Nam bệnh nhân 49 tuổi đến Bệnh viện Đa khoa Hùng Vương (Phú Thọ) khám với lý do nổi mẩn ngứa, ợ hơi, trào ngược, đau bụng và rối loạn tính chất phân. Bệnh nhân có tiền sử nổi mẩn ngứa tái phát, tự điều trị không rõ loại thuốc.
Bệnh nhân được tư vấn thực hiện xét nghiệm máu và nội soi đại trực tràng. Kết quả công thức máu: bình thường; IgE: tăng 538 IU/ml.
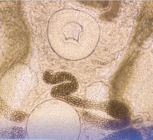
Nội soi đại tràng, phát hiện hình ảnh sán lá kích thước 5mm x 1mm, ép trứng nghi ngờ Metagonimus yokogawai.
Dựa trên các biểu hiện lâm sàng và kết quả nội soi đại tràng, bệnh nhân được chẩn đoán nhiễm sán lá ruột nhỏ Metagonimus yokogawai. Bệnh nhân được các bác sĩ tư vấn dùng thuốc và điều trị.
![]() |
| Nội soi phát hiện sán lá ruột nhỏ trong đại tràng bệnh nhân - ảnh BVCC |
Các bác sĩ Bệnh viện Đa khoa Hùng Vương cho biết, sán lá ruột nhỏ Metagonimus yokogawai là một loại ký sinh trùng phổ biến ở người và động vật có vú ăn cá khác như: chó, mèo, lợn và các loài chim ăn cá....
M. yokogawai có một vòng đời phức tạp liên quan đến hai vật chủ trung gian. Vật chủ trung gian thứ nhất là ốc của chi semisulcospira và vật chủ trung gian thứ hai là một số cá nước ngọt và nước lợ như: cá chép, cá trắm, cá trôi...
Sán trưởng thành ký sinh ở ruột non và đẻ trứng, trứng theo phân ra ngoài. Trứng rơi xuống nước, ốc (thuộc chi semisulcospira) ăn trứng sán, trứng nở và phát thành các ấu trùng lông trong ruột ốc.
Ở ốc, ấu trùng lông trải qua nhiều giai đoạn và phát triển thành nhiều ấu trùng đuôi. Ấu trùng đuôi rời khỏi ốc bơi lội trong nước xâm nhập vào cá thích hợp và hình thành nang ấu trùng trong thịt cá.
Người và động vật ăn cá khác ăn cá sống có chứa nang ấu trùng hoặc cá có chứa nang ấu trùng chưa nấu chín. Nang trùng sán phát triển thành sán trưởng thành và ký sinh ở ruột non.
Triệu chứng chính thường là tiêu chảy và đau bụng, các triệu chứng hầu như nhẹ có thể dễ dàng bị bỏ qua nhưng có ý nghĩa quan trọng trong chẩn đoán.
Sán bám vào thành của ruột non nhưng thường không có triệu chứng, khi nhiễm sán với số lượng lớn có thể gây tiêu chảy mãn tính, buồn nôn, đau bụng, bạch cầu ưa eosin ngoại vi có thể tăng sớm trong giai đoạn nhiễm bệnh.
Bệnh do M. yokogawai cấp tính, biểu hiện lâm sàng được phát triển từ 5 - 7 ngày sau khi nhiễm. Bệnh nặng được kết hợp với đau thượng vị, mệt mỏi, khó chịu và chán ăn.
Với biểu hiện lâm sàng không điển hình, việc chẩn đoán ký sinh trùng trong các trường hợp có triệu chứng lâm sàng mơ hồ rất dễ bị bỏ qua và cần thực hiện các xét nghiệm chuyên sâu như nội soi đại trực tràng phát hiện hình ảnh sán lá, xét nghiệm soi tươi.
Sán trưởng thành ký sinh ở ruột non, bám vào niêm mạc ruột gây viêm, loét, xuất huyết. Biểu hiện lâm sàng thường gặp là đau bụng, tiêu chảy, buồn nôn, nôn.
Đôi khi, sán xâm nhập vào niêm mạc và đẻ trứng, trứng có thể tìm cách lưu thông trong cơ thể, có thể xâm nhập vào não, tim, hoặc tủy sống gây thuyên tắc mạch làm đe dọa đến tính mạng. Sự hình thành u hạt quanh trứng có thể gây suy tim, co giật và biểu hiện thần kinh không bình thường.
Trong một số trường hợp, ấu trùng sán có thể di chuyển lạc chỗ đến các cơ quan khác như gan, phổi, não gây ra các triệu chứng nghiêm trọng.
Nhiễm sán lá ruột nhỏ M. yokogawai là một bệnh lý ký sinh trùng đường ruột phổ biến, có thể gây ra các triệu chứng đa dạng.
Cần nâng cao nhận thức cộng đồng về bệnh, phòng ngừa bằng cách ăn chín uống sôi, không ăn cá nước ngọt sống hoặc nấu chưa chín.
Trong các trường hợp có triệu chứng nghi ngờ, cần thực hiện các xét nghiệm chẩn đoán ký sinh trùng để phát hiện và điều trị kịp thời.
