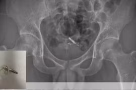
Nam thanh niên 19 tuổi đi tìm cực khoái bằng cách nhét dây tai nghe 3.5 mm vào niệu đạo. Tuy nhiên chàng trai này đã gặp sự cố ngay từ lần thử đầu tiên khiến cuộn dây mắc kẹt ở bên trong.
Mặc dù thủ dâm hoàn toàn bình thường đối với con người nhưng thủ dâm dễ bị mang tiếng xấu vì đây là hành vi tình dục riêng tư. Do đó, nhiều nam giới có những băn khoăn về hành vi thủ dâm.
Những hành động tưởng chừng vô hại của nam giới như bỏ bữa sáng, hút thuốc, uống cà phê ngay khi thức dậy,... lại có thể tiềm ẩn nhiều rủi ro cho sức khỏe.
Những hành động tưởng chừng vô hại của nam giới như bỏ bữa sáng, hút thuốc, uống cà phê ngay khi thức dậy,... lại có thể tiềm ẩn nhiều rủi ro cho sức khỏe.
Thủ dâm không chỉ mang lại cảm giác dễ chịu mà còn có liên quan đến một số lợi ích sức khỏe như nâng cao tâm trạng, giúp ngủ ngon... Dưới đây là giải thích của chuyên gia về 5 lầm tưởng cho rằng thủ dâm có thể gây hại.
Đối với hầu hết mọi người, thủ dâm đúng cách là một hoạt động riêng tư lành mạnh. Tuy nhiên, đối với một số người, việc lạm dụng thủ dâm cũng có thể gây ra những vấn đề lớn.
Bác sĩ nhận định đây là trường hợp gãy dương vật phức tạp, bệnh nhân rách cả thể hang và thể xốp. Ekip phẫu thuật đã phải lấy máu tụ và khâu lại thể hang và thể xốp trong vòng 90 phút.
Muốn tăng khoái cảm, nam thanh niên 21 tuổi đã tự tìm cách chế thiết bị thủ dâm từ ống nước, trong lúc thực hiện bị cạnh ống nước cứa vào vùng kín gây chảy máu, phải nhập viện cấp cứu.
ThS.BS Lê Quang Dương cho biết, có rất nhiều quan niệm sai lầm về lên đỉnh trong giấc mơ, điều này có thể khiến họ bối rối hoặc gây lo lắng nếu một người không biết điều gì sẽ xảy ra.
Thắt nghẹt dương vật do dị vật là cấp cứu nam khoa hiếm gặp, cần phải điều trị ngay lập tức để hạn chế tối đa các tổn thương mạch máu có thể dẫn gây ra biến chứng nghiêm trọng.
(khoahocdoisong.vn) - Thắt nghẹt bao quy đầu thường xảy ra sau khi nam giới thủ dâm hay tò mò cố lộn bao quy đầu ra nhưng sau đó không thể lộn được trở lại được hoặc cũng có thể gặp trong những lần quan hệ tình dục đầu tiên
(khoahocdoisong.vn) - Dùng tay bóp không ngăn được xuất tinh mà khiến tinh bị dội ngược lại có thể kéo theo vi trùng từ đoạn bên ngoài của ống tiểu, chui ngược vào bên trong, chui vào các lỗ của ống dẫn tinh, ống túi tinh đang mở to, gây viêm túi tinh, viêm mào tinh, tinh hoàn, tinh dịch mủ hôi.
Tự sướng hay gọi chính xác là thủ dâm, theo giải thích trong y học là hành động kích thích làm cho bản thân cảm thấy sung sướng ngay cả khi không quan hệ trực tiếp với người khác giới.
(khoahocdoisong.vn) - Thủ dâm không gây ra rối loạn cương, xuất tinh sớm hay vô sinh. Tuy nhiên thủ dâm nhiều quá mức sẽ ảnh hưởng tới tâm lý và cơ quan sinh dục...
Sở Văn hóa Hà Nội đã có văn bản đề nghị các quận, huyện, BQL chung cư lắp đặt camera để kịp thời phát hiện, xử lý những hành vi như thủ dâm, tiểu bậy nơi công cộng.