Nang xương hàm có thể làm phá hủy xương, tiêu chân răng lân cận, ảnh hưởng tới mầm răng vĩnh viễn, mất thẩm mỹ và gây đau đớn, sưng viêm khi nang bội nhiễm.
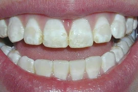
Men răng bị ăn mòn sẽ có biểu hiện nhạy cảm hơn khi ăn uống, ê buốt, đau răng, răng ố vàng… Các tổn thương, lỗ sâu sẽ hình thành bên trong hoặc trên bề mặt răng.
Tiểu Trương bị sốt tới 40 độ C, khi được đưa đến bệnh viện, bác sĩ phát hiện trí thông minh của nam thanh niên kém đi nhiều, so với một đứa trẻ 3 tuổi thậm chí không bằng.
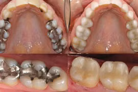
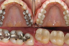
Mới đây, một bé trai 14 tuổi ở thành phố Ninh Ba, tỉnh Chiết Giang, Trung Quốc đi khám vì cảm thấy khó chịu ở răng, hóa ra cả miệng răng sâu, bác sĩ phát hiện nguyên nhân là do thói quen xấu hàng ngày.
(Kiến Thức) - Khỏa thân để "bảo vệ môi trường", bảo vệ công trình Mã Pì Lèng Panorama suy cho cùng cũng chỉ là chiêu trò để "đánh bóng tên tuổi". Bởi chỉ có “bọn điên” mới lấy những hình ảnh phản cảm, ô nhiễm thị giác, vấy bẩn cảnh quan để cho rằng mình đang bảo vệ môi trường.