Viêm loét dạ dày tá tràng tuy có thể chữa khỏi hoàn toàn, song trường hợp bệnh tái phát nhiều lần hoặc phát triển thành mạn tính dẫn đến nhiều hậu quả sức khỏe nghiêm trọng.
Tính chất công việc và trạng thái tinh thần có thể ảnh hưởng rất nhiều đến các bệnh lý viêm loét dạ dày tá tràng và trào ngược dạ dày thực quản (GERD).
Viêm loét dạ dày tá tràng không được phát hiện sớm có thể dẫn đến nhiều biến chứng nguy hiểm, trong đó có xuất huyết tiêu hóa... Tuy nhiên bệnh hoàn toàn có thể điều trị khỏi.
(khoahocdoisong.vn) - Chảy máu do loét dạ dày tá tràng là một cấp cứu thường gặp chiếm 40 – 45% trong chảy máu đường tiêu hóa trên. Bệnh hay gặp ở bệnh nhân trên 50 tuổi, có tiền sử loét dạ dày tá tràng nhiều năm, chảy máu nhiều lần gặp nhiều ở những bệnh nhân có nhóm máu O...
(khoahocdoisong.vn) - Bệnh về đường tiêu hóa hết sức đa dạng như viêm loét dạ dày tá tràng, trào ngược dạ dày thực quản, viêm đại tràng, trong đó, nguy hiểm hơn là bệnh ung thư đại trực tràng - bệnh rất phổ biến tại Việt Nam và trên thế giới.
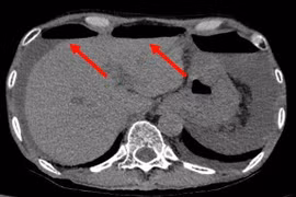
(khoahocdoisong.vn) - Các bác sĩ Bệnh viện Việt Nam - Thụy Điển Uông Bí đã phẫu thuật cứu sống thành công bệnh nhân bị sốc nhiễm trùng nhiễm độc do thủng tạng rỗng biến chứng suy đa tạng... Đây là bệnh lý thường xảy ra ở người viêm loét dạ dày - tá tràng.
(khoahocdoisong.vn) - Khổ sâm thường được dùng để trị các chứng bệnh liên quan đến đường tiêu hóa như đầy bụng, chậm tiêu, viêm loét dạ dày tá tràng…