Báo Tri thức và Cuộc sống - TIN TỨC PHỔ BIẾN KIẾN THỨC 24H
Hà Nội

KHDS VNDAILY DoiSong TamNhin
  • Trang chủ
  • Trending
  • Nhà Khoa học - Vusta News
  • Kiến thức cần biết
  • Thời sự 24h
    Chính trị Xã hội Kinh doanh - Địa ốc Bạn đọc - Phản biện Sống xanh
  • Tri thức & Đời sống
    Kho tri thức Quân sự - Thế giới Giải trí - Giới trẻ Số hóa - Xe Doanh nghiệp
  • Spotlight
    Gallery Video Podcast e-Magazine
  • Xem thêm
Trending Nhà Khoa học - Vusta News Nhìn thẳng - Nói thật Kiến thức cần biết Cải chính Đọc Báo in KH&ĐS
Thời sự 24h Chính trị Xã hội Kinh doanh - Địa ốc Bạn đọc - Phản biện Sống xanh
Tri thức & Đời sống Kho tri thức Quân sự - Thế giới Giải trí - Giới trẻ Số hóa - Xe Doanh nghiệp
Spotlight Gallery Video Podcast e-Magazine

Từ khóa: phục hồi chức năng sau đột quỵ

Sa sút trí tuệ sau đột quỵ, hệ lụy cần được quan tâm đúng mức

Sa sút trí tuệ sau đột quỵ, hệ lụy cần được quan tâm đúng mức

Phòng ngừa sa sút trí tuệ sau đột quỵ cần bắt đầu từ việc phòng ngừa đột quỵ ngay từ đầu và hạn chế tái phát.
60 phút kịp thời cứu người bị vỡ túi phình mạch máu não

60 phút kịp thời cứu người bị vỡ túi phình mạch máu não

Bệnh viện Hồng Ngọc - Phúc Trường Minh cấp cứu thành công người phụ nữ bị vỡ túi phình mạch máu não trong vòng 60 phút nhờ kỹ thuật nút túi phình hiện đại.
Phối hợp liên viện cứu sống bệnh nhân đột quỵ nặng, tránh tàn phế

Phối hợp liên viện cứu sống bệnh nhân đột quỵ nặng, tránh tàn phế

Sự nhịp nhàng, chủ động giữa hai bệnh viện đã giúp người bệnh được tiếp cận điều trị đúng phương pháp, đúng thời điểm, giành lại cơ hội sống, tránh tàn phế.
Hành trình hồi phục kỳ diệu sau 35 ngày xuất huyết não nguy kịch

Hành trình hồi phục kỳ diệu sau 35 ngày xuất huyết não nguy kịch

Bệnh nhân nhập viện trong tình trạng nguy kịch do tổn thương não nặng sau xuất huyết dưới nhện và xuất huyết não thất, tiến triển suy đa cơ quan.
Tập luyện không đúng nguy hiểm cho người tai biến, cần lượng giá chức năng

Tập luyện không đúng nguy hiểm cho người tai biến, cần lượng giá chức năng

Lượng giá chức năng là quá trình đánh giá toàn diện khả năng vận động – cảm giác – nhận thức – sinh hoạt hằng ngày của người bệnh sau tai biến.
Cứu bệnh nhân đột quỵ tắc thân nền, loại đột quỵ chỉ có 5% cơ hội sống

Cứu bệnh nhân đột quỵ tắc thân nền, loại đột quỵ chỉ có 5% cơ hội sống

Đột quỵ cấp do tắc hoàn toàn động mạch thân nền là thể đột quỵ nặng và nguy hiểm nhất, chiếm khoảng 1- 4% tổng số ca nhưng có tỷ lệ tử vong lên đến 86-95%.

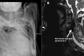
Hiếm gặp: Rò động tĩnh mạch cột sống liệt tứ chi trên nền gù vẹo nặng

Hiếm gặp: Rò động tĩnh mạch cột sống liệt tứ chi trên nền gù vẹo nặng

Bệnh viện Đa khoa Quốc tế S.I.S Cần Thơ vừa can thiệp mạch hiếm gặp cứu sống người đàn ông gù vẹo cột sống 30 năm, liệt tứ chi do rò động tĩnh mạch cột sống.
Thoát khỏi cơn nguy kịch nhờ được cấp cứu kịp thời trong giờ vàng

Thoát khỏi cơn nguy kịch nhờ được cấp cứu kịp thời trong giờ vàng

Đột quỵ là cấp cứu tối khẩn. Cứ mỗi phút trôi qua, hàng triệu tế bào thần kinh bị hủy hoại. “Giờ vàng” trong cấp cứu đột quỵ nhồi máu não là 3-6 giờ đầu.
Báo Tri thức và Cuộc sống - TIN TỨC PHỔ BIẾN KIẾN THỨC 24H

Hotline: 096 523 7756/035 249 5588 (Toà soạn Hà Nội)
/ 091 122 1222 (VPĐD TPHCM)

baotrithuccuocsong@kienthuc.net.vn
tkts@kienthuc.net.vn

Facebook Rss
Trending Nhà Khoa học - Vusta News Kiến thức cần biết Thời sự 24h Tri thức & Đời sống Spotlight

CƠ QUAN CHỦ QUẢN: LIÊN HIỆP CÁC HỘI KHOA HỌC VÀ KỸ THUẬT VIỆT NAM

Giấy phép: Số 536/GP-BTTTT ngày 19/11/2020 do Bộ Thông tin và Truyền thông cấp.

Tổng Biên tập: Nhà báo Nguyễn Thị Mai Hương

Phó Tổng Biên tập: Nhà báo Nguyễn Danh Châu

Tòa soạn: Số 70 Trần Hưng Đạo, phường Cửa Nam, Hà Nội.

VPĐD tại TP.HCM: Số 54 Phạm Huy Thông, phường Hạnh Thông, Thành phố Hồ Chí Minh.

DMCA.com Protection Status