Ảnh độ nét cao soi thấu nội tạng cơ thể người

Ảnh độ nét cao soi thấu nội tạng cơ thể người

(Kiến Thức) - Ảnh các cơ quan trong cơ thể người như não, động mạch, tim "động đậy”... là ảnh chụp từ máy scan thế hệ mới GE.

 Những hình ảnh đáng kinh ngạc này do các bác sĩ bệnh viện West Kendall Baptist ở Florida, Mỹ công bố. Họ chụp các hình ảnh từ máy scan thế hệ mới General Electric (GE), cho thấy các bộ phận trong cơ thể người một cách chân thực nhất. Ảnh: Hình ảnh độ nét cao cho thấy hộp sọ liên kết với các mối cấu trúc cung cấp máu cho khu vực não bộ và xung quanh.
Những hình ảnh đáng kinh ngạc này do các bác sĩ bệnh viện West Kendall Baptist ở Florida, Mỹ công bố. Họ chụp các hình ảnh từ máy scan thế hệ mới General Electric (GE), cho thấy các bộ phận trong cơ thể người một cách chân thực nhất. Ảnh: Hình ảnh độ nét cao cho thấy hộp sọ liên kết với các mối cấu trúc cung cấp máu cho khu vực não bộ và xung quanh.

 Những bức hình chụp thử nghiệm thế hệ máy scan mới có khả năng ghi lại hình ảnh chất lượng cao của các bộ phận như xương, mạch máu, nội tạng cơ thể người. Trong hình là hình ảnh của vùng bụng và động mạch chủ.
Những bức hình chụp thử nghiệm thế hệ máy scan mới có khả năng ghi lại hình ảnh chất lượng cao của các bộ phận như xương, mạch máu, nội tạng cơ thể người. Trong hình là hình ảnh của vùng bụng và động mạch chủ.

 Phần ruột, tĩnh mạch, não và trái tim của con người được tiết lộ trong hình ảnh khá ghê rợn. Ảnh: Một bàn chân được gia cố bằng ốc vít.
Phần ruột, tĩnh mạch, não và trái tim của con người được tiết lộ trong hình ảnh khá ghê rợn. Ảnh: Một bàn chân được gia cố bằng ốc vít.

 Máy chụp công nghệ cao cho thấy rõ các vít ở chân của bệnh nhân.
Máy chụp công nghệ cao cho thấy rõ các vít ở chân của bệnh nhân.

 Hình ảnh độ nét cao về hộp sọ.
Hình ảnh độ nét cao về hộp sọ.

 Vòng động mạch willis cung cấp máu cho não.
Vòng động mạch willis cung cấp máu cho não.

 Hình chụp phần khoang ngực và vùng trái tim.
Hình chụp phần khoang ngực và vùng trái tim.

 Vòng mạch willis là khu vực ở phía dưới (thấp hơn) của não.
Vòng mạch willis là khu vực ở phía dưới (thấp hơn) của não.


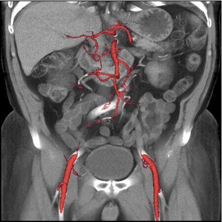
 Xương chậu và động mạch chủ hiện lên rõ nét trong bức hình.
Xương chậu và động mạch chủ hiện lên rõ nét trong bức hình.

 Hoạt động của những mạch máu bao bọc trái tim.
Hoạt động của những mạch máu bao bọc trái tim.

 Phần lồng ngực, tim trong cơ thể chúng ta.
Phần lồng ngực, tim trong cơ thể chúng ta.

 Hình ảnh lồng ngực trong phương pháp chụp ảnh GE.
Hình ảnh lồng ngực trong phương pháp chụp ảnh GE.

 Còn đây là hình ảnh lồng ngực trong phương pháp chụp CT truyền thống.
Còn đây là hình ảnh lồng ngực trong phương pháp chụp CT truyền thống.

GALLERY MỚI NHẤT