Việc chẩn đoán u tuyến thượng thận đòi hỏi phải kết hợp thăm khám lâm sàng, xét nghiệm nội tiết chuyên sâu và các phương pháp chẩn đoán hình ảnh hiện đại.
Tăng huyết áp kéo dài, đặc biệt ở người trẻ tuổi, không nên chủ quan, cần đi khám chuyên sâu để tìm nguyên nhân. Có thể đằng sau đó là một bệnh lý nội tiết tiềm ẩn, như u tuyến thượng thận.
Việc thăm khám định kỳ nên được thực hiện đều đặn từ 1 - 2 lần/ năm để tầm soát các vấn đề sức khỏe hoặc tầm soát ung thư đối với những người có nguy cơ cao.
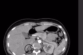
U tuyến thượng thận là bệnh nguy hiểm không chỉ gây ảnh hưởng tới sức khỏe, tinh thần mà còn khiến chất lượng cuộc sống giảm nghiêm trọng, dễ biến chứng tử vong. Vì vậy cần lưu ý phát hiện.
Có nhiều người bệnh coi nhẹ tăng huyết áp vì bệnh tăng huyết áp rất phổ biến trong cộng đồng. Nhưng đôi khi, tăng huyết áp lại chỉ là một trong các biểu hiện của một bệnh lý ác tính và nguy hiểm khác.
Bệnh nhân 36 tuổi bị co quắp tay chân vào viện khám phát hiện u vỏ tuyến thượng thận phải và u nang buồng trứng. Chỉ một lần phẫu thuật nội soi các bác sĩ đã giải quyết cả 2 loại u cho bệnh nhân.
Bị huyết áp cao liên tục không tìm ra bệnh, khi điều trị ngã xe, trẻ phát hiện u tuyến thượng thận 2 bên. Đây là ca bệnh hiếm gặp tại cả Việt Nam và trên thế giới, cũng là trường hợp đầu tiên tại Bệnh viện Nhi Trung ương.
Hai lần mang thai đều bị sảy, lần mang thai thứ 3 lại phát hiện ung thư tuyến giáp và tuyến thượng thận...Người mẹ đã vượt qua bao thử thách để sinh con.
(khoahocdoisong.vn) - Hội chứng Cushing là một bệnh nội tiết do rối loạn sản xuất hormon vỏ thượng thận gây tăng mạn tính hormon glucocorticoids. Có nhiều nguyên nhân gây hội chứng Cushing, nhưng phổ biến nhất là Cushing do lạm dụng thuốc corticoid kéo dài không có kiểm soát.
(khoahocdoisong.vn) - Nhờ sự chuyển giao kỹ thuật từ Bệnh viện Việt Đức và Bệnh viện Bình Dân, khoa Ngoại Tiết niệu - Bệnh viện Đa khoa tỉnh Thanh Hóa đã thực hiện rất nhiều kỹ thuật cao, kỹ thuật chuyên sâu chuyên ngành Tiết niệu và Nam học, cứu sống nhiều người bệnh. Một người bệnh có khối u tuyến thượng thận khổng lồ vừa được phẫu thuật thành công nhờ chuyên môn cao và thiết bị hiện đại.
(khoahocdoisong.vn) - U tuyến thượng thận là bệnh dễ gây tai biến, dẫn đến tử vong. Bé 19 tháng tuổi không sốt, bụng to dần do mang trong mình khối u tuyến thượng thận kích thước lớn đẩy nhu mô gan và thận phải xuống dưới... đã được phẫu thuật thành công tại Bệnh viện Sản Nhi Quảng Ninh.
U tuyến thượng thận (UTTT) là bệnh nguy hiểm không chỉ gây ảnh hưởng tới sức khoẻ, tinh thần mà còn khiến chất lượng cuộc sống giảm nghiêm trọng, dễ biến chứng tử vong. Nhờ sự chuyển giao kỹ thuật từ Bệnh viện Hữu nghị Việt Đức, Bệnh viện Đa khoa Thanh Hóa đã làm chủ kỹ thuật này, mổ cho bệnh nhân an toàn, nhanh hồi phục