Em bé tàn tật vì bác sĩ nhầm ung thư là táo bón

Em bé tàn tật vì bác sĩ nhầm ung thư là táo bón

(Kiến Thức) - Chỉ vì không xác định được những cơn đau bụng quằn quại là do một dạng ung thư trẻ em hiếm gặp, khi phát hiện thì khối u đã ảnh hưởng đến cột sống.

Một cậu bé 5 tuổi bị đau bụng kéo dài nhưng được xác định là táo bón cuối cùng mới được chẩn đoán là bị một loại ung thư trẻ em hiếm gặp, nhưng mọi chuyện đã quá muộn.
Một cậu bé 5 tuổi bị đau bụng kéo dài nhưng được xác định là táo bón cuối cùng mới được chẩn đoán là bị một loại ung thư trẻ em hiếm gặp, nhưng mọi chuyện đã quá muộn.
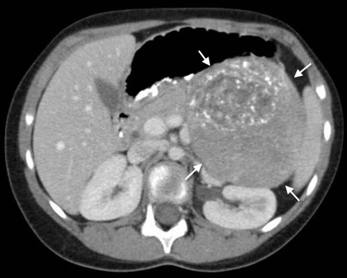
Daniel Carter, hiện sống ở Hull đã nhăn nhó vì đau bụng trong hàng tháng trời nhưng các bác sĩ ở bệnh viện Calpol chỉ cho rằng cậu bé bị táo bón. Chỉ khi thấy con mình nằm bất tỉnh trên sàn nhà, gia đình mới vội vã đưa bé đi cấp cứu. Kết quả chụp cắt lớp cho thấy cậu bé bị một khối u ác tính.
Daniel Carter, hiện sống ở Hull đã nhăn nhó vì đau bụng trong hàng tháng trời nhưng các bác sĩ ở bệnh viện Calpol chỉ cho rằng cậu bé bị táo bón. Chỉ khi thấy con mình nằm bất tỉnh trên sàn nhà, gia đình mới vội vã đưa bé đi cấp cứu. Kết quả chụp cắt lớp cho thấy cậu bé bị một khối u ác tính.
Ca phẫu thuật kéo dài 4 tiếng nhưng chỉ loại bỏ được một phần khối u. Đây là u nguyên bào thần kinh, ban đầu xuất phát từ vùng ngực nhưng sau di căn xuống đến xương sống. Vì vậy, ca phẫu thuật cắt bỏ khối u đã làm ảnh hưởng đến cột sống khiến cậu bé không đi được và phải ngồi xe lăn.
Ca phẫu thuật kéo dài 4 tiếng nhưng chỉ loại bỏ được một phần khối u. Đây là u nguyên bào thần kinh, ban đầu xuất phát từ vùng ngực nhưng sau di căn xuống đến xương sống. Vì vậy, ca phẫu thuật cắt bỏ khối u đã làm ảnh hưởng đến cột sống khiến cậu bé không đi được và phải ngồi xe lăn.
Còn quá nhỏ để hiểu chuyện gì đang xảy ra, bé Daniel luôn tươi cười. Gia đình chỉ nói được với cậu bé là bé đang bị ốm rất nặng nhưng bé cũng không thắc mắc gì thêm. Hiện bé đang được ổn định sức khỏe để tiếp tục phẫu thuật lần tiếp theo kéo dài tới 10 tiếng.
Còn quá nhỏ để hiểu chuyện gì đang xảy ra, bé Daniel luôn tươi cười. Gia đình chỉ nói được với cậu bé là bé đang bị ốm rất nặng nhưng bé cũng không thắc mắc gì thêm. Hiện bé đang được ổn định sức khỏe để tiếp tục phẫu thuật lần tiếp theo kéo dài tới 10 tiếng.
U nguyên bào thần kinh là một dạng ung thư hiếm gặp ở trẻ em, thường xuất hiện ở một trong hai tuyến thượng thận trong bụng hoặc trong các tế bào thần kinh chạy dọc theo xương sống. Ung thư có thể di căn đến các tế bào xung quanh như tủy, xương, bạch huyết, gan và da. Bệnh thường được phát hiện ở trẻ nhỏ dưới 5 tuổi nhưng phần lớn đều không xác định được nguyên nhân.
U nguyên bào thần kinh là một dạng ung thư hiếm gặp ở trẻ em, thường xuất hiện ở một trong hai tuyến thượng thận trong bụng hoặc trong các tế bào thần kinh chạy dọc theo xương sống. Ung thư có thể di căn đến các tế bào xung quanh như tủy, xương, bạch huyết, gan và da. Bệnh thường được phát hiện ở trẻ nhỏ dưới 5 tuổi nhưng phần lớn đều không xác định được nguyên nhân.

GALLERY MỚI NHẤT

Fallout 3 Remastered lộ diện bất ngờ

Fallout 3 Remastered lộ diện bất ngờ

Danh sách đồ chơi McFarlane bất ngờ hé lộ Fallout 3 Remastered, khiến cộng đồng game thủ tin rằng ngày ra mắt chính thức của siêu phẩm này không còn xa.

Apple tính biến Siri thành chatbot AI

Apple tính biến Siri thành chatbot AI

Apple được cho là sẽ nâng cấp Siri thành chatbot thông minh, mở ra cơ hội định hình lại cách người dùng tương tác với iPhone trong tương lai.

Bảng màu Thời kỳ Đồ Đá Mới

Bảng màu Thời kỳ Đồ Đá Mới

Gần đây, tại địa điểm khảo cổ làng Sơn Tây (Trung Quốc), có một số phát hiện mới bao gồm cả bảng pha màu Thời kỳ Đồ Đá Mới, tiết lộ nhiều sự thật thú vị.