"Thất vọng lắm, chưa xài được 7 ngày đã hư dù thay pin để vài ngày xem có sáng lại không nhưng vẫn không sử dụng được dù không để dính nước,... đúng là phí tiền", chị Lệ mua đèn led làm trắng răng giá 149.000 đồng bày tỏ.
Miếng dán trắng răng đang được quảng cáo nhan nhản trên các trang mạng xã hội khiến chị em điên đảo vì giá mềm và hiệu quả làm sáng tức thì. Tuy nhiên, chuyên gia cho biết sản phẩm này tiềm ẩn nguy hiểm khó lường.
Miếng dán trắng răng đang được quảng cáo nhan nhản trên các trang mạng xã hội khiến chị em điên đảo vì giá mềm và hiệu quả làm sáng tức thì. Tuy nhiên, chuyên gia cho biết sản phẩm này tiềm ẩn nguy hiểm khó lường.
Trên các trang mạng, nhiều người truyền tai nhau cách tẩy trắng răng tại nhà bằng những thực phẩm trong nhà bếp, vừa an toàn, hiệu quả mà không tốn tiền. Thực hư tác dụng của những cách này thế nào?
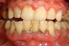
(khoahocdoisong.vn) - Tẩy trắng răng áp dụng cho răng bị ố vàng, xỉn màu do vệ sinh răng miệng không đúng cách, nhiễm màu thực phẩm, dùng kháng sinh hay do mảng bám, cao răng...
Baking soda còn được gọi là thuốc muối hay muối nở thường sử dụng trong nấu nướng và làm bánh. Ngoài ra, baking soda còn sở hữu công dụng làm đẹp như làm da trắng sáng, thu nhỏ lỗ chân lông, tẩy trắng răng…
Trên thị trường xuất hiện loại kem đánh răng AP24 được quảng cáo là giúp răng trắng sáng. Theo chuyên gia, lạm dụng loại kem này có thể hại men răng, tăng nguy cơ ê buốt và yếu chân răng, nhất là đối với người trẻ.
Gần đây, trên các trang mạng lan truyền phương pháp tẩy trắng răng bằng vỏ cam và húng quế. Theo quảng cáo, sử dụng phương pháp này “cao răng bật ra từng mảng, răng trắng như bọc sứ”. Tuy nhiên, theo các chuyên gia, phương pháp tẩy trắng răng này không có căn cứ khoa học, không hiệu quả, thậm chí trầy xước nướu.