Điều gì xảy ra nếu bạn không đánh răng hàng ngày?

Điều gì xảy ra nếu bạn không đánh răng hàng ngày?

(Kiến Thức) - Các chuyên gia chăm sóc sức khỏe răng miệng cho rằng, chúng ta nên đánh răng hàng ngày 2 lần: vào buổi sáng và tối, sẽ giúp vệ sinh răng miệng và ngăn ngừa bệnh tật.

Tiết kiệm tiền bạc: Nếu bạn không đánh răng hàng ngày, răng bạn sẽ bị sâu và mắc các bệnh về răng. Thậm chí, bạn sẽ phải tốn kém tiền bạc để điều trị hoặc nhổ răng sâu, hoặc phải trồng cả răng giả.
Tiết kiệm tiền bạc: Nếu bạn không đánh răng hàng ngày, răng bạn sẽ bị sâu và mắc các bệnh về răng. Thậm chí, bạn sẽ phải tốn kém tiền bạc để điều trị hoặc nhổ răng sâu, hoặc phải trồng cả răng giả.
Nếu muốn hơi thở thơm tho suốt cả ngày, bạn đừng quên chải răng 2 lần/ngày để ngăn ngừa vi khuẩn gây hôi miệng.
Nếu muốn hơi thở thơm tho suốt cả ngày, bạn đừng quên chải răng 2 lần/ngày để ngăn ngừa vi khuẩn gây hôi miệng.
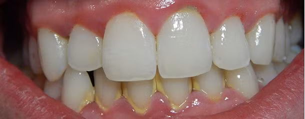
Ngăn chặn sự tích tụ cao răng: Bạn nên đánh răng ngày 2 lần để kiểm soát cao răng hoặc sử dụng nước súc miệng để loại đi các mảng bám tạo nên cao răng.
Ngăn chặn sự tích tụ cao răng: Bạn nên đánh răng ngày 2 lần để kiểm soát cao răng hoặc sử dụng nước súc miệng để loại đi các mảng bám tạo nên cao răng.
Bảo vệ nướu: Đánh răng hàng ngày không chỉ loại bỏ vi khuẩn từ răng mà còn giúp bảo vệ nướu răng - một phần quan trọng của sức khỏe răng miệng.
Bảo vệ nướu: Đánh răng hàng ngày không chỉ loại bỏ vi khuẩn từ răng mà còn giúp bảo vệ nướu răng - một phần quan trọng của sức khỏe răng miệng.
Chống vi khuẩn: Đánh răng 2 lần/ngày để loại bỏ vi khuẩn có hại bên trong miệng của bạn. Các vi khuẩn này, nếu không được kiểm soát trong một thời gian (24 giờ) thì chúng sẽ có nhiều cơ hội gây hại men răng của bạn.
Chống vi khuẩn: Đánh răng 2 lần/ngày để loại bỏ vi khuẩn có hại bên trong miệng của bạn. Các vi khuẩn này, nếu không được kiểm soát trong một thời gian (24 giờ) thì chúng sẽ có nhiều cơ hội gây hại men răng của bạn.
Ngăn ngừa sâu răng: Đánh răng vào buổi tối không chỉ ngăn ngừa sự tích tụ của vi khuẩn, mà còn làm giảm nguy cơ sâu răng do sự hình thành các mảng bám.
Ngăn ngừa sâu răng: Đánh răng vào buổi tối không chỉ ngăn ngừa sự tích tụ của vi khuẩn, mà còn làm giảm nguy cơ sâu răng do sự hình thành các mảng bám.
Giúp giảm cân: Đánh răng trước khi đi ngủ vừa mang lại cảm giác tươi mát vừa ngăn ngừa việc ăn đêm. Khi cắt giảm lượng calo tiêu thụ vào cuối ngày, bạn dễ dàng đạt mục tiêu giảm cân hơn.
Giúp giảm cân: Đánh răng trước khi đi ngủ vừa mang lại cảm giác tươi mát vừa ngăn ngừa việc ăn đêm. Khi cắt giảm lượng calo tiêu thụ vào cuối ngày, bạn dễ dàng đạt mục tiêu giảm cân hơn.
Bảo vệ tim: Các vi khuẩn chịu trách nhiệm cho sự hình thành cao răng và mảng bám có thể xâm nhập vào máu, tác động đến các động mạch, gây ra cục máu đông. Điều này có thể tăng nguy cơ mắc vấn đề về tim mạch.
Bảo vệ tim: Các vi khuẩn chịu trách nhiệm cho sự hình thành cao răng và mảng bám có thể xâm nhập vào máu, tác động đến các động mạch, gây ra cục máu đông. Điều này có thể tăng nguy cơ mắc vấn đề về tim mạch.
Ngăn ngừa bệnh tiểu đường: Các vi khuẩn trên cũng làm giảm hiệu quả của insulin trong máu. Cuối cùng, điều này sẽ làm tăng nguy cơ mắc bệnh tiểu đường loại 2.
Ngăn ngừa bệnh tiểu đường: Các vi khuẩn trên cũng làm giảm hiệu quả của insulin trong máu. Cuối cùng, điều này sẽ làm tăng nguy cơ mắc bệnh tiểu đường loại 2.
Ngừa sinh non: Sức khỏe răng miệng kém cũng gây ra các bến chứng như sinh con nhẹ cân, sinh non...
Ngừa sinh non: Sức khỏe răng miệng kém cũng gây ra các bến chứng như sinh con nhẹ cân, sinh non...
Video "Đây là cách dạy trẻ đánh răng đúng cách mà ít người biết". Nguồn: Youtube

GALLERY MỚI NHẤT

Loa thông minh biến thành gián điệp

Loa thông minh biến thành gián điệp

Loa thông minh có thể bị hacker chiếm quyền, âm thầm nghe lén và thu thập dữ liệu cá nhân, biến thiết bị quen thuộc thành mối nguy an ninh trong gia đình.