Mới đây, tại Trung Quốc đã xảy ra sự việc khó tin. Một chàng trai vì không cẩn thận khi dùng đồ uống lạnh đã suýt chút nữa mất luôn cả bàn tay của mình.
![]() |
Cụ thể, vào trước khi ăn cơm tối ngày 29/7, anh Tiểu Viên Hòa đột nhiên muốn uống đồ lạnh.
Mời quý vị xem video: Cô gái rút 6 xương sườn để có vòng eo con kiến
Như thường ngày, anh Hòa mở tủ lạnh và lấy ra một lon Coca để uống. Tuy nhiên trong lúc lấy đồ, anh không cẩn thận đánh rơi lon Coca xuống đất.
![]() |
Phản ứng ngay tức thì của anh Hòa là cúi xuống, nhặt lon Coca và bật nắp để uống. Chẳng ngờ, khi vừa bật nắp, lon nước ngọt đột nhiên nổ tung, khiến tay trái anh Hòa bị thương đầy đau đớn.
![]() |
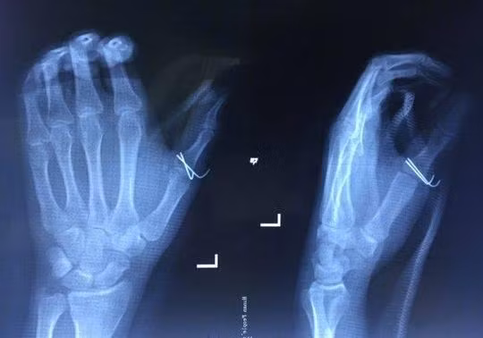
Ngay sau đó, anh Hòa đến bệnh viện để cấp cứu và được các bác sĩ cho biết, vết thương của anh tương đối nặng, rách, thủng khoảng 7cm ở miệng bàn tay trái, buộc phải khâu lại và băng bó điều trị.
Sau sự việc, các chuyên gia khuyên rằng, khi cất giữ đồ uống vào mùa hè, hãy cẩn thận với bia và các đồ uống có gas, không nên để chúng trong nhiệt độ quá lạnh, hoặc an toàn nhất là không để trong tủ lạnh.
![]() |
Nếu như vẫn muốn uống lạnh, hãy đem ướp đá trước khi uống hoặc trực tiếp thêm đá vào đồ uống, như vậy vẫn mát mẻ, ngon lành mà lại an toàn.



