Nút mạch trị ho ra máu do giãn động mạch phế quản

Nút mạch trị ho ra máu do giãn động mạch phế quản

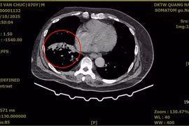
(khoahocdoisong.vn) - Ho ra máu do giãn động mạch phế quản là biến chứng nặng, tỉ lệ tái phát cao và dễ tử vong do suy hô hấp hoặc mất máu. Nút mạch là một kỹ thuật cao, ít xâm lấn lần đầu tiên được Bệnh viện Việt Nam -Thụy Điển Uông Bí triển khai thành công.
Cúc vạn thọ chữa hen phế quản

Cúc vạn thọ chữa hen phế quản

(khoahocdoisong.vn) - Đông y cho rằng cúc vạn thọ vị đắng, mùi thơm, tính mát, tác dụng tiêu viêm, làm long đờm, trị ho. Các tinh dầu quý trong cúc vạn thọ có tác dụng kháng khuẩn, chống viên, long đờm, giãn phế quản...rất thích hợp để hỗ trợ điều trị hen phế quản.
Day bấm huyệt hỗ trợ trị hen phế quản

Day bấm huyệt hỗ trợ trị hen phế quản

Hen phế quản thuộc phạm vi “háo chứng”, “suyễn chứng” trong y học cổ truyền. Nhiều báo cáo khoa học của các nhà khoa học trong và ngoài nước đã chứng minh rằng: kỹ thuật day bấm một số huyệt vị theo một phác đồ điều trị có tác dụng làm giãn phế quản, cải thiện chức năng hô hấp, nâng cao sức đề kháng của cơ thể, góp phần phòng ngừa bệnh hen phế quản.