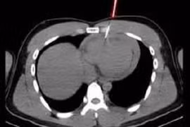
Đang làm việc với máy bắn đinh, nam thanh niên 21 tuổi vô tình trượt tay khiến một chiếc đinh bật ngược vào ngực. Ngay sau đó, nạn nhân cảm thấy đau dữ dội phải nhập viện.
Đang làm việc với máy bắn đinh, nam thanh niên 21 tuổi vô tình trượt tay khiến một chiếc đinh bật ngược vào ngực. Ngay sau đó, nam thanh niên cảm thấy đau dữ dội nên đến bệnh viện để sơ cứu.
Vết thương tim là một cấp cứu tối khẩn cấp, các vết thương do vật sắc nhọn xuyên vào lồng ngực thường gây ra các tổn thương nặng nề và có thể gây tử vong nhanh chóng.
Vết thương tim là một cấp cứu tối khẩn cấp, các vết thương do vật sắc nhọn xuyên vào lồng ngực thường gây ra các tổn thương nặng nề và có thể gây tử vong nhanh chóng.
Bệnh nhân nhập viện với 17 vết đâm, đặc biệt, có 2 vết thương lớn là vết thương thấu ngực và vết thương tim, sốc mất máu...nhưng đã được các bác sĩ từ nhiều chuyên khoa cứu sống.
Thông tin từ Bệnh viện Đa khoa Xuyên Á cho biết, vừa tiếp nhận bệnh nhân nữ với vết thương đâm thấu ngực, gây thủng tim, thủng cơ hoành, thủng gan và mạch máu trên gan đe dọa tính mạng trong gang tấc.
Trong quá trình phẫu thuật, kíp mổ phát hiện bệnh nhân bị vết dao đâm thấu nhĩ phải tim, đứt động mạch ngực trong bên phải khiến máu tràn ra khoang màng phổi phải và khoang ngoài tim.