Rau tiền đạo là biến chứng thai kỳ nguy hiểm đe dọa tính mạng mẹ và thai nhi, có thể được phát hiện sớm từ tuần 20 của thai kỳ nhờ vào phương pháp siêu âm thai.
Rau tiền đạo, mạch máu tiền đạo là một biến chứng nguy hiểm trong thai kỳ, đặc biệt nếu không được theo dõi sát sao, nguy cơ chảy máu ồ ạt có thể đe dọa tính mạng mẹ và con bất cứ lúc nào.
U xơ tử cung trong quá trình mang thai là nguyên nhân chính gây biến dạng cấu trúc tử cung. Đặc biệt khối u chèn ép tử cung, dẫn đến ngôi thai và rau bất thường… khiến thai phụ dễ bị sinh non, xuất huyết...
Sản phụ mắc đồng thời hai bệnh lý rất nguy hiểm là rau tiền đạo trung tâm nhưng nhờ sự kết hợp theo dõi và phẫu thuật kịp thời đã cứu sống được cả 2 mẹ con.
Thể Percreta bánh rau nhau xâm lấn xuyên qua cơ tử cung vào lớp thanh mạc tử cung, thậm chí xâm lấn sang các cơ quan lân cận như ruột, bàng quang… đe dọa tính mạng mẹ và bé sản phụ cần biết.
Rau tiền đạo có cài răng lược là một bệnh lý nguy hiểm, có khả năng đe dọa tính mạng mẹ và thai nhi, sản phụ cần chú ý thăm khám và quản lý thai chặt chẽ để phát hiện và xử trí kịp thời.
Rau tiền đạo trung tâm, rau cài răng lược là bệnh lý sản khoa nguy hiểm khi bánh rau đâm xuyên qua lớp cơ tử cung, xuyên thành bàng quang, trực tràng.... Bệnh gây ra nhiều biến chứng nguy hiểm, đe dọa tính mạng cả thai phụ lẫn thai nhi.
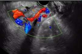
Sản phụ đã mổ đẻ 3 lần không chỉ bị rau tiền đạo trung tâm, rau cài răng lược, đa ối mà rau mặt trước lan qua lỗ trong cổ tử cung, đâm xuyên thành bàng quang... đã được cứu sống.
Sau mổ lấy thai rau tiền đạo sản phụ bị chảy máu không cầm và được chuyển đến Bệnh viện Phụ sản Hà Nội trong tình trạng sốc mất máu do đờ tử cung sau mổ lấy thai giờ thứ 5.
Không ngại đêm hôm, 4 tình nguyện viên từ khắp nơi trong tỉnh Quảng Ninh đã có mặt tại Bệnh viện Sản nhi Quảng Ninh để kịp thời hiến 4 đơn vị máu hiếm B/Rh(-) cứu mẹ con bị sản phụ bị rau tiền đạo trung tâm.
(khoahocdoisong.vn) - Phát hiện rau tiền đạo và rau cài răng lược từ tuần thai thứ 21, sản phụ qua 3 lần mổ đẻ đã được các bác sĩ Bệnh viện Phụ sản Hà Nội theo dõi điều trị và giúp sản phụ sinh con an toàn.
(khoahocdoisong.vn) - Lần đầu tiên Trung tâm sản Nhi, Bệnh viện Đa khoa Phú Thọ đã phẫu thuật thành công cứu sống sản phụ và thai nhi bị rau tiền đạo trung tâm cài răng lược thể nặng.
(khoahocdoisong.vn) - Không có cơ sở nào lại cho rằng quan hệ vợ chồng khi có thai lại ảnh hưởng tới mẹ và em bé. Tuy nhiên, trong một số trường hợp phải hạn chế hoặc kiêng hẳn giao hợp trong khi có thai.
(khoahocdoisong.vn) - Nhiều nghiên cứu cho rằng tình dục được thỏa mãn còn tốt cho thai nghén. Tuy nhiên, có những trường hợp phải kiêng hẳn khi có thai để an toàn cho bé.