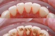
Vôi răng hay cao răng là những mảng bám đã cứng lại, có màu ố vàng trên răng. Cao răng được hình thành ở ngay hoặc dưới đường viền nướu và có thể gây kích ứng mô nướu. Cao răng làm mất thẩm mỹ, gây nên những bệnh viêm nhiễm nướu hay thậm chí là sâu răng. Đối với người thường xuyên sử dụng trà, cà phê hoặc hút thuốc thì mảng bám càng dễ phát triển hơn.
Việc lấy cao răng là điều rất cần thiết để bảo vệ hàm răng của bạn.
Các nhà nghiên cứu đã khẳng định rằng vỏ chuối tác động đến răng như một chất làm sạch, loại bỏ các mảng bám mới tích tụ và khiến cho răng nhìn trắng sáng hơn, nhờ vào các khoáng chất như mangan, magie, kali… sau nhiều kết quả phân tích về thành phần của vỏ chuối. Sau đây là các bước thực hiện:
Bước 1: Hãy chuẩn bị một quả chuối, bạn nên chọn loại chuối càng chín càng tốt vì chúng sẽ chứa nhiều khoáng chất hơn. Lột vỏ chuối và chọn lấy một dải dài vỏ chuối có nhiều xơ bên trên để sử dụng. Lưu ý rằng tách vỏ quả chuối với bề rộng từ 3 - 5cm bạn sẽ dễ thực hiện hơn.
![]() |
| Bạn hãy tuân thủ các bước thực hiện để có hàm răng trắng sáng. (Ảnh minh họa). |
Bước 2: Sử dụng mặt trong của vỏ chuối chà xát lên trên bề mặt răng của bạn, cả mặt trong lẫn mặt ngoài. Chú ý là hãy chà đến những vùng chân răng thường có mảng bám và bất kỳ nơi nào bạn cảm thấy rằng răng có màu không được sáng. Nhắc nhở nhỏ là khi sử dụng vỏ chuối, răng của bạn phải đang ở trạng thái khô. Chà xát xong, bạn giữ nguyên trong khoảng tầm 5-8 phút.
Bước 3: Sau đó sử dụng bàn chải đánh răng khô và chải răng như bình thường trong khoảng 1-3 phút với các chuyển động tròn khắp ngóc ngách và kẽ răng.
Bước 4: Cuối cùng, bạn làm ướt bàn chải, sử dụng thêm kem đánh răng để chải sạch bã chuối cùng những cặn bẩn trong miệng ra và súc miệng bằng nước ấm.
Hãy tham khảo cách lấy cao răng bằng vỏ chuối như trên để có hàm răng trắng sáng.
