Không cấp cứu kịp thời rất nguy hiểm đến tính mạng
Thông tin từ khoa Hồi Sức Cấp Cứu Bệnh viện đa khoa huyện Mê Linh cho hay, bệnh viện vừa dùng thủ thuật mở khí quản cho bệnh nhân bị bệnh xuất huyết não thành công.
Đó trường hợp bệnh nhân Nguyễn Văn Giản, 83 tuổi (Thanh Lâm – Mê Linh) nhập viện với tình trạng hôn mê, không ý thức được và bị tăng huyết áp nhiều năm. Sau khi nhập viện, các bác sĩ bệnh viện chẩn đoán tình trạng bệnh nhân bị xuất huyết não, xử trí đặt ống nội khí quản.
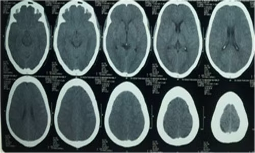
Theo các bác sĩ Bệnh viện đa khoa huyện Mê Linh, 1ua quá trình điều trị và làm các xét nghiệ : Chụp cắt lớp vi tính, sọ không tiêm thuốc cản quang, độ dày lát cắt 4mm tầng dưới lều và 8 mm tầng trên lều. Siêu âm ổ bụng gan, mật tụy, lách, thận, bang quang. Bệnh viện đã tiến hành mở khí quản cho bệnh nhân tại khoa Hồi sức cấp cứu.
Sau 2 ngày phẫu thuật, hiện tại tình trạng bệnh nhân đã ổn định. Bệnh nhân vẫn được theo dõi tích cực. Cấp cứu bệnh nhân mất ý thức và có tiền sử tăng huyết áp lâu năm rất khó khăn trong việc tiên lượng và điều trị..
Theo các bác sĩ của bệnh viện, xuất huyết não xảy ra khi một mạch máu trong não bị vỡ khiến máu chảy vào các nhu mô não. Đây cũng là nguyên nhân gây đột quỵ cao nhất và thường xảy ra ở người cao tuổi, nguy cơ tử vong cao nếu không cấp cứu kịp thời rất nguy hiểm đến tính mạng.
![]() |
| Các bác sĩ dùng thủ thuật mở khí quản cấp cứu bệnh nhân. |
Khi thấy các cơn đau đầu bất thường đi kiểm tra
Đặc biệt ở người già có tiền sử tăng huyết áp khi thấy dấu hiệu các cơn đau đầu bất thường, đi kèm với các cơn đau đầu là hội chứng buồn nôn, nôn mửa, co giật, chóng mặt, ù tai, không đứng vững, mắt mờ, người nói lắp và mất khả năng vận động hoặc mất ý thức. Một số trường hợp còn xuất hiện các biểu hiện như tăng tiết đờm và mồ hôi, nhịp thở không đều, nhịp tim bị rối loạn và huyết áp, sốt cao nên đi khám đó một trong những dấu hiệu xuất huyết não.
Vì bệnh khởi phát rất đột ngột và dữ dội, có thể xuất hiện trong lúc làm việc, sinh hoạt, ngay trong giấc ngủ hay vừa thức dậy nên rất khó phát hiện. Khi động mạch não bị vỡ, máu bị đẩy ra mô não ở xung quanh và động cục thành máu tụ gây chèn ép \ những vùng não lân cận, làm hoại tử hoặc thiếu máu bộ cực kỳ nguy hiểm.
Có rất nhiều nguyên nhân gây nên xuất huyết nào ở người cao tuổi nhưng đặc biệt do bị tăng huyết áp chiếm 50 – 60 %. Đây là nguyên nhân chính dẫn đến chảy máu não ở người cao tuổi. Khi bị cao huyết áp, thành tiểu động mạch giảm tính đàn hồi, thành ống trở nên mỏng và phình to ra dẫn đến hình thành khối u tại vi động mạch. Khi đó, khối u sẽ vỡ ra gây xuất huyết não. Ngay cả việc huyết áp tăng nhẹ cũng có thể là nguy cơ gây chảy máu não nếu không điều trị kịp thời.
Để phòng tránh bệnh xuất huyết não đặc biệt hiện nay khi tiết rét đậm, người già có tiền sử bị bệnh cao huyết áp hoặc những người tuy chưa được chẩn đoán là bị cao huyết áp, nhưng có những triệu chứng đau đầu, chóng mặt hoặc có người nhà bị bệnh cao huyết áp cần chú ý thường xuyên kiểm tra đo huyết áp và kiểm tra sức khỏe định kỳ. Duy trì chế độ sinh hoạt khoa học phù hợp.


