Bệnh truyền nhiễm gây tử vong nhiều nhất thế giới

Bệnh lao đeo bám người mắc suốt cả đời, khiến họ phải uống nhiều loại thuốc và chịu đau đớn về thể xác lẫn tinh thần.

Benh truyen nhiem gay tu vong nhieu nhat the gioi

Bác sĩ khám cho bệnh nhân bị lao tại một bệnh viện ở Ấn Độ. Ảnh: Associated Press.

Theo ông Mel Spigelman, Chủ tịch Liên minh Bệnh Lao, lao (TB) là bệnh truyền nhiễm gây tử vong nhiều nhất thế giới. Khi Covid-19 xuất hiện, chúng ta tập trung tiêu diệt đại dịch nhưng đó cũng là lúc bệnh lao âm thầm gây nên những nỗi ám ảnh trong nhóm yếu thế.

Mỗi năm, 1,5 triệu người tử vong vì căn bệnh này, tương đương 4.109 người/ngày.

Bệnh lao là gì?

Theo Mayo Clinic, bệnh lao (TB) là bệnh truyền nhiễm nguy hiểm có khả năng ảnh hưởng chủ yếu đến phổi. Vi khuẩn gây bệnh lao lây từ người này sang người khác thông qua các hạt nhỏ li ti phát tán vào không khí khi ho và hắt hơi.

Lao từng là bệnh hiếm gặp ở các nước phát triển. Song, từ năm 1985, số ca mắc bệnh lao bắt đầu gia tăng, một phần là do sự xuất hiện của HIV. HIV làm suy yếu hệ thống miễn dịch, khiến bệnh nhân không thể chống lại vi trùng cao.

Tại Mỹ, nhờ các chương trình kiểm soát mạnh mẽ hơn, từ 1993, bệnh lao bắt đầu giảm nhưng nó vẫn là một mối quan tâm.

Nhiều chủng vi khuẩn lao kháng lại các loại thuốc dùng để trị bệnh. Những người mắc bệnh lao thể hoạt động phải dùng nhiều loại thuốc trong nhiều tháng để thoát khỏi tình trạng nhiễm trùng và ngăn ngừa tình trạng kháng thuốc kháng sinh.

Triệu chứng

Cơ thể có thể chứa vi khuẩn gây bệnh lao nhưng hệ thống miễn dịch thường có thể ngăn ngừa chúng ta biểu hiện bệnh. Do đó, bác sĩ thường phân biệt lao thành hai thể:

  • Lao tiềm ẩn: Đây là tình trạng bạn bị nhiễm vi khuẩn nhưng nó tồn tại trong cơ thể dưới dạng hoạt động và không gây ra triệu chứng. Bệnh lao tiềm ẩn hay bệnh lao không hoạt động không lây nhiễm. Lao tiềm ẩn có thể chuyển thành lao hoạt động. Vì vậy, việc điều trị rất quan trọng.
  • Lao hoạt động: Khiến người bệnh bị ốm, trong hầu hết trường hợp còn có thể lây cho người khác. Triệu chứng có thể xuất hiện sau vài tuần hoặc vài năm nhiễm vi khuẩn lao.
  • Các dấu hiệu và triệu chứng của bệnh lao thể hoạt động gồm: Ho từ 3 tuần trở lên, ho ra máu hoặc chất nhầy, đau ngực hoặc đau khi thở hoặc ho, giảm cân không lý do, mệt mỏi, sốt, đổ mồ hôi trộm, ớn lạnh, ăn không ngon...

    Bệnh lao cũng có thể ảnh hưởng đến các bộ phận khác của cơ thể như thận, cột sống hoặc não. Khi bệnh lao xuất hiện bên ngoài phổi, các dấu hiệu và triệu chứng sẽ khác nhau tùy theo cơ quan liên quan. Ví dụ, bệnh lao cột sống có thể gây đau lưng và bệnh lao ở thận có thể gây tiểu ra máu.

    Trung tâm Kiểm soát và Phòng ngừa Dịch bệnh Mỹ (CDC) khuyến cáo những người có nguy cơ cao mắc bệnh lao nên được sàng lọc để phát hiện nhiễm lao tiềm ẩn: Người bị HIV/AIDS, tiếp xúc với người nhiễm bệnh, ở quốc gia có bệnh lao phổ biến (một số nước ở châu Mỹ Latin, châu Phi, châu Á), sống hoặc làm việc ở các khu vực bệnh lao phổ biến như nhà tù hoặc viện dưỡng lão...

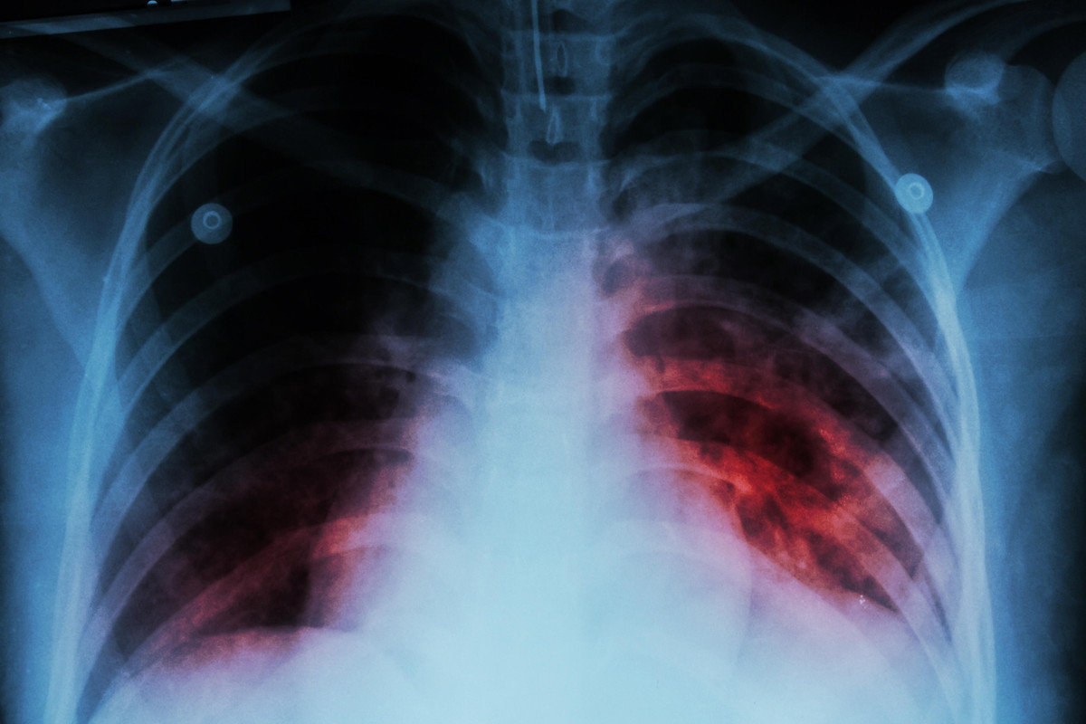
    Benh truyen nhiem gay tu vong nhieu nhat the gioi-Hinh-2

    Lao là bệnh do vi khuẩn gây ra, ảnh hưởng chủ yếu đến phổi. Ảnh: iStock.

    Lao kháng thuốc

    Bệnh lao được gọi là "kẻ giết người" nhiều nhất thế giới, một phần vì tình trạng lao kháng thuốc ngày càng nhiều. Theo thời gian, một số vi trùng lao phát triển khả năng tồn tại bất chấp thuốc điều trị. Nguyên nhân một phần là bệnh nhân không dùng thuốc theo chỉ dẫn hoặc không đủ liệu trình.

    Các chủng vi khuẩn lao kháng thuốc xuất hiện khi một loại thuốc kháng sinh không tiêu diệt được tất cả vi khuẩn mà nó nhắm đến. Các vi khuẩn sống sót sẽ đề kháng với loại thuốc đó và thường là cả những loại thuốc kháng sinh khác. Một số vi khuẩn lao đã phát triển khả năng kháng lại nhiều phương pháp điều trị được sử dụng phổ biến nhất như isoniazid và rifampin (Rifadin, Rimactane).

    Một số chủng lao cũng phát triển khả năng kháng với một số loại thuốc ít được sử dụng trong điều trị lao như thuốc kháng sinh fluoroquinolones, thuốc tiêm amikacin và capreomycin (Capastat). Những loại thuốc này thường được sử dụng để điều trị các bệnh nhiễm trùng có khả năng kháng lại những loại thuốc phổ biến khác.

    Các biến chứng

    Nếu không điều trị, bệnh lao có thể gây tử vong. Bệnh hoạt động không được điều trị thường ảnh hưởng đến phổi, thậm chí là nhiều bộ phận khác.

    Các biến chứng của bệnh lao bao gồm:

  • Đau cột sống: Đau lưng và cứng khớp là những biến chứng phổ biến
  • Tổn thương khớp: Viêm khớp do bệnh lao thường ảnh hưởng đến hông và đầu gối.
  • Sưng màng bao phủ não (viêm màng não): Điều này có thể gây ra cơn đau đầu kéo dài hoặc không liên tục xảy ra trong nhiều tuần, thậm chí gây ra những thay đổi về tinh thần.
  • Các vấn đề về gan hoặc thận: Gan và thận giúp lọc chất thải và tạp chất khỏi máu. Bệnh lao di căn đến các cơ quan này có thể gây suy giảm các chức năng gan, thận.
  • Rối loạn tim: Hiếm khi bệnh lao có thể lây nhiễm sang các mô bao quanh tim. Song, nếu xảy ra tình trạng này, chúng gây viêm và tích tụ chất lỏng, cản trở khả năng bơm máu của tim. Tình trạng này, được gọi là chèn ép tim, có thể gây tử vong.
  • Benh truyen nhiem gay tu vong nhieu nhat the gioi-Hinh-3

    Triệu chứng đặc trưng của người bị bệnh lao là các cơn ho kéo dài, ho ra máu... Ảnh: Freepik.

    Phòng ngừa

    Cách duy nhất để giảm ảnh hưởng do lao gây ra đó là ngăn ngừa bị nhiễm vi khuẩn hoặc không cho lao tiềm ẩn chuyển thành lao hoạt động. Chỉ có bệnh lao đang hoạt động mới có khả năng lây nhiễm.

    Nếu bị bệnh lao đang hoạt động, thường bạn sẽ mất vài tuần điều trị bằng thuốc điều trị lao trước khi không còn khả năng lây nhiễm. Người bệnh nên cách ly, tránh tiếp xúc với người khác trong vài tuần đầu điều trị.

    Phòng ở của bệnh nhân cần được thông gió. Vi trùng lao dễ lây lan hơn trong những không gian nhỏ, khép kín. Nếu ngoài trời không quá lạnh, hãy mở cửa sổ và dùng quạt để thổi không khí trong nhà ra bên ngoài.

    Người bệnh cần che miệng khi cười, hắt hơi, ho, khăn giấy dùng để che miệng phải cho vào túi, buộc kín và tiêu hủy. Trong 3 tuần đầu điều trị, bệnh nhân cần đeo khẩu trang để giảm nguy cơ phát tán virus.

    Uống hết thuốc là bước quan trọng nhất để bảo vệ bản thân và những người khác khỏi bệnh lao. Khi bạn dừng điều trị sớm hoặc bỏ liều, vi khuẩn lao có cơ hội phát triển các đột biến, vượt qua ngay cả những loại thuốc lao mạnh nhất. Các chủng lao kháng thuốc khiến tỷ lệ tử vong cao hơn, khó điều trị hơn.

    Ở các quốc gia nơi bệnh lao phổ biến hơn, trẻ sơ sinh thường được tiêm vaccine ngừa lao bacille Calmette-Guerin (BCG). Tuy nhiên, vaccine BCG không được khuyến khích sử dụng chung ở Mỹ và nhiều nước vì nó không hiệu quả với người lớn. Hàng chục loại vaccine phòng lao mới đang trong các giai đoạn phát triển và thử nghiệm khác nhau. Tuy nhiên, ở thời điểm hiện tại, đây là căn bệnh chưa có vaccine phòng ngừa.


    Sau 5 năm ly hôn tôi độc thân, vợ cũ định ly hôn chồng thứ 3

    Tôi im lặng trước lời Thu tâm sự mà không biết khuyên em thế nào, cô ấy lại hỏi tôi câu hỏi năm xưa: Anh có chút hối hận nào không?.

    Trước đây tôi từng là người đàn ông hạnh phúc với vợ và cậu con trai nhỏ. Thế nhưng sau 3 năm hôn nhân, hai vợ chồng tôi lại quyết định chấm dứt tất cả chỉ vì mâu thuẫn không thể giải quyết giữa mẹ và vợ. Đứng giữa hai người phụ nữ của đời mình, tôi chọn mẹ vì nghĩ đơn giản mẹ đã vất vả nuôi tôi khôn lớn, tôi không thể làm bà buồn.

    Tòa xử cho tôi nuôi con, vợ không cần trợ cấp gì. Tôi vẫn nhớ lúc lên xe rời khỏi toà Thu - vợ cũ hỏi tôi: "Anh có chút hối hận nào không?". Tôi im lặng không trả lời, cô ấy chờ đợi rồi tuyệt vọng mà lên xe đi thẳng. Có lẽ tôi là người đàn ông hèn nhát, rõ ràng vẫn còn yêu vợ, luyến tiếc nhưng không thể nói ra, giữ Thu ở bên mình. 

    Cách phòng tránh đậu mùa khỉ ở trẻ em

    Đậu mùa khỉ không phải bệnh dễ lây như Covid-19 nhưng các biện pháp phòng ngừa trước đó đều có thể giảm nguy cơ mắc bệnh ở trẻ nhỏ.

    Trẻ em mắc đậu mùa khỉ là điều không thể tránh khỏi khi số ca nhiễm căn bệnh này vẫn tiếp tục tăng lên. Theo hướng dẫn của Trung tâm Kiểm soát và Phòng ngừa Dịch bệnh Mỹ (CDC), trẻ em mắc đậu mùa khỉ nên được theo dõi chặt chẽ trong suốt thời gian bị bệnh.

    Tương tự các biện pháp cách ly liên quan Covid-19, trẻ mắc bệnh đậu mùa khỉ cần tránh tiếp xúc với người khác và vật nuôi cho đến khi hết phát ban, các tổn thương đóng vảy, bong ra và hình thành lớp da mới.

    Những bệnh truyền nhiễm gây tử vong nhiều nhất thế giới

    Lao, đậu mùa, HIV/AIDS, cúm... là những bệnh gây tử vong nhiều nhất, khiến hàng chục triệu người chết.

    Bệnh truyền nhiễm là loại bệnh nhiễm trùng có khả năng lây lan từ người này sang người khác một cách trực tiếp hoặc gián tiếp qua môi trường trung gian (như thức ăn, đường hô hấp, dùng chung đồ dùng, máu, da, niêm mạc...) và có khả năng phát triển thành bệnh dịch.

    Trong lịch sử, hàng loạt bệnh truyền nhiễm đã trở thành đại dịch, gây ra cái chết cho hàng nghìn đến hàng triệu người. Song có nhiều bệnh có tỷ lệ tử vong là 100% nhưng số lượng người mắc không nhiều. Ở bài viết này, The Conversation đề cập những căn bệnh truyền nhiễm khiến nhiều người chết nhất, theo số liệu tính đến năm 2012.

    Đọc nhiều nhất

    Tin mới

    Top thực phẩm tốt cho tuyến giáp

    Top thực phẩm tốt cho tuyến giáp

    Bổ sung hạt điều, hạt bí, trái cây tươi và cá biển để duy trì sức khỏe tuyến giáp, giảm nguy cơ viêm nhiễm và cân bằng hormone tự nhiên.

    Vì sao càng mệt càng khó ngủ?

    Vì sao càng mệt càng khó ngủ?

    Mệt mỏi không đồng nghĩa với buồn ngủ. Khi não bộ còn căng thẳng và hormone stress tăng cao, giấc ngủ dễ bị chập chờn, thậm chí biến mất hoàn toàn.