Mẹ chồng dặn uống thứ này mỗi sáng, con dâu không ngờ ung thư

Mẹ chồng dặn uống thứ này mỗi sáng, con dâu không ngờ ung thư

Mỗi ngày, cô Vương Khiết đều pha trà hoa cúc để uống, nhưng không ngờ thứ nước uống này lại khiến cô ngày một yếu đi do để trong bình giữ nhiệt kém chất lượng.

Cô Vương Khiết, 36 tuổi, người Trung Quốc, làm nghề tài xế xe buýt. Chồng cô Vương Khiết mất sớm vì bạo bệnh khiến cô phải gồng gánh cả gia đình. Trước 30 tuổi, cô Vương Khiết làm việc liên tục cũng không thấy mệt, giờ có tuổi hơn một chút, cô luôn cảm thấy không được tốt lắm. (Ảnh minh họa)
Cô Vương Khiết, 36 tuổi, người Trung Quốc, làm nghề tài xế xe buýt. Chồng cô Vương Khiết mất sớm vì bạo bệnh khiến cô phải gồng gánh cả gia đình. Trước 30 tuổi, cô Vương Khiết làm việc liên tục cũng không thấy mệt, giờ có tuổi hơn một chút, cô luôn cảm thấy không được tốt lắm. (Ảnh minh họa)
Mẹ chồng cô Vương Khiết thấy vậy luôn miệng nhắc nhở cô nghỉ ngơi, uống nhiều nước, tốt nhất là uống trà hoa cúc mỗi ngày để thanh nhiệt, giải độc. Cô Vương Khiết cũng nghe lời mẹ chồng, cố gắng giữ gìn sức khỏe.
Mẹ chồng cô Vương Khiết thấy vậy luôn miệng nhắc nhở cô nghỉ ngơi, uống nhiều nước, tốt nhất là uống trà hoa cúc mỗi ngày để thanh nhiệt, giải độc. Cô Vương Khiết cũng nghe lời mẹ chồng, cố gắng giữ gìn sức khỏe.
Thế nhưng, thời gian gần đây, cô Vương Khiết thường xuyên bị đau bụng và tiêu chảy, ngày nào cũng cảm thấy bơ phờ. Lúc đầu, cô cảm thấy đó là do mình bị kiệt sức nên cô nghĩ nếu ăn uống nhiều hơn, nghỉ ngơi điều độ sẽ đỡ hơn, không cần đến bệnh viện.
Thế nhưng, thời gian gần đây, cô Vương Khiết thường xuyên bị đau bụng và tiêu chảy, ngày nào cũng cảm thấy bơ phờ. Lúc đầu, cô cảm thấy đó là do mình bị kiệt sức nên cô nghĩ nếu ăn uống nhiều hơn, nghỉ ngơi điều độ sẽ đỡ hơn, không cần đến bệnh viện.
Nào ngờ, vài ngày trước, khi cô Vương Khiết vừa tan làm về nhà, bụng đột nhiên đau nhức, tưởng rằng uống chút nước nóng sẽ cảm thấy dễ chịu hơn, không ngờ cô vừa đứng dậy đã ngất đi, may mắn được người nhà đưa đến viện kịp thời.
Nào ngờ, vài ngày trước, khi cô Vương Khiết vừa tan làm về nhà, bụng đột nhiên đau nhức, tưởng rằng uống chút nước nóng sẽ cảm thấy dễ chịu hơn, không ngờ cô vừa đứng dậy đã ngất đi, may mắn được người nhà đưa đến viện kịp thời.
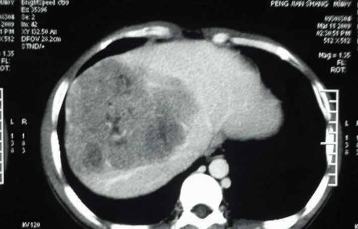
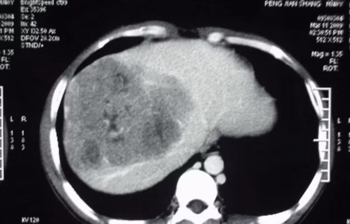
Sau nhiều lần kiểm tra tại bệnh viện, bác sĩ phát hiện ra rằng alpha-fetoprotein trong cơ thể của cô Vương Khiết vượt quá tiêu chuẩn nghiêm trọng, chẩn đoán là ung thư gan giai đoạn giữa, phải nhập viện ngay lập tức.
Sau nhiều lần kiểm tra tại bệnh viện, bác sĩ phát hiện ra rằng alpha-fetoprotein trong cơ thể của cô Vương Khiết vượt quá tiêu chuẩn nghiêm trọng, chẩn đoán là ung thư gan giai đoạn giữa, phải nhập viện ngay lập tức.
Tìm hiểu nguyên nhân gây bệnh, bác sĩ biết được rằng, cô Vương Khiết ngồi lái xe cả ngày, mẹ chồng bảo cô uống thêm trà hoa cúc để hạ hỏa, vậy nên cô Vương Khiết mua một chiếc bình giữ nhiệt.
Tìm hiểu nguyên nhân gây bệnh, bác sĩ biết được rằng, cô Vương Khiết ngồi lái xe cả ngày, mẹ chồng bảo cô uống thêm trà hoa cúc để hạ hỏa, vậy nên cô Vương Khiết mua một chiếc bình giữ nhiệt.
Mỗi ngày đi làm, cô đều pha trà hoa cúc để uống, nhưng không ngờ chính phần nước uống này lại khiến cô ngày một yếu đi.
Mỗi ngày đi làm, cô đều pha trà hoa cúc để uống, nhưng không ngờ chính phần nước uống này lại khiến cô ngày một yếu đi.
Thông thường, chất liệu của cốc giữ nhiệt phải đạt tiêu chuẩn kỹ thuật, tuy nhiên trên thị trường cũng có một số loại cốc giữ nhiệt không phải do công ty lớn sản xuất, không được đo lường kỹ thuật, không đạt tiêu chuẩn. Ưu điểm là rẻ nhưng nhược điểm là hàm lượng kim loại nặng cao, sử dụng lâu sẽ gây hại cho cơ thể.
Thông thường, chất liệu của cốc giữ nhiệt phải đạt tiêu chuẩn kỹ thuật, tuy nhiên trên thị trường cũng có một số loại cốc giữ nhiệt không phải do công ty lớn sản xuất, không được đo lường kỹ thuật, không đạt tiêu chuẩn. Ưu điểm là rẻ nhưng nhược điểm là hàm lượng kim loại nặng cao, sử dụng lâu sẽ gây hại cho cơ thể.
Vì ham rẻ, cô Vương Khiết lại mua phải loại bình giữ nhiệt không đạt tiêu chuẩn, chứa nhiều kim loại nặng, cực dễ phản ứng sau khi đổ nước nóng vào.
Vì ham rẻ, cô Vương Khiết lại mua phải loại bình giữ nhiệt không đạt tiêu chuẩn, chứa nhiều kim loại nặng, cực dễ phản ứng sau khi đổ nước nóng vào.
Những thay đổi về chất lượng nước, đặc biệt là crom có trong bình giữ nhiệt có thể gây hại cho cơ thể và các tế bào gan, lâu dài và nghiêm trọng có thể gây ung thư gan, hậu quả rất đáng buồn.
Những thay đổi về chất lượng nước, đặc biệt là crom có trong bình giữ nhiệt có thể gây hại cho cơ thể và các tế bào gan, lâu dài và nghiêm trọng có thể gây ung thư gan, hậu quả rất đáng buồn.
Mời quý độc giả xem thêm video: 70% bệnh nhân ung thư gan được phát hiện muộn. Nguồn video: THĐT.

GALLERY MỚI NHẤT

Amazon sa thải 30.000 nhân viên vì AI

Amazon sa thải 30.000 nhân viên vì AI

Amazon bước vào cuộc tái cấu trúc lớn nhất lịch sử, sa thải 30.000 nhân viên và yêu cầu 80% lập trình viên phải dùng AI mỗi tuần để tăng hiệu suất.