặt Stent (giá đỡ) để làm tái thông dòng máu.
(khoahocdoisong.vn) - Can thiệp nội mạch là phương pháp không mổ, dùng ống thông nhỏ đi qua động mạch đùi lên não, sử dụng chất gây tắc là keo (glue) hoặc Onyx để bơm tắc dị dạng động tĩnh mạch qua ống thông (nút mạch).
(khoahocdoisong.vn) - Nhờ can thiệp mạch kịp thời hút huyết khối gây tắc động mạch chi, các bác sĩ bệnh viện E đã giúp cho một bệnh nhân nữ khỏi phải cắt cụt chi vì thuyên tắc huyết khối tĩnh mạch cấp tính.
Ngày đầu tiên đi du lịch Việt Nam khách người Trung Quốc bị nhồi máu cơ tim nặng trong giai đoạn 4. Sau 30 phút vào viện khách du lịch Trung Quốc đã được các bác sĩ Trung tâm tim mạch Bệnh viện E can thiệp mạch cứu sống.