Thanh niên 29 tuổi bị đau đầu nhưng chủ quan, cuối cùng nguy kịch
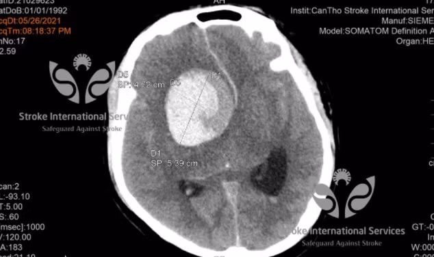
TS Trần Chí Cường – Giám đốc BV đa khoa quốc tế Cần Thơ chia sẻ về một trường hợp bệnh nhân nam 29 tuổi được đưa vào bệnh viện cấp cứu trong tình trạng đau đầu dữ dội, hôn mê sâu. Người nhà cho biết, trước đó, bệnh nhân đã bị đau đầu và đi khám uống thuốc nhưng không đỡ. Theo bác sĩ, bệnh nhân có một túi phình mạch máu não khổng lổ, kích thước lên tới 5cm (tương đương với kích thước của một quả chanh). Túi phình bị vỡ khiến bệnh nhân lâm vào nguy kịch.
TS cường cho biết, trong cuộc sống, hầu như ai cũng từng bị đau đầu. Đây là dấu hiệu thông thường có thể hình thành do buồn bực, stress, áp lực công việc, cuộc sống... Đau đầu kiểu này không phải là bệnh lý.
Đau đầu do mất ngủ, căng thẳng, rượu bia quá nhiều dẫn tới ngày hôm sau bị nhức đầu thì chỉ cần nghỉ ngơn, cơn đau sẽ dứt.
Trường hợp đau đầu bệnh lý tiềm ẩn là đau đầu do rối loạn chức năng của cơ thể hư đau đầu migraine, đau đầu do nhiễm trùng (viêm màng não, sốt cao) đau đầu do tăng huyết áp lên từ 150 trở lên khiến bệnh nhân choáng váng, nôn ói.
8 cơn đau đầu cảnh báo bạn có thể là bệnh nguy hiểm
Tiến sĩ Praveen Gupta, từ Viện nghiên cứu thần kinh Fortis Memorial Research Institute (Ấn Độ) chỉ ra 8 kiểu đau đầu mà bạn không nên chủ quan.
1. Đau đầu đột ngột, dữ dội
Nếu bạn gặp một cơn đau đầy dữ dội xảy ra lần đầu hoặc mới xuất hiện gần đây, đó có thể là dấu hiệu cho thấy sự thay đổi bên trong não. Bác sĩ Gupta cho biết các hiện tượng chảy máu não đột ngột bên trong não hay chảy máu dưới màng não, tắc nghẽn bên trong dây thần kinh não, hoặc sưng phù bên trong não có thể gây ra những cơn đau đầu đột ngột như vậy.
2. Đau đầu nghiêm trọng kèm cứng cổ
Đây là triệu chứng điển hình của xuất huyết não, trong đó một chỗ phình của động mạch hoặc một điểm yếu trong động mạch bị vỡ khiến máu chảy bên trong não. Máu kích thích màng não (phần màng bao quanh não và tủy sống) và khiến cổ bị cứng. Trường hợp này cần được cấp cứu ngay và có thể chữa trị được nếu chẩn đoán kịp thời.
3. Đau đầu kèm theo cảm giác tê
Đau đầu đi kèm với cảm giác tê ở bất cứ phần nào của cơ thể có thể là dấu hiệu của việc một phần nào đó trong não bị sưng phù, gây cản trở đến hoạt động bình thường của một phần cơ thể.
4. Đau đầu nghiêm trọng một bên, nôn mửa và chảy nước mắt
Hiện tượng này xảy ra là do đau nửa đầu kịch phát. Nó giống như chứng đau nửa đầu thông thường nhưng có thể đi với biểu hiện buồn nôn, nôn, chảy nước mắt. Kiểu đau đầu này có thể được kích hoạt bởi một số thực phẩm, do nhiệt độ thay đổi, do tập thể dục...
5. Đau đầu kèm đau cổ và mặt
Đau nửa đầu có thể kèm theo đau nửa mặt do đau dây thần kinh số 5. Ngoài ra, đau đầu với cảm giác đau buốt nghiêm trọng, đổ mồ hôi và tê mặt cũng có thể chỉ ra rối loạn chức năng tự chủ (tức là rối loại các chức năng kiểm soát hoạt động vô thức và điều chỉnh nhịp tim, tiêu hóa, hô hấp, phản ứng con ngươi, tiểu tiện...).
6. Đau đầu kèm buồn nôn, nôn và nhạy cảm với ánh sáng và âm thanh
Tiến sĩ Praveen Gupta chi biết, nếu tình trạng đau đầu này đã xảy ra trong vài tháng hoặc vài năm thì chủ yếu là do chứng đau nửa đầu. Tuy nhiên, nếu bạn mới gặp tình trạng này trong thời gian gần gây, hãy đi kiểm tra ngay vì nó có thể liên quan đến các rối loạn nghiêm trọng hơn.
7. Đau đầu kèm các vấn đề về thị lực
Đó là dấu hiệu cảnh báo dây thần kinh từ mắt đến não có thể đang bị chèn ép, làm tăng áp lực trong mắt hoặc trong đấu. Nó được gọi là hội chứng tăng áp lực nội sọ. Tiến sĩ Gupta cho biến, hội chứng này xảy ra phổ biến ở phụ nữ lớn tuổi hoặc do sưng hoặc khối u, hoặc nhiễm trùng hay viêm trong não.
8. Nhức đầu kèm theo sốt
Nếu bạn bị nhức đầu kèm sốt nhưng không phải do cảm cúm và có hiện tượng giảm cân thì nên cẩn trọng. Đó có thể là dấu hiệu cho thấy một phần nào đó của não có thể không hoạt động đúng. Khi đó, bạn cần được thăm khám và chẩn đoán bệnh ngay để được điều trị kịp thời.
