Di chứng bệnh viêm màng não ở bé bị đâm xuyên sọ

Di chứng bệnh viêm màng não ở bé bị đâm xuyên sọ

(Kiến Thức) - Bé trai bị viêm màng não mủ do bị đâm xuyên sọ có thể phải hứng chịu một số di chứng như mắt lé, giảm thính lực, yếu chân tay, não úng thủy. 

 Viêm màng não mủ có thể để lại những di chứng nặng. Tuy nhiên không phải bé nào bị bệnh cũng sẽ bị di chứng. Khoảng 9% trẻ bị biến chứng có những vấn đề về nhân cách. 28% giảm hoặc mất thính lực, mù, rối loạn về nói, động kinh, chậm phát triển tinh thần vận động. 13% có di chứng mức độ nhẹ hơn.
Viêm màng não mủ có thể để lại những di chứng nặng. Tuy nhiên không phải bé nào bị bệnh cũng sẽ bị di chứng. Khoảng 9% trẻ bị biến chứng có những vấn đề về nhân cách. 28% giảm hoặc mất thính lực, mù, rối loạn về nói, động kinh, chậm phát triển tinh thần vận động. 13% có di chứng mức độ nhẹ hơn.
Điếc hoặc giảm thính lực là di chứng thường gặp. Các biến chứng rối loạn nhân cách và thần kinh là chậm phát triển tinh thần, vận động, chậm phát triển ngôn ngữ, rối loạn hành vi, động kinh, đần độn kèm theo tăng trương lực cơ, xoắn vặn kiểu tổn thương ngoại tháp.
Điếc hoặc giảm thính lực là di chứng thường gặp. Các biến chứng rối loạn nhân cách và thần kinh là chậm phát triển tinh thần, vận động, chậm phát triển ngôn ngữ, rối loạn hành vi, động kinh, đần độn kèm theo tăng trương lực cơ, xoắn vặn kiểu tổn thương ngoại tháp.
Thông thường, trẻ bị viêm màng não nặng sẽ để lại một số di chứng như mắt lé, giảm thính lực, yếu chân tay, não úng thủy. Với bệnh nhi từng có tổn thương ở não thường có khả năng viêm màng não mủ tái phát ở mức cao. Cụ thể, các biến chứng dưới đây thường xuất hiện sau 2 tuần mắc viêm màng não mủ:
Thông thường, trẻ bị viêm màng não nặng sẽ để lại một số di chứng như mắt lé, giảm thính lực, yếu chân tay, não úng thủy. Với bệnh nhi từng có tổn thương ở não thường có khả năng viêm màng não mủ tái phát ở mức cao. Cụ thể, các biến chứng dưới đây thường xuất hiện sau 2 tuần mắc viêm màng não mủ:
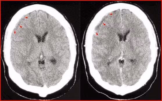
Tràn dịch dưới màng cứng. Hay gặp ở trẻ nhỏ và bú mẹ, đặc biệt trong trường hợp H.influenzae và phế cầu. Nghi ngờ khi sốt kéo dài, tái phát, ngủ lịm, hôn mê, co giật khu trú, vòng đầu tăng. Chẩn đoán nhờ siêu âm và scanner.
Tràn dịch dưới màng cứng. Hay gặp ở trẻ nhỏ và bú mẹ, đặc biệt trong trường hợp H.influenzae và phế cầu. Nghi ngờ khi sốt kéo dài, tái phát, ngủ lịm, hôn mê, co giật khu trú, vòng đầu tăng. Chẩn đoán nhờ siêu âm và scanner.
Tụ mủ dưới màng cứng. Gặp trong viêm màng não mủ thứ phát sau viêm tai giữa, sau viêm tai xương chũm. Lâm sàng như tràn dịch dưới màng cứng nhưng sốt cao dao động. Xử trí bằng dẫn lưu, kháng sinh.
Tụ mủ dưới màng cứng. Gặp trong viêm màng não mủ thứ phát sau viêm tai giữa, sau viêm tai xương chũm. Lâm sàng như tràn dịch dưới màng cứng nhưng sốt cao dao động. Xử trí bằng dẫn lưu, kháng sinh.
Áp-xe não. Là những ổ nhiểm khuẩn khu trú trong nhu mô não gây mủ. Thường áp-xe não gây viêm màng não mủ. Áp-xe não gây tỷ lệ tử vong rất cao và biến chứng nặng nề. Chẩn đoán như lâm sàng tràn dịch dưới màng cứng nhờ siêu âm và scanner. Điều trị bằng cách dẫn lưu mủ, bóc tách và kháng sinh.
Áp-xe não. Là những ổ nhiểm khuẩn khu trú trong nhu mô não gây mủ. Thường áp-xe não gây viêm màng não mủ. Áp-xe não gây tỷ lệ tử vong rất cao và biến chứng nặng nề. Chẩn đoán như lâm sàng tràn dịch dưới màng cứng nhờ siêu âm và scanner. Điều trị bằng cách dẫn lưu mủ, bóc tách và kháng sinh.
Viêm não thất. Thường gặp ở trẻ sơ sinh, bệnh khiến trẻ rối loạn ý thức, protein tăng cao, sốt hoặc không, dãn vòng đầu, dãn khớp sọ. Chẩn đoán dựa vào siêu âm và chọc dò não thất . Điều trị bằng chọc hút và kháng sinh tại chổ.
Viêm não thất. Thường gặp ở trẻ sơ sinh, bệnh khiến trẻ rối loạn ý thức, protein tăng cao, sốt hoặc không, dãn vòng đầu, dãn khớp sọ. Chẩn đoán dựa vào siêu âm và chọc dò não thất . Điều trị bằng chọc hút và kháng sinh tại chổ.
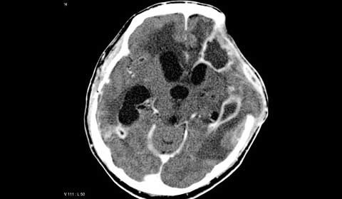
Não úng thủy. Là tình trạng dư thừa một loại chất lỏng trong não với biểu hiện nổi tĩnh mạch da, dãn khớp sọ, tăng vòng đầu. Hậu quả nặng nề của bệnh là trẻ có thể bị mù, điếc, liệt, tâm thần, động kinh nếu không được điều trị tích cực. Chẩn đoán nhờ siêu âm. Điều trị bằng tạo cầu nối có van áp lực.
Não úng thủy. Là tình trạng dư thừa một loại chất lỏng trong não với biểu hiện nổi tĩnh mạch da, dãn khớp sọ, tăng vòng đầu. Hậu quả nặng nề của bệnh là trẻ có thể bị mù, điếc, liệt, tâm thần, động kinh nếu không được điều trị tích cực. Chẩn đoán nhờ siêu âm. Điều trị bằng tạo cầu nối có van áp lực.

GALLERY MỚI NHẤT

Hàng nghìn người hưởng ứng “Hành động Xanh - Chọn tương lai Xanh”

Hàng nghìn người hưởng ứng “Hành động Xanh - Chọn tương lai Xanh”

Sáng 4/4, hàng nghìn người dân và thanh niên trên khắp cả nước cùng tham gia hoạt động dọn dẹp vệ sinh khu phố và thu gom đồ dùng cũ, hưởng ứng lời kêu gọi “Hành động Xanh - Chọn tương lai Xanh” do Quỹ Vì Tương lai xanh do Tập đoàn Vingroup phát động. Đây là một trong những hoạt động tiêu biểu mở màn cho chuỗi chiến dịch “Thứ 4 Ngày Xanh” được Quỹ triển khai xuyên suốt năm 2026 với thông điệp “Hành động Xanh - Chọn tương lai Xanh”.