Nhiễm trùng phúc mạc do vỡ ruột thừa được đánh giá là tình trạng rất nguy hiểm vì vi khuẩn có thể lây lan khắp ổ bụng, đe dọa trực tiếp tính mạng người bệnh.
Khi có đau bụng đặc biệt là đau bụng vùng bụng bên phải, nên đi khám ngay tại các cơ sở y tế để chẩn đoán sớm bệnh viêm ruột thừa, tránh việc tự mua thuốc uống, làm cho bệnh nặng lên...
Dinh dưỡng đóng vai trò vô cùng quan trọng trong việc duy trì sức khỏe và phòng ngừa các bệnh lý, đặc biệt là trong trường hợp của bệnh viêm ruột thừa.
U nhầy ruột thừa không có dấu hiệu điển hình để nhận biết, người bệnh chỉ đau bụng âm ỉ nên thường chủ quan tự uống thuốc điều trị tại nhà. Để tầm soát và phát hiện sớm nhất cần đi khám ngay trước khi bệnh trở nặng.
Mới đây, các bác sĩ Bệnh viện E đã cấp cứu và phẫu thuật thành công, cứu sống nữ bệnh nhân suýt vỡ ruột vì biến chứng nguy hiểm áp xe ruột thừa trong ổ bụng.
2 ngày con kêu đau bụng gia đình chỉ nghĩ con bị rối loạn tiêu hóa đến khi nhập viện thì trẻ viêm phúc mạc ruột thừa đã ảnh hưởng nghiêm trọng tới sức khỏe.
Joshua Warner đi khám do bị đau đầu và buồn nôn suốt hai tuần, thế nhưng, sau khi chụp cắt lớp vi tính, bác sĩ lại chẩn đoán anh bị viêm ruột thừa và thực hiện phẫu thuật cắt bỏ ruột thừa.
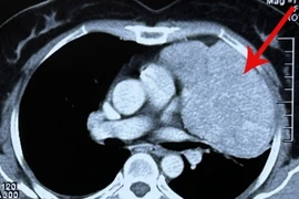
Bệnh nhân hoàn toàn khỏe mạnh, đi mổ ruột thừa phát hiện khối u trung thất lớn, phẫu thuật rất khó khăn. Đây là loại u tuyến ức không có biểu hiện ở giai đoạn sớm nên người dân cần chú ý.
Chủ quan với đau bụng, tưởng rối loại tiêu hóa, bệnh nhân đã bị viêm phúc mạc, áp xe ruột thừa. Tỷ lệ tử vong do viêm phúc mạc ruột thừa chiếm 60 – 70% nếu không được cấp cứu kịp thời.
(khoahocdoisong.vn) - Các cơn đau vùng thận cả cấp và mạn tính không chỉ là biểu hiện bệnh lý của thận mà đôi khi là biểu hiện của những bệnh lý khác rất dễ tử vong: Tắc ruột, nhồi máu lách, chửa ngoài tử cung dọa vỡ, thủng ruột… nên cần phải nhận biết để cấp cứu kịp thời.
(khoahocdoisong.vn) - Dị vật đường tiêu hóa không chỉ gặp ở người già, trẻ nhỏ mà cả người trưởng thành do thói quen ăn uống bất cẩn. Biến chứng do dị vật đường tiêu hoá rất nặng nề mà đôi khi bằng cả tính mạng nếu y học can thiệp không kịp thời.
(khoahocdoisong.vn) - Cắt ruột thừa qua nội soi không chỉ là một biện pháp an toàn và hiệu quả mà còn có giá trị làm giảm tỷ lệ cắt ruột thừa không viêm... nhưng phụ thuộc vào nhiều điều kiện và tình trạng bệnh của bệnh nhân.