Loài động vật nào khiến con người tử vong nhiều nhất?

Loài động vật nào khiến con người tử vong nhiều nhất?

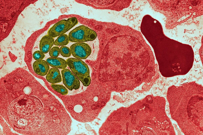
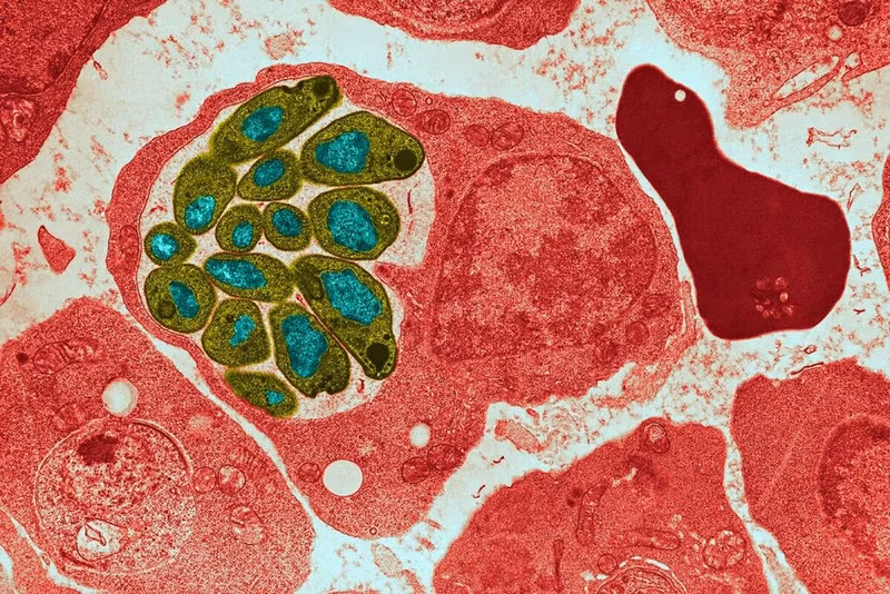
Loài động vật này gây ra khoảng 619.000 ca tử vong vào năm 2021, theo Tổ chức Y tế Thế giới WHO.

Theo Trung tâm Kiểm soát và Phòng ngừa Dịch bệnh Mỹ (CDC), muỗi là loài động vật nguy hiểm nhất thế giới, dẫn đến trường hợp tử vong của 500.000 đến hơn một triệu người mỗi năm.
Theo Trung tâm Kiểm soát và Phòng ngừa Dịch bệnh Mỹ (CDC), muỗi là loài động vật nguy hiểm nhất thế giới, dẫn đến trường hợp tử vong của 500.000 đến hơn một triệu người mỗi năm.
Chúng là vật trung gian truyền một số loại bệnh đáng lưu ý, đặc biệt là bệnh sốt rét.
Chúng là vật trung gian truyền một số loại bệnh đáng lưu ý, đặc biệt là bệnh sốt rét.
Bệnh sốt rét đã gây ra khoảng 619.000 ca tử vong vào năm 2021, theo Tổ chức Y tế Thế giới WHO.
Bệnh sốt rét đã gây ra khoảng 619.000 ca tử vong vào năm 2021, theo Tổ chức Y tế Thế giới WHO.
Bệnh sốt rét thường được điều trị bằng cách chăm sóc cải thiện sức khỏe.
Bệnh sốt rét thường được điều trị bằng cách chăm sóc cải thiện sức khỏe.
Tuy nhiên, đối với những người có nguy cơ cao như trẻ nhỏ, người mang thai và những người bị suy giảm miễn dịch HIV/AIDS, bệnh sốt rét có thể rất nguy hiểm.
Tuy nhiên, đối với những người có nguy cơ cao như trẻ nhỏ, người mang thai và những người bị suy giảm miễn dịch HIV/AIDS, bệnh sốt rét có thể rất nguy hiểm.
Theo WHO, khoảng 80% số ca tử vong do sốt rét ở châu Phi là trẻ em dưới 5 tuổi.
Theo WHO, khoảng 80% số ca tử vong do sốt rét ở châu Phi là trẻ em dưới 5 tuổi.
Muỗi cũng lây lan một số căn bệnh nguy hiểm khác, bao gồm sốt xuất huyết, chikungunya, virus West Nile, virus Zika và ký sinh trùng giun chỉ bạch huyết.
Muỗi cũng lây lan một số căn bệnh nguy hiểm khác, bao gồm sốt xuất huyết, chikungunya, virus West Nile, virus Zika và ký sinh trùng giun chỉ bạch huyết.
Để giảm nguy cơ mắc bệnh do muỗi, các chuyên gia đề xuất một số biện pháp như thường xuyên dọn dẹp, giữ vệ sinh khu vực sinh sống và sử dụng màn chống muỗi.
Để giảm nguy cơ mắc bệnh do muỗi, các chuyên gia đề xuất một số biện pháp như thường xuyên dọn dẹp, giữ vệ sinh khu vực sinh sống và sử dụng màn chống muỗi.
Mời quý độc giả xem thêm video: Loài động vật mù giúp nghiên cứu chống ung thư.

GALLERY MỚI NHẤT

Amazon sa thải 30.000 nhân viên vì AI

Amazon sa thải 30.000 nhân viên vì AI

Amazon bước vào cuộc tái cấu trúc lớn nhất lịch sử, sa thải 30.000 nhân viên và yêu cầu 80% lập trình viên phải dùng AI mỗi tuần để tăng hiệu suất.