Uống phóng xạ I 131 phải kiêng thực phẩm giàu iốt

Uống phóng xạ I 131 phải kiêng thực phẩm giàu iốt

(khoahocdoisong.vn) - Chế độ ăn nghèo iốt trong quá trình điều trị được khuyến cáo (< 50 microgram iốt/ngày). Một số thực phẩm giàu iốt được khuyến cáo nên tránh ăn trong thời gian này như các loại muối biển chứa iốt, một số hải sản như tôm, cua, sò, hến… các loại tảo biển đều chứa rất nhiều iốt, thịt nguội, giăm bông, trứng, bánh mỳ, pizza, chocolate, các sản phẩm từ đậu nành, ớt đỏ.
Suy giáp do đắp thuốc

Suy giáp do đắp thuốc

(khoahocdoisong.vn) - Khi có u giáp, u vú và các loại u khác, một số người bệnh nghe người này, người kia truyền miệng, rỉ tai nhau đi đắp lá, đi tiêm vào u cho hết u mà không cần biết đó là u lành hay ác tính.
Điều trị từng thể ung thư tuyến giáp

Điều trị từng thể ung thư tuyến giáp

(khoahocdoisong.vn) - Ung thư tuyến giáp có nhiều loại. Việc điều trị phẫu thuật, iốt phóng xạ phụ thuộc vào từng giai đoạn bệnh của mỗi thể khác nhau. Hội Phẫu thuật Nội tiết Nhật Bản vừa đưa ra hướng dẫn cụ thể để bệnh nhân ung thư tuyến giáp tiện theo dõi và biết phương hướng điều trị.
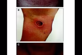
Sẹo chằng chịt vì chữa bướu cổ bằng đắp lá

Sẹo chằng chịt vì chữa bướu cổ bằng đắp lá

(khoahocdoisong.vn) - Bướu cổ có thể do cơ thể thiếu iod, do rối loạn hoạt động tuyến giáp bẩm sinh có tính chất gia đình. Để điều trị bệnh, có thể điều trị nội khoa bằng cách sử dụng thuốc nhằm đưa lượng hormon tuyến giáp về mức độ bình thường hoặc điều trị các nhiễm trùng tại tuyến giáp.
 Lưu ý khi siêu âm tuyến giáp

Lưu ý khi siêu âm tuyến giáp

(khoahocdoisong.vn) - siêu âm tuyến giáp là một phương pháp chẩn đoán hình ảnh bằng cách sử dụng sóng âm, các bác sĩ sẽ phát hiện ra những bất thường ở tuyến giáp. Nếu bác sĩ không có kinh nghiệm, siêu âm nhanh khi bệnh nhân đông, bác sĩ siêu âm không chuyên về tuyến giáp có thể có kết luận không chính xác.
Dinh dưỡng cho bệnh nhân K giáp

Dinh dưỡng cho bệnh nhân K giáp

(khoahocdoisong.vn) - Ung thư tuyến giáp hay K giáp liên quan chặt chẽ đến phóng xạ tác động tuyến giáp hoặc do di truyền, do gen. Những bệnh nhân mới phẫu thuật ung thư tuyến giáp càng cần có chế độ dinh dưỡng phù hợp.
Các giai đoạn ung thư tuyến giáp

Các giai đoạn ung thư tuyến giáp

(khoahocdoisong.vn) - Sau khi người bệnh được chẩn đoán ung thư tuyến giáp, bác sĩ sẽ xác định giai đoạn của bệnh. Giai đoạn của ung thư tuyến giáp mô tả có bao nhiêu khối u trong cơ thể. Nó cũng cho biết mức độ nghiêm trọng của khối ung thư và giúp lựa chọn phương pháp điều trị thích hợp.
Lưu ý trong điều trị K giáp

Lưu ý trong điều trị K giáp

(khoahocdoisong.vn) - Ung thư tuyến giáp có 4 dạng: ung thư nhú, ung thư nang, thể tủy và ung thư không biệt hóa. Trong 3 dạng này thì ung thư không biệt hóa là loại nguy hiểm nhất và khó điều trị nhất. Ung thư nhú chiếm tỉ lệ cao nhất và tiên lượng tốt nhất.
Suy tuyến cận giáp

Suy tuyến cận giáp

(khoahocdoisong.vn) - Bệnh nhân sau phẫu thuật tuyến giáp 3-6 tháng mà không hết tê tay và phải uống canxi liều cao hoặc phải tiêm canxi thì gọi là tổn thương tuyến cận giáp vĩnh viễn.
Điều trị sau mổ ung thư tuyến giáp

Điều trị sau mổ ung thư tuyến giáp

(khoahocdoisong.vn) - Ung thư tuyến giáp là ung thư nội tiết thường gặp nhất, chiếm 1% trong các loại ung thư, nếu được phát hiện sớm có thể điều trị khỏi hoàn toàn.
K giáp không nên bổ sung vitamin B12

K giáp không nên bổ sung vitamin B12

(khoahocdoisong.vn) - Bị K giáp uống tất cả các vitamin đều được và không cần phải mua thuốc ngoại nhập, thuốc nội cũng tốt tuy nhiên không nên uống quá nhiều, quá lâu dẫn đến thừa, phản tác dụng, chưa kể uống phải hàng giả, hàng nhái. Khi uống vitamin, hạn chế uống B12.
Không có chỉ định uống xạ

Không có chỉ định uống xạ

(khoahocdoisong.vn) - bệnh nhân chỉ uống xạ khi đã cắt toàn bộ tuyến giáp. Những trường hợp phần tuyến giáp còn lại nên theo dõi
Chán chường không muốn điều trị bệnh

Chán chường không muốn điều trị bệnh

(khoahocdoisong.vn) - Phân loại Tirads ở siêu âm tuyến giáp chỉ để tham khảo và có giá trị khi có đầy đủ các hình ảnh mô tả tính chất của ung thư trên siêu âm. Phân loại này sẽ không có giá trị cao khi không có đủ các hình ảnh điển hình.