Dấu hiệu 5 loại ung thư nguy hiểm nhất ở trẻ

Dấu hiệu 5 loại ung thư nguy hiểm nhất ở trẻ

(Kiến Thức) - Trong số các bệnh, ung thư bạch cầu lympho ác tính, não, u nguyên bào thần kinh… được đánh giá là loại ung thư nguy hiểm nhất ở trẻ.

 Ung thư bạch cầu Lympho ác tính (ALL). Là loại ung thư máu ảnh hưởng đến tế bào bạch cầu chưa trưởng thành từ tủy xương. Các tế bào chưa trưởng thành nhân lên một cách nhanh chóng, khó kiểm soát rồi dần chiếm đầy tủy xương, gây cản trở việc sản xuất tế bào máu bình thường.
Ung thư bạch cầu Lympho ác tính (ALL). Là loại ung thư máu ảnh hưởng đến tế bào bạch cầu chưa trưởng thành từ tủy xương. Các tế bào chưa trưởng thành nhân lên một cách nhanh chóng, khó kiểm soát rồi dần chiếm đầy tủy xương, gây cản trở việc sản xuất tế bào máu bình thường.

 Ung thư bạch cầu Lympho ác tính chiếm khoảng 34% các ca ung thư được phát hiện ở trẻ. Bệnh thường tấn công các bé chừng 2 – 4 tuổi; trai nhiều hơn gái.
Ung thư bạch cầu Lympho ác tính chiếm khoảng 34% các ca ung thư được phát hiện ở trẻ. Bệnh thường tấn công các bé chừng 2 – 4 tuổi; trai nhiều hơn gái.


 Khi mắc, bệnh nhân có triệu chứng đau nhức xương, mệt mỏi, yếu ớt, sốt, giảm cân, dễ chảy máu do cơ thể không sản xuất đủ các tế bào hồng cầu, tế bào bạch cầu và các tiểu cầu.
Khi mắc, bệnh nhân có triệu chứng đau nhức xương, mệt mỏi, yếu ớt, sốt, giảm cân, dễ chảy máu do cơ thể không sản xuất đủ các tế bào hồng cầu, tế bào bạch cầu và các tiểu cầu.


 Ung thư não. Bệnh chiếm khoảng 27% trường hợp ung thư ở trẻ. Người mắc ung thư não thường xuất hiện các dấu hiệu như nhức đầu, chóng mặt, mất khả năng tự thăng bằng, có vấn đề về thị lực, nghe, nói, cảm giác buồn nôn xuất hiện thường trực.
Ung thư não. Bệnh chiếm khoảng 27% trường hợp ung thư ở trẻ. Người mắc ung thư não thường xuất hiện các dấu hiệu như nhức đầu, chóng mặt, mất khả năng tự thăng bằng, có vấn đề về thị lực, nghe, nói, cảm giác buồn nôn xuất hiện thường trực.

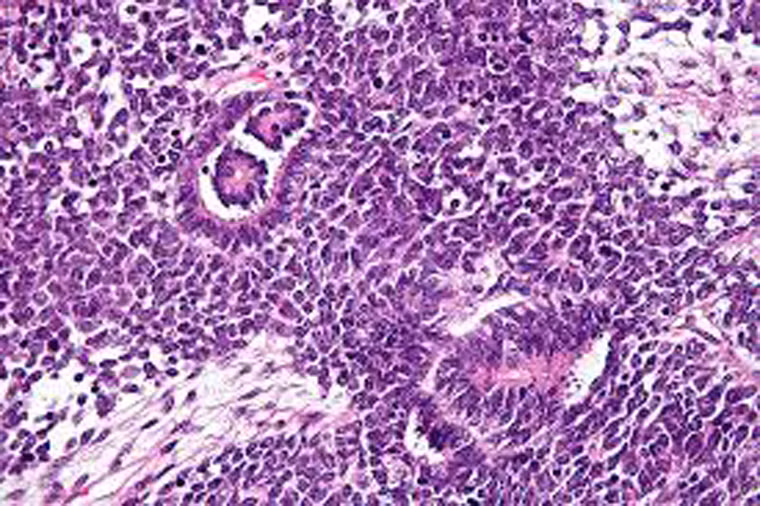
 U nguyên bào thần kinh. U nguyên bào thần kinh là loại ung thư phát triển từ các tế bào thần kinh được tìm thấy trong một số khu vực của cơ thể. U nguyên bào thần kinh phổ biến nhất phát sinh trong và xung quanh tuyến thượng thận, có nguồn gốc tương tự như tế bào thần kinh và ngồi trên đỉnh thận. Đôi khi, u nguyên bào thần kinh phát triển ở vùng bụng, cổ, ngực và xương chậu.
U nguyên bào thần kinh. U nguyên bào thần kinh là loại ung thư phát triển từ các tế bào thần kinh được tìm thấy trong một số khu vực của cơ thể. U nguyên bào thần kinh phổ biến nhất phát sinh trong và xung quanh tuyến thượng thận, có nguồn gốc tương tự như tế bào thần kinh và ngồi trên đỉnh thận. Đôi khi, u nguyên bào thần kinh phát triển ở vùng bụng, cổ, ngực và xương chậu.


 U nguyên bào thần kinh chủ yếu được chẩn đoán ở trẻ dưới 5 tuổi; xuất hiện nhiều ở bé trai. Đặc biệt, chỉ 1 – 2% trường hợp trẻ có tiền sử người thân từng mắc bệnh.
U nguyên bào thần kinh chủ yếu được chẩn đoán ở trẻ dưới 5 tuổi; xuất hiện nhiều ở bé trai. Đặc biệt, chỉ 1 – 2% trường hợp trẻ có tiền sử người thân từng mắc bệnh.

 Nhìn chung, trẻ mắc u nguyên bào thần kinh có thể đối diện với nguy cơ giảm khả năng đi lại, sự thay đổi bất thường ở mắt (phồng, thâm quầng, mí mắt rũ), đau nhức thường xuyên, tiêu chảy và cao huyết áp.
Nhìn chung, trẻ mắc u nguyên bào thần kinh có thể đối diện với nguy cơ giảm khả năng đi lại, sự thay đổi bất thường ở mắt (phồng, thâm quầng, mí mắt rũ), đau nhức thường xuyên, tiêu chảy và cao huyết áp.


 Khối u Wilms. Khối u Wilms là một dạng ung thư thận hiếm, chủ yếu ảnh hưởng ở trẻ em. Bệnh thường được chẩn đoán ở trẻ em từ 3 – 4 tuổi.
Khối u Wilms. Khối u Wilms là một dạng ung thư thận hiếm, chủ yếu ảnh hưởng ở trẻ em. Bệnh thường được chẩn đoán ở trẻ em từ 3 – 4 tuổi.


 Khối u Wilms chiếm khoảng 5% ca ung thư trẻ em được phát hiện. Ước tính, tại Mỹ mỗi năm có thêm 500 trường hợp mắc mới. May mắn thay, 9/10 ca được phát hiện có cơ hội điều trị thành công.
Khối u Wilms chiếm khoảng 5% ca ung thư trẻ em được phát hiện. Ước tính, tại Mỹ mỗi năm có thêm 500 trường hợp mắc mới. May mắn thay, 9/10 ca được phát hiện có cơ hội điều trị thành công.
 Đối diện với căn bệnh này, trẻ có dấu hiệu sưng, xuất hiện khối u trong bụng, sốt, đau, buồn nôn và chán ăn.
Đối diện với căn bệnh này, trẻ có dấu hiệu sưng, xuất hiện khối u trong bụng, sốt, đau, buồn nôn và chán ăn.

 U lympho hodgkin. Ung thư hạch hodgkin là một dạng ung thư của hệ bạch huyết. Khi mắc, cơ thể bệnh nhân dễ xuất hiện các khối sưng không đau, nổi hạch ở cổ, nách hoặc háng, mệt mỏi dai dẳng, sốt, đổ mồ hôi đêm, giảm cân không rõ nguyên nhân, ho – khó thở, chán ăn và cảm giác ngứa ngáy.
U lympho hodgkin. Ung thư hạch hodgkin là một dạng ung thư của hệ bạch huyết. Khi mắc, cơ thể bệnh nhân dễ xuất hiện các khối sưng không đau, nổi hạch ở cổ, nách hoặc háng, mệt mỏi dai dẳng, sốt, đổ mồ hôi đêm, giảm cân không rõ nguyên nhân, ho – khó thở, chán ăn và cảm giác ngứa ngáy.

GALLERY MỚI NHẤT

Fallout 3 Remastered lộ diện bất ngờ

Fallout 3 Remastered lộ diện bất ngờ

Danh sách đồ chơi McFarlane bất ngờ hé lộ Fallout 3 Remastered, khiến cộng đồng game thủ tin rằng ngày ra mắt chính thức của siêu phẩm này không còn xa.

Apple tính biến Siri thành chatbot AI

Apple tính biến Siri thành chatbot AI

Apple được cho là sẽ nâng cấp Siri thành chatbot thông minh, mở ra cơ hội định hình lại cách người dùng tương tác với iPhone trong tương lai.

Bảng màu Thời kỳ Đồ Đá Mới

Bảng màu Thời kỳ Đồ Đá Mới

Gần đây, tại địa điểm khảo cổ làng Sơn Tây (Trung Quốc), có một số phát hiện mới bao gồm cả bảng pha màu Thời kỳ Đồ Đá Mới, tiết lộ nhiều sự thật thú vị.