Dò động mạch vành là một tình trạng bất thường trong hệ thống mạch máu tim khiến lượng máu cung cấp cho cơ tim bị giảm, gây ra những triệu chứng như khó thở, đau tức ngực.
Bác sĩ nhắc nhở rằng 1 năm trước khi đột tử, thông thường sẽ có 6 dấu hiệu cảnh báo trong cơ thể. Cần chú ý đến bất kỳ dấu hiệu nào trong số đó, có thể cứu sống bạn vào thời điểm quan trọng.
Người phụ nữ 61 tuổi uống nước của ráy với mục đích chữa ung thư theo mách bảo của người quen, kết quả bị đau vùng miệng, họng; khó nuốt, khó phát âm, họng phù nề đỏ.
Người dân khi có lỗ mở khí quản cần cẩn thận trong sinh hoạt, che chắn cẩn thận. Nếu không, rất dễ rơi dị vật vào. Dị vật to có thể gây bít tắc đường thở cấp tính, gây tử vong nhanh chóng.
Khi bị bọ cạp hay côn trùng có nọc độc cắn, sau khi sơ cứu, sát trùng vết cắn, nên đưa bệnh nhân tới cơ sở y tế gần nhất để được bác sĩ thăm khám, cấp cứu kịp thời.
Bệnh cúm A dễ gây biến chứng nguy hiểm tại phổi, cơ, não… gây nguy hiểm tính mạng. Nhiều người chủ quan tự chữa tại nhà, đến khi nhập viện thì bệnh đã trở nặng.
Nhão cơ hoành là bệnh lý hiếm gặp, khó phát hiện, triệu chứng lâm sàng không đặc hiệu, có thể gây viêm phổi, suy hô hấp nếu không được điều trị kịp thời. Vì vậy, cần phát hiện điều trị sớm.
Sau hơn 1 tháng hút thuốc điện tử nam thanh niên đã phải nhập viện vì viêm màng ngoài tim và viêm phổi. Có ít nhất 215 trường hợp gặp các vấn đề nghiêm trọng về phổi liên quan đến hút thuốc lá điện tử nên cần chú ý.
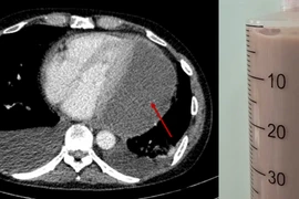
Sau thời gian dài bị đau tức ngực, nữ bệnh nhân đã được các bác sĩ tại bệnh viện đa khoa tỉnh Phú Thọ phẫu thuật cắt khối kén khí phổi khổng lồ (kích thước khoảng 13x7cm).