Điều bất ngờ về bệnh lao có thể bạn chưa biết

Điều bất ngờ về bệnh lao có thể bạn chưa biết

(Kiến Thức) - Bệnh lao có thể ảnh hưởng đến mọi bộ phận của cơ thể, nhưng thường tấn công phổi nhiều nhất. Mỗi năm, có hàng triệu người bị đau ốm hoặc chết do bệnh lao.

1. Bệnh lao là một bệnh truyền nhiễm gây ra bởi vi khuẩn Mycobacterium tuberculosis. Căn bệnh chủ yếu ảnh hưởng đến phổi nhưng các bộ phận khác của cơ thể cũng có thể bị tấn công. Ảnh: Webmd.
1. Bệnh lao là một bệnh truyền nhiễm gây ra bởi vi khuẩn Mycobacterium tuberculosis. Căn bệnh chủ yếu ảnh hưởng đến phổi nhưng các bộ phận khác của cơ thể cũng có thể bị tấn công. Ảnh: Webmd.
2. Hầu hết các nhiễm trùng không gây ra bất kỳ triệu chứng nào. Đây được gọi là bệnh lao tiềm ẩn. Ảnh: Webmd.
2. Hầu hết các nhiễm trùng không gây ra bất kỳ triệu chứng nào. Đây được gọi là bệnh lao tiềm ẩn. Ảnh: Webmd.
3. Một khi người bệnh lao đã phát triển các triệu chứng tích cực, không điều trị, chỉ còn khoảng 50% cơ hội sống sót. Ảnh: Mayoclinic.
3. Một khi người bệnh lao đã phát triển các triệu chứng tích cực, không điều trị, chỉ còn khoảng 50% cơ hội sống sót. Ảnh: Mayoclinic.
4. Các triệu chứng cơ bản của bệnh lao là ho máu, sốt và giảm cân. Một khi các cơ quan khác bị ảnh hưởng, các triệu chứng bổ sung sẽ phát sinh. Ảnh: Webmd.
4. Các triệu chứng cơ bản của bệnh lao là ho máu, sốt và giảm cân. Một khi các cơ quan khác bị ảnh hưởng, các triệu chứng bổ sung sẽ phát sinh. Ảnh: Webmd.
5. Bệnh lao lây lan khi người bệnh ho hoặc hắt hơi. Những người bị bệnh lao tiềm ẩn không thể lây lan bệnh. Ảnh: Mayoclinic.
5. Bệnh lao lây lan khi người bệnh ho hoặc hắt hơi. Những người bị bệnh lao tiềm ẩn không thể lây lan bệnh. Ảnh: Mayoclinic.
6. Người nhiễm HIV hoặc AIDS, cũng như người hút thuốc, có thể mắc bệnh lao dễ dàng hơn. Trên thực tế, bệnh lao là nguyên nhân gây tử vong hàng đầu trong số những người có HIV. Ảnh: CDC.
6. Người nhiễm HIV hoặc AIDS, cũng như người hút thuốc, có thể mắc bệnh lao dễ dàng hơn. Trên thực tế, bệnh lao là nguyên nhân gây tử vong hàng đầu trong số những người có HIV. Ảnh: CDC.
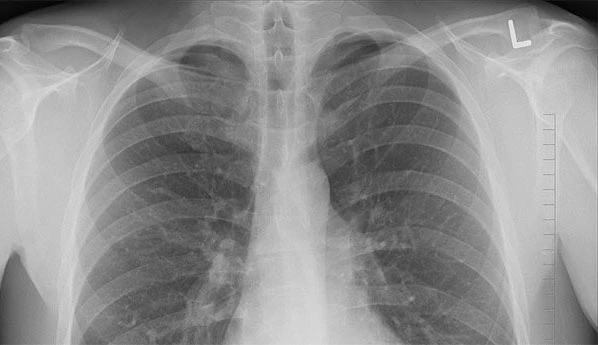
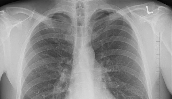
7. Cách phổ biến nhất để chẩn đoán bệnh lao là chụp X-quang ngực nhưng cũng có thể làm xét nghiệm máu. Ảnh: CDC.
7. Cách phổ biến nhất để chẩn đoán bệnh lao là chụp X-quang ngực nhưng cũng có thể làm xét nghiệm máu. Ảnh: CDC.
8. Điều trị bệnh lao phải dùng nhiều kháng sinh trong một thời gian dài. Ảnh: Mayoclinic.
8. Điều trị bệnh lao phải dùng nhiều kháng sinh trong một thời gian dài. Ảnh: Mayoclinic.
9. Do kháng thuốc kháng sinh ngày càng nhiều trên khắp thế giới, tỷ lệ nhiều bệnh lao kháng thuốc (MDR-TB) cũng đang gia tăng. Ảnh: WHO.
9. Do kháng thuốc kháng sinh ngày càng nhiều trên khắp thế giới, tỷ lệ nhiều bệnh lao kháng thuốc (MDR-TB) cũng đang gia tăng. Ảnh: WHO.
10. Theo thống kê, có tới gần 1 trong số 3 người trên thế giới bị nhiễm một số loại bệnh lao. Phần lớn những trường hợp đó là tiềm ẩn, có nghĩa là không có triệu chứng. Ảnh: Mayoclinic.
10. Theo thống kê, có tới gần 1 trong số 3 người trên thế giới bị nhiễm một số loại bệnh lao. Phần lớn những trường hợp đó là tiềm ẩn, có nghĩa là không có triệu chứng. Ảnh: Mayoclinic.
11. 95% số ca tử vong vì bệnh lao xảy ra ở các nước đang phát triển. Ảnh: WHO.
11. 95% số ca tử vong vì bệnh lao xảy ra ở các nước đang phát triển. Ảnh: WHO.
12. Căn bệnh này được xác định lần đầu tiên vào năm 1882 bởi bác sĩ người Đức Robert Koch. Ảnh: history.
12. Căn bệnh này được xác định lần đầu tiên vào năm 1882 bởi bác sĩ người Đức Robert Koch. Ảnh: history.
13. Bệnh lao từng có tỷ lệ tử vong gần 100%. Thậm chí với tỷ lệ phần trăm người bệnh tử vong vì lao đã giảm nhờ kháng sinh và văcxin, vẫn có khoảng 2 triệu người chết vì bệnh lao mỗi năm. Ảnh: WHO.
13. Bệnh lao từng có tỷ lệ tử vong gần 100%. Thậm chí với tỷ lệ phần trăm người bệnh tử vong vì lao đã giảm nhờ kháng sinh và văcxin, vẫn có khoảng 2 triệu người chết vì bệnh lao mỗi năm. Ảnh: WHO.
14. Hai kháng sinh chữa lao hiệu quả nhất là isoniazid và rifampsicin. Như đã đề cập, bệnh lao đang dần dần trở nên miễn dịch với các loại thuốc kháng sinh. Ảnh: Mayoclinic.
14. Hai kháng sinh chữa lao hiệu quả nhất là isoniazid và rifampsicin. Như đã đề cập, bệnh lao đang dần dần trở nên miễn dịch với các loại thuốc kháng sinh. Ảnh: Mayoclinic.
15. Khi bệnh trở nên đề kháng với thuốc dự phòng, được gọi là XDR-TB, hoặc lao kháng thuốc rộng rãi. Tại thời điểm này, các lựa chọn điều trị còn hạn chế. Ảnh: CDC.
15. Khi bệnh trở nên đề kháng với thuốc dự phòng, được gọi là XDR-TB, hoặc lao kháng thuốc rộng rãi. Tại thời điểm này, các lựa chọn điều trị còn hạn chế. Ảnh: CDC.

GALLERY MỚI NHẤT

Hàng nghìn người hưởng ứng “Hành động Xanh - Chọn tương lai Xanh”

Hàng nghìn người hưởng ứng “Hành động Xanh - Chọn tương lai Xanh”

Sáng 4/4, hàng nghìn người dân và thanh niên trên khắp cả nước cùng tham gia hoạt động dọn dẹp vệ sinh khu phố và thu gom đồ dùng cũ, hưởng ứng lời kêu gọi “Hành động Xanh - Chọn tương lai Xanh” do Quỹ Vì Tương lai xanh do Tập đoàn Vingroup phát động. Đây là một trong những hoạt động tiêu biểu mở màn cho chuỗi chiến dịch “Thứ 4 Ngày Xanh” được Quỹ triển khai xuyên suốt năm 2026 với thông điệp “Hành động Xanh - Chọn tương lai Xanh”.