Rất nhiều người đã phát hiện ra bệnh nguy kịch nhờ kiểm tra sức khỏe tổng quát dù trước đó cơ thể không hề có triệu chứng gì. Chàng trai 21 tuổi đã phát hiện ra hội chứng Marfan tổn thương đa cơ quan khi khám sức khỏe đi xuất khẩu.
Lóc tách động mạch chủ là một tình trạng cấp cứu tim mạch nguy hiểm, đe dọa trực tiếp đến tính mạng người bệnh. Việc điều trị đòi hỏi sự phối hợp chặt chẽ giữa các chuyên khoa sâu, trang thiết bị y tế hiện đại, có phòng mổ Hybrid...
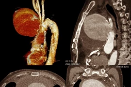
Lóc tách động mạch chủ type A cấp tính là một thảm họa thực sự của bệnh tim mạch. Khoảng 50% bệnh nhân tử vong trong 48 giờ đầu, 60% trong tuần đầu. Khi đã vỡ, gây ép tim cấp, tỷ lệ tử vong gần như 100%.
Lóc tách động mạch chủ type A cấp tính là một thảm họa bệnh tim mạch. Khoảng 50% bệnh nhân tử vong trong 48 giờ đầu, 60% trong tuần đầu và tới 90% trong tháng đầu, khi đã vỡ, gây ép tim cấp, tỷ lệ tử vong gần như 100%.
Ở nhà chỉ nghĩ là đau bụng thông thường vậy mà khi đến bệnh viện bệnh nhân mới biết mình mắc phải căn bệnh nguy hiểm. 21% các trường hợp lóc tách động mạch chủ tử vong trước khi nhập viện.
(khoahocdoisong.vn) - Lóc tách động mạch chủ (LTĐMC) trước hay gặp ở độ tuổi từ 60 – 70 nhưng hiện tại nhiều thanh niên khỏe mạnh tự nhiên đau ngực và ngất xỉu vì bệnh. Đây là một một thảm họa thực sự của bệnh tim mạch.
(khoahocdoisong.vn) - 70 – 80% lóc tách động mạch chủ (ĐMC) tử vong trong 2 tuần đầu. Có nhiều nguy cơ gây bệnh nhưng tăng huyết áp và tuổi là yếu tố thường gặp nhất.
(khoahocdoisong.vn) - Bệnh được coi là “thảm họa” trong các bệnh lý tim mạch, diễn biến rất nhanh, xử trí kịp thời tỷ lệ tử vong vẫn cao. Vậy phải phòng tránh bệnh này như thế nào?
(khoahocdoisong.vn) - Lần đầu tiên Bệnh viện Đa khoa Phú Thọ đã ứng dụng kỹ thuật can thiệp tim mạch đặt 2 stent grap cứu bệnh nhân bị lóc tách động mạch chủ (ĐMC) typ B. Đây là một thảm họa thực sự của bệnh tim mạch nếu không cấp cứu kịp thời bệnh nhân có thể bị suy đa tạng, hoại tử ruột, hoại tử chi, thậm chí đột tử nếu phần lóc tách bị vỡ.