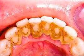
Lợi là phần vùng ngoài bao bọc quanh răng, tiếp xúc trực tiếp với thức ăn cũng như các loại virus, vi khuẩn có trong miệng nên rất dễ dẫn đến viêm nhiễm.
Răng miệng luôn chịu ảnh hưởng trực tiếp từ bệnh đái tháo đường, do đó, chăm sóc răng miệng tốt giúp hạn chế tối đa những hậu quả không mong muốn có thể xảy ra. Đồng thời, bảo vệ một nụ cười tươi sáng và hàm răng chắc khỏe.
Phần đông người trưởng thành đều từng gặp phải các vấn đề về lợi. Những mẹo tại nhà dưới đây sẽ giúp bạn điều trị viêm lợi, một dạng nhẹ của bệnh nha chu.
(khoahocdoisong.vn) - Chảy máu chân răng là bệnh về răng miệng phổ biến, dễ tái phát khiến nhiều người luôn cảm thấy khó chịu. Hiện nay, để cải thiện tình trạng chảy máu chân răng hay tái phát, rất nhiều người đang tin dùng sản phẩm có thành phần từ thiên nhiên.
(khoahocdoisong.vn) - Hôi miệng hay hơi thở có mùi là vấn đề có thể gặp ở bất cứ ai, khiến người mắc thiếu tự tin trong giao tiếp, gây ảnh hưởng tới công việc và cuộc sống hàng ngày. Hiện nay, để cải thiện hôi miệng, nhiều người đang tin dùng sản phẩm có nguồn gốc từ thiên nhiên.
(khoahocdoisong.vn) - Sưng nướu răng là vấn đề về răng miệng phổ biến gây ảnh hưởng không nhỏ tới sức khỏe và sinh hoạt hàng ngày của người mắc. Nếu bạn cũng đang phải chịu đựng cơn đau nhức, sưng nướu thì hãy tham khảo ngay biện pháp khắc phục nhanh chóng từ sản phẩm thiên nhiên trong bài viết sau.
Viêm nướu có mủ khiến người mắc không khỏi lo lắng bởi các triệu chứng sưng đau, kèm theo hơi thở có mùi, gây ảnh hưởng lớn tới sinh hoạt hàng ngày. Để hiểu rõ hơn về bệnh này, từ đó có cách khắc phục hiệu quả, mời bạn tham khảo ngay những thông tin trong bài viết sau!
Viêm chân răng có mủ là dấu hiệu cảnh báo tình trạng sức khỏe răng miệng của bạn đang gặp vấn đề. Hiện nay, nhiều người có xu hướng sử dụng các biện pháp điều trị viêm chân răng có mủ tại nhà. Đó là những cách nào? Hãy cùng tìm hiểu trong bài viết sau!
(khoahocdoisong.vn) - Cách chữa áp xe răng tại nhà là điều rất nhiều người quan tâm, bởi đây là bệnh lý răng miệng ngày càng phổ biến. Để tìm hiểu về cách chữa áp xe răng hiệu quả, mời bạn tham khảo ngay bài viết sau đây!
Hôi miệng, hơi thở có mùi dù không quá nguy hiểm nhưng lại khiến nhiều người mất tự tin, ảnh hưởng lớn tới tâm lý và giao tiếp hàng ngày. Với những cách làm hết hôi miệng tại nhà khá hiệu quả mà tiết kiệm sau đây, bạn sẽ nhanh chóng thoát khỏi nỗi lo về tình trạng này!
Nhiệt miệng kéo dài là bệnh lý về răng miệng phổ biến. Nếu như không được phát hiện và điều trị kịp thời sẽ dẫn đến những tổn thương nghiêm trọng. Vậy bị nhiệt miệng kéo dài phải làm sao để cải thiện hiệu quả?
(khoahocdoisong.vn) - Khi chỉnh răng, nếu bác sĩ thực hiện đúng quy trình thì quá trình ăn nhai gần như không bị ảnh hưởng. Tuy nhiên, khi răng đang trong quá trình di chuyển sẽ dễ bị tổn thương nên bệnh nhân phải tránh ăn thức ăn quá cứng, quá dai, quá dính.
(khoahocdoisong.vn) - Viêm quanh răng là bệnh lý về răng miệng khá phổ biến hiện nay. Bệnh thường có các triệu chứng ban đầu mờ nhạt, không quá đặc trưng khiến nhiều người dễ bỏ qua, đến khi tiến triển nặng mới chữa trị thì gặp nhiều khó khăn.
Viêm quanh răng là một trong những bệnh về răng miệng thường gặp nhất, với những triệu chứng ban đầu không quá đặc trưng nên nhiều người không quan tâm, đến khi tiến triển nặng mới phát hiện khiến quá trình điều trị gặp nhiều khó khăn.
Hôi miệng là tình trạng phổ biến, khiến người mắc gặp nhiều phiền toái trong cuộc sống. Vậy làm sao để cải thiện tình trạng này hiệu quả tại nhà? Mời bạn tìm hiểu thông tin trong bài viết sau!
(khoahocdoisong.vn) - Nguyên nhân chảy máu chân răng thường gặp nhất là do viêm lợi, viêm quanh răng. Khi mô nha chu bị tổn thương, lợi cũng bị viêm, sung huyết sưng đỏ dẫn đến tình trạng chảy máu khi chúng ta đánh răng.
(Kiến Thức) - Theo thông tin từ bệnh viện Bạch Mai, hiện đã có 82 ngươi bị nhiễm độc thủy ngân ở mức cho phép sau vụ cháy công ty Rạng Đông (phường Hạ Đình, quận Thanh Xuân, Hà Nội).