Sống trong khổ sở vì tình trạng tiểu mất kiểm soát suốt 8 năm, người đàn ông đã hết tiểu rắt, ngủ ngon giấc nhờ phẫu thuật holep điều trị tăng sinh tuyến tiền liệt. Đây là kỹ thuật cao tiên tiến, tối ưu trong điều trị tuyến tiền liệt.
Bệnh lậu là một trong những bệnh lây truyền qua đường tình dục phổ biến nhất đang ngày càng trẻ hóa và gia tăng nhanh chóng ở nam giới. Nhiều người mắc bệnh mà không hề biết, đến khi biến chứng xảy ra mới đi khám thì đã muộn.
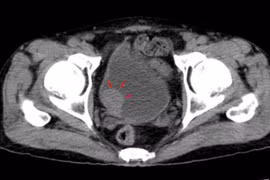
Tiểu rắt, tiểu buốt, đau tức hạ vị là những triệu chứng gây đảo lộn cuộc sống của quý ông. Đặc biệt ung thư tuyến tiền liệt là loại ung thư có tỷ lệ mắc cao nhất và là nguyên nhân gây tử vong đứng hàng thứ hai.
U bàng quang là loại u thường gặp trong các loại u ở đường tiết niệu. Theo thống kê, ung thư bàng quang là bệnh lý đứng thứ hai sau ung thư tiền liệt tuyến thuộc hệ tiết niệu sinh dục.
Độ ẩm cao, quần áo ẩm, vệ sinh sai cách có thể tạo điều kiện cho vi khuẩn E.coli sinh sôi, xâm nhập và gây ra viêm đường tiết niệu, đặc biệt ở nữ giới.
(khoahocdoisong.vn) - Hiện nay, tỷ lệ người mắc bệnh suy thận độ 1 ngày càng gia tăng và đang có xu hướng trẻ hóa. Nếu không được điều trị sớm, bệnh sẽ tiến triển nặng và gây ra nhiều biến chứng nghiêm trọng cho sức khỏe, thậm chí dẫn đến tử vong.
(khoahocdoisong.vn) - Suy thận mạn tính là bệnh nguy hiểm và có tỷ lệ mắc cao. Thế nhưng, nguyên nhân gây suy thận mạn là gì, biện pháp khắc phục tình trạng này như thế nào để vừa hiệu quả lại đảm bảo an toàn, tránh nguy cơ phải chạy thận thì không phải ai cũng biết.
(khoahocdoisong.vn) - Từ xa xưa, dân gian đã biết sử dụng nhiều bài thuốc từ thảo dược để chữa nhiều bệnh khác nhau, trong đó có chứng thận yếu. Cụ thể đó là những bài thuốc nào? Mời bạn tìm hiểu thông tin trong bài viết sau!
(khoahocdoisong.vn) - Suy thận là bệnh nguy hiểm và có tỷ lệ mắc cao. Hiện nay, bên cạnh các phương pháp điều trị chuyên khoa, nhiều người đang tin dùng sản phẩm có thành phần từ thảo dược để cải thiện suy thận. Tại sao vậy?
(khoahocdoisong.vn) - Tình trạng tuyến tiền liệt bị viêm gây nên cảm giác đau tức, sưng tấy và tiết dịch ra niệu đạo. Viêm tiền liệt tuyến có thể do nhiễm trùng hoặc có thể không do nhiễm trùng.
(khoahocdoisong.vn) - Suy thận là bệnh lý nguy hiểm, có thể gây tử vong nếu không được điều trị đúng cách. Vậy suy thận độ 3 là gì? Làm sao để kiểm soát bệnh hiệu quả và nên sử dụng thảo dược nào để cải thiện?
Khi bị suy thận sống được bao lâu là thắc mắc được nhiều bệnh nhân và người nhà của họ đặt ra. Theo các chuyên gia, thời gian sống của người bị suy thận còn tùy thuộc vào nhiều yếu tố. Cụ thể vấn đề này như thế nào? Mời bạn tìm hiểu thông tin trong bài viết sau.
Giới chuyên gia đã chỉ ra rằng, chế độ dinh dưỡng hợp lý, kết hợp với quá trình điều trị tích cực sẽ giúp cải thiện suy thận hiệu quả. Đây cũng được coi là một trong những phương pháp mang tới hiệu quả tốt cho người mắc suy thận độ 1. Vậy người bị suy thận độ 1 nên có chế độ dinh dưỡng và sinh hoạt như thế nào?
(khoahocdoisong.vn) - Tiểu ít, tiểu rắt, tiểu nhiều lần, viêm bàng quang, viêm đường tiểu là nỗi khổ của người bệnh. Để điều trị bệnh có thể dùng biểu súc và đậu đỏ sắc nước uống hàng ngày rất tốt.
(khoahocdoisong.vn) - Vì bất kỳ lí do gì cũng không nên nhịn tiểu vì rất nguy hiểm. Vi khuẩn trong nước tiểu có thể gây nhiễm trùng tiểu, viêm thận bể thận cấp, áp xe quanh thận, nhiễm trùng huyết, suy thận cấp...
(khoahocdoisong.vn) - Nhờ phẫu thuật cấp cứu khẩn cấp các bác sĩ bệnh viện Nội Tiết T.Ư đã cứu sống được bệnh nhân bị u bàng quang gây bí tiểu, bàng quang nhiều máu cục, sốc mất máu kèm đường huyết tăng cao...
(khoahocdoisong.vn)- Vì quan niệm con trai cấu tạo bộ phận sinh dục không dễ bị viêm nhiễm nên cha mẹ lơ là vệ sinh khiến con bị viêm dính bao quy đầu. Bệnh rất nguy hiểm.